unsere Gruppe
nächstes Treffen
am
Mittwoch,
den 01. Juli 2009
Thema:
Fast gegen alles ist ein Kraut
gewachsen - Heil- und Gewürzkräuter
Referentin:
Renate
Halwart Altenkunstadt
Beginn:
19:30 Tages-Café des
BRK-Seniorenheimes
siehe Anfahrtskizze!
Jahresprogramm 2004
Jahresprogramm
2005
Jahresprogramm
2006
Jahresprogramm
2007
Gründung
der SHG 1998 durch Frau Gertrud Rothacker Membacher
Weg 38
91056 Erlangen und Dr. Bartram,
Umweltmediziner Sozialamt der Stadt
Coburg Kontaktstelle
für Selbsthilfegruppen Coburger
SHG-Liste (pdf) Förderung
aus Mitteln der Gesundheitskasse/n
|
| Kontaktaufnahme:
Treffen
wann und wo
Wann?
jeden
1. Mittwoch im Monat ausgenommen Ferienzeit
Wo?
BRK
Mehrgenerationenhaus
Friesener
Straße
96347
Kronach Parkplatz
vor dem Haus
Anfahrtskizze
Adresse 1:
Brigitte Hauck
Jakobsberg 2
96332 Rothenkirchen
Mail:
[email protected] Tel: 09265-276
Fax:
09265-914921 Adresse 2:
Martina
Renner Markgrafenstraße 16
96364
Marktrodach Tel: 0 92
61 - 96 69 95
Impressum und
Haftungsausschluss |
Fallbeispiele:
Biokompatibilität
zahnärztlicher
Humor Probleme
mit Implantaten mit uns durch
regen Kontakt verbundene Personen und Gruppen:
SHG
Zahnmaterialgeschädigter Erlangen-Nürnberg = Gruppe
Rothacker - Adresse s. o.
Berliner
Selbsthilfegruppe Amalgamgeschädigter (alt)
heute: SEKIS
(= Selbsthilfe Kontakt- und Informations- Stelle)
und Gesundheitsparlament
Patientenbeauftragte
der Bundesregierung Patientenschutzbund
Unabhängige
Patientenberatung
Bundesverband
der Beratungs- stellen für Umweltgifte Dt. Gesellschaft für Zahn-, Mund- und Kieferheilkunde
AG
Zahngesundheit, Verbraucher- und Patientenberatung
Ganzheitliche
Zahnmedizin
______________________
weitere
Selbsthilfegruppen: Zahn 46 (Euskirchen)
Amalgam
(Oberursel) Pfau (Karlsruhe)
Kopfschmerz
MCS/CFS (Bayreuth)
Abekra (Arbeitsmedizin)
Neu:
Gesundheitsinitiativen:
Demokratie in
Aktion campact Bund
Naturschutz BUND Greenpeace Lebensmitteltest - foodwatch Patienten-Universität
|
Adressen:
(aus
SHG-Erfahrungen mit Amalgam-versierten Medizinern,
Liste
erhebt keinen Anspruch auf Vollständigkeit)
regionale
Auswahl:
Allergie-Klinik
Neukirchen
Naturklinik
Michelrieth
Toxcenter München
überregionale
Auswahl: laufend in Arbeit
am Klinghardt-Institut
Stuttgart
ausgebildete
Therapeuten nach PLZ: INK-Therapeuten z. B. PLZ 9....
Drs.
Gisela und Michael Fritsche, Steininger- gasse 2, 94032
Passau, Tel. 0851-7565112
Dr. Kuklinski, Rostock
Dr. med. dent. Wolfgang
Wildner, Zahnarzt und
Heilpraktiker, Nürnberg Dr. med. Herbert Noppeney, Internist,
Umwelt- und Ernährungsmedizin, Hausarzt, Bayreuth
| Referate:
Schwermetalle und
ihre Wirkung auf unsere Gesundheit
(Dr. Klinghardt, Dr.Kane vor Fachpublikum an der ETH Zürich) - der Klassiker aus dem Jahre 1998 mit zahlreichen Anleitungen zur Entgiftung
und Sanierung empfehlenswerte Lektüre
Neu: Skriptendienst Wir sind beim Aufbau eines Dienstes
zum Herunterladen ausgewählter Skripten.
Öffnen
Sie den neuen Dienst hier oder
klicken Sie die Überschrift doch einfach an! Vielleicht ist schon etwas Interessantes für Sie dabei.
|
Literaturauswahl zum
Dentalamalgam:
Buch
von Walter Abriel (im
Buchhandel leider restlos vergriffen - nur noch über
Bibliotheken ausleihbar)
Artikel der
Münchner Ärztin Dr. Hildegard Schreiber
1
2
Bücher
des Münchner Toxikologen Dr. Max Daunderer Atlas
der Giftherde Amalgam-Handbuch
zum Herunterladen (160 MB!)
Publikationen des
Freiburger Forschers und
Arztes Dr. Mutter
(Auswahl)

Vorträge
zum Mobilfunk (Dr. J.
Mutter)
(Zahnherde, Entzündungen)
Autoren: Glaser, Türk
| | Links:
Medizinische
Datenbanken:
Datenbank Fachliteratur
Datenbank-Infosystem
(DBIS) Deutsche Zentralbibliothek für
Medizin
Zentralbibliothek
des Deutschen Krebsforschungszentrums Heidelberg
Datenbank
DIMDI
Linkliste
med. Datenbanken 1 Linkliste
med. Datenbanken 2 Datenbank AWMF
Suche in WHO-Publikationen
MEZIS Mein
Essen zahle ich selbst - Initiative unbestechlicher Ärztinnen
und Ärzte 1
2
3
4
5
USA:
Anti-Quecksilber-Bewegung
gegen
Quecksilber in Impfstoffen against mercury in vaccines
(Quecksilber
wird heute noch als Haltbarkeitsmittel verwendet.
- siehe
Thiomersal
bei uns, -
in USA Thimerosal)
pdf engl. 1
1
2
3
4
5
gegen Quecksilber allgemein
against mercury as such
1
2
3
4
5
Autismus-Initiativen:
autism pages
1
2
3
4
5
6
 |
Die Zeitbombe
'Quecksilber' hat eine
internationale Dimension. Deshalb ist auch internationale Kooperation
dagegen notwendig.
Neu: Quecksilbergehalt
in den Weltmeeren steigt weiter an.
Aber lesen Sie
bitte selbst .... |

Medienarbeit
Eilmeldung:
Pressekampagne
in den USA gegen
Dentalamalgam
American Chronicle
Mercury
migrates from Dental Amalgams into the Human Body =
Quecksilber aus Dentalamalgamen gelangt in den menschlichen
Körper Baltimore Sun
Fighting with tooth and
nail - Moms
against Mercury = Mütter gegen Quecksilber, eine
Bewegung in den USA mit dem Ziel einer Sammelklage
The Washington Post
It Might Be Time to Shut
Your Mouth to Mercury = Es könnte an der Zeit sein, Ihren
Mund für Quecksilber zu verschließen
daily press
Are your silver fillings
dangerous? = Sind Ihre Silberfüllungen gefährlich?
Mitteilung der FDA
(US-Gesundheitsbehörde) Dental amalgams contain
mercury, which may have neurotoxic effects on the nervous systems of
developing children and fetuses. When amalgam fillings are placed in
teeth or removed from teeth, they release mercury vapor. Mercury vapor
is also released during chewing. FDAs rulemaking (described in
question 7) will examine evidence concerning whether release of mercury
vapor can cause health problems, including neurological disorders, in
children and fetuses. = Dentalamalgame enthalten Quecksilber,
das neurotoxische Effekte auf das Nervensystem bei heranwachsenden
Kindern und Föten haben kann. Wenn Amalgamfüllungen in Zähne
eingebracht oder von dort entfernt werden, geben sie Quecksilberdampf
ab. Quecksilberdampf wird auch frei beim Kauen. Die FDA wird in ihrem
Regelwerk (beschrieben in Frage 7) den Sachverhalt über- prüfen, ob das
Entweichen von Quecksilberdampf Gesundheits- probleme verursachen kann
einschließlich neurologischer Beschwerden bei Kindern und Föten.
Pressekampagne
auch in Großbritannien: Daily Mail
Mercury fillings are
dangerous say regulators - but British health bosses still
refuse to take action = Quecksilberfüllungen sind gefährlich,
sagen die Regulierer - aber die britischen Gesundheitsbosse
weigern sich noch etwas zu unternehmen
Telegraph
Children 'at risk' from
mercury in dental fillings = Kinder 'mit Risiko' aus dem
Quecksilber in Dentalfüllungen Aktuelles:
Die
Münchner Amalgamstudie GAT (Pressemeldung)
Wissenschaftliche Vorgehensweise
des GAT (Fachliteratur) Unsere
Stellungnahme zur Presse-Meldung Stellungnahme zum GAT
von Dr. Mutter aus Freiburg (pdf) Reaktion
der Medien: Die Lokalpresse
veröffentlichte unsere Stellungnahme leider nicht. Die
Berliner TAZ war da kritischer.
Weitere Pressereaktionen zur
Quecksilber-Problematik:
Herbst
2007: Erneuter
Anlauf zum Verbot von Quecksilberamalgamen in Europa, ausgehend vom Luxemburger
Appell.
Die deutsche
Bundeszahnärztekammer BZÄK,
| | die
Kassenzahnärztliche Bundesvereinigung KZBV, |
aber
auch die internationale Zahnärzteschaft blocken. (FDI,
ADA in den USA) |
Die zahlreichen Gegenaktionen
der Zahnärzteschaft zur Forderung nach einem Verbot der
Dentalamalgame sind unüberschaubar. Als Beispiel
sei die Einflussnahme des Weltzahnärzteverbandes FDI auf das
in
Schweden
1999 drohende Amalgamverbot genannt.
Quecksilber-Amalgam-Problematik
weltweit: An der
Unterschriftenaktion zum Luxemburger Appell kann sich hier
jeder beteiligen. - Unterschriften-Aktion
aktuell (pdf) Nutzen Sie diese einmalige
Chance, Quecksilber los zu werden! Sehr
wichtig! Norwegen
hat zum 01. Januar 2008 Quecksilber in allen Produkten incl.
Dental-Werkstoffen verboten.
Schwangeren wird vom Verzehr frisch gefangener Raubfische
(Lachs, Forelle, Hecht etc.) wegen der aktuell hohen Gehalte
an Quecksilber (gemeint ist das noch giftigere Methyl-Queck-
silber) abgeraten. hier die norwegische
Presseverlautbarung: englisch
deutsch
Reaktionen
auf das norwegische Quecksilberverbot: EU-Kommissionsbericht zum Quecksilber (engl.) Behandlung von Quecksilber-Abfällen
in der EU
(2006) (pdf) Behandlung von Quecksilber-Abfällen
in Deutschland
(übs.)
Kritisches
zum Nachdenken Forschungseinrichtungen
und renommierte Institute befinden sich in Sachen
Quecksilber-Amalgame national und international in
andauernder wissenschaftlicher Auseinandersetzung, so Freiburger
Forscher im Umfeld von Prof. Dr. Daschner und das Robert-Koch-Institut in
Berlin, das als Bundesinstitut im Geschäftsbereich des
Bundesministeriums für Gesundheit fungiert vergleichbar dem
Bundesinstitut für Arzneimittel und Medizinprodukte ( BfArM)
in Bonn. Eine Steilvorlage für
Amalgam-Befürworter lieferte das BfArM mit seiner Amalgam-Broschüre
(pdf) . Die WHO folgte unter dem Einfluss des
Welt-Zahnärzte- Verbandes FDI mit einer ähnlichen Informationsschrift
(engl.), allerdings deutlich vorsichtiger im Wortlaut, besonders mit
dem Schlusssatz. (Dentalamalgam und Quecksilberdampf werden in ihrer
toxischen Wirkung auf Zahnärzte und ihr Personal erst in neueren
WHO-Publikationen gewürdigt. 1
pdf, 2
beide engl.)
Dem Robert-Koch-Institut fiel
dann die unangenehme nationale Aufgabe einer Stellungnahme
zu. Eine Amalgam-Risiko-Studie
des RKI unter Beteiligung einiger namhafter
bundesdeutscher Einrichtungen sollte Klarheit schaffen. Veröffentlichung
und Presseverlautbarung wiesen
bereits in Richtung unüberbrückbarer Gegensätze unter den Beteiligten.
Es waren die Freiburger Forscher Prof. Dr.
Daschner und Dr. Mutter, die ihre Unterschrift unter das
Schlussprotokoll verweigerten und schließlich ein eigenes Sondervotum
herausgaben. Das RKI sah sich veranlasst, zu
diesem Freiburger Sondervotum eine Entgegnung
und obendrein einen Materialienband
zu erstellen und flugs die beiden Freiburger Forscher durch Amalgambefürworter zu ersetzen. Auch die Freiburger blieben nicht
untätig und veröffentlichten eine Schrift
über den Zusammenhang zwischen Amalgam und kindlichem Autismus.
Der in Stuttgart ansässige renommierte medizinische Fachverlag
Thieme
besorgte die Drucklegung der Freiburger klinischen
Forschungsergebnisse. Neue Bewegung
bringt die Europäische Kommission mit ihrem Scientific
Committee on Emerging and Newly Identified Health Risks ( SCENIHR)
in das Amalgam-Szenario. Zusammenfassung:
Der Amalgamstreit dauert
an. Mit dem EU-Import- und Exportverbot für Quecksilber ab 2011 sind
aber die Weichen in die richtige Richtung gestellt, die auch
den Dental-Amalgam-Zug auf das Abstellgleis und zur sicheren
Endlagerung des Quecksilbers bringen werden. Dann
dürfte die Quecksilber-Sondermüll-Entsorgung
auch über die bundesdeutschen Münder ein Ende
nehmen. Sollte der Münchner Toxikologe Dr. Daunderer Recht haben,
beziehen die Zahnärzte diesen Sondermüll zwar kostenlos, müssen ihn
aber mit hohem Kostenaufwand entsorgen. Aus dieser skandalösen
Gemengelage werden dann auch die Zahnärzte
befreit, denen das Quecksilber ohnehin genau so schadet wie den
Patienten, deren Karieslöcher sie mit Amalgam bisher zustopften.
Als nicht minder skandalös empfinden wir die vielerorts
gehörte und gelesene Meinung, Quecksilber-Amalgame seien das Mittel der
Wahl zur Versorgung von Zahnkavitäten sozial benachteiligter und
finanziell schwächerer Bevölkerungsschichten. Weil sie arm sind,
befindet die nur
diesen Zahnflickstoff
als voll erstattenswert.
Wohin mit einem zahnärztlichen
Leistungskatalog,der ein hochgiftiges Neurotoxin wie
Quecksilberzur Standardbehandlung
gesetzlicher
Krankenversicherungen deklariert?Ab
in den Mülleimer der Medizingeschichte!!!!
Hartz-IV-Empfänger
als Experimentierfeld für Quecksilbervergiftungen zu
verwenden, ist ein Sakrileg wider die Grundfesten
der Sozialgemeinschaft, die vorgibt, die
Schwächsten schützen zu wollen.
Die
Auswirkungen des Quecksilbers
in Zähnen, Kieferknochen, anderen Körperdepots,
seine Akkumulation in der Nahrungskette, in der Umwelt,
in uns und
unseren schon im Mutterleib vorgeschädigten Kindern drängen zur Eile.
Angesichts
der eigentlich klaren,
aber mit
Verschleierungstaktik verzerrten
Forschungslage,
der von Betroffenen ständig vorgetragenen
Beschwerdebilder
und
des offenkundigen Interessenkartells
aus
Politik, Teilen der universitären
Schulmedizin
und
einigen Chemie- und Pharmakonzernen
fordern wir ein sofortiges
und endgültiges Verbot des
hoch toxischen
Quecksilbers
nicht nur
in Dentalamalgamen, sondern in Produkten aller Art.
| Toxikologie:
Allergien
1
2
3
4
Aufmerksamkeitsdefizit
1
2
(Link
1 enthält u. a. ein Interview mit
Dr. Mutter)
Borreliose
1
2
3
4
5 (Impfstoff)
Demenz
1
2
3
4
5
6
7
Dental-Amalgam 1
2
3
4
5
(engl.)
Dental-Gold
(pdf) Dental-Keramik
Einlagerung im Körper
1
2
3
Fluoridierung 1
2
3
4
5
6
7
Gesundheitsstörungen
1
2
3 5
=Amalgam-Folgen
Giftstoffe/Entgiftung
1
2
3
4 5
Herdgeschehen
1 2
Impfstoffe
1
(US) 2
3
4
5
6
7
Implantate
1
2
3
4
Karies -
Prophylaxe 1
2
3
4
5
6
7
MCS
Methylierung
1 (pdf)
2
Mobilfunk
1
(dt.) 2 3
4
5
(2 - 5 engl.)
Mundbatterie
1
2
3
4
Nachweis von Schwermetallen
1
2 3
Ritalinproblematik
1
2
3
4
5
6
Schwermetalle
1
2
3
Trinkverhalten
allgemein
1
2
3
4
5
6
Trinkverhalten
(Studien/Umfragen)1
2
3
4
5
6
7
8
9
Tumore
1
2
3
4
Umweltmedizin
d.:
1
2
e.:
3
4
5
6
7
8
9
10
11
Umwelt-Quecksilber
1
2
3 4
5
6
7
Wasserqualität
1
2
3
4
5
6
7
8
Zahnkleber
Zahnwissen
(Lexika) 1
2 Zuckerindustrie 1
2
3
4
5
6
|
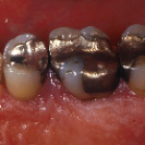
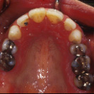
| Bildinformationen:
Amalgam-Zähne
Bild 1
Bild 2
Rauchende Zähne (engl.Kurzfilm)
dt. Aufarbeitung als Powerpoint- Präsentation
mit Kurzfilmen und Bildern 1
2
3
4
5
6
7
8
9
10
11
12
13
14
15
16
17
(alles in einen Ordner laden!)
Neuritenzerstörung
(engl.
Kurzfilm) Film
mit dt. Begleitstimme
OPT-Interpretation
(Kieferpanorama-
Aufnahmen
nach Daunderer
)
Zahn-Organ-Schema
veranschaulicht die Wechselbeziehung
zwischen Zahn- und Organgesundheit
|
Wissenschaft
im Kreuzfeuer
Kieler Amalgamgutachten
Amalgamstreit
(EU)
Arzthaftungsrecht
1
2
3
4
Fachanwälte
1
2
3
4
Gutachter
Amalgam-Informationen
der
Berliner SHG: Amalgamfakten
Argumentationshilfen
Amalgam-Politik
(letzter
Link: bedeutsame Texte national
- Bundestag etc. international
- WHO etc.)
Amalgamprozess
Frankfurt
1996 1
|
Leiden des Prof. Dr.
Stock
- Wer war
Prof. Dr. Stock?
- Woran litt er?
1
2
3
4
(alle Links sind
pdf-Dateien)
|
US-Studie zur
Ausleitung
mit dem Schleimlöser
NAC (dt.)
Original-US-Studie zur
Ausleitung mit NAC
(engl.)
Empfehlenswerte
Sanierungs-
und Ausleitungs-Maßnahmen
aus
Sicht der Selbsthilfegruppen
|
Reaktionen:
Amalgam-Befürworter:
Professor Dr. med. Dr.
med. dent. H.
J. Staehle
(ärztlicher Direktor der Mund-, Zahn-
und Kiefer- klinik des
Universitäts-Klinikums Heidelberg - Sein
Grundsatz- Artikel vom 08. Dez. 2000 über
Unverträglichkeit
gegen- über
Dentalmaterialien
Umfeld der Erlanger Amalgam-
studie - Beteiligt war damals
auch Prof. Hickel, der nun
mit der Münchner GAT-Studie wieder ins Rampenlicht
rückt. 1
(pdf) 2
(pdf) 3
4
5
6
7
8
Quackwatch
(engl.) gegen Scharlatanerie und Quacksalberei
(übersetzt von
Neurologen aus dem Saarland) -
Quackwatch (dt.)
In deren
Augen ist beinahe die gesamte Komplementärmedizin, Homöopathie
etc. Scharlatanerie.
| | Amalgam-Gegner:
- alle Selbsthilfegruppen,
die Schwermetallvergiftete
betreuen - und das sind
beileibe nicht nur die
Zahnmaterialgeschädigten,
sondern auch die SHG, die
sich mit folgenden Themen
befassen:
MCS/CFS
MS
Mobilfunk
Rheuma
Krebs
Arteriosklerose
Schlaganfall
Demenz
ADS, ADHS, ADHD,
ADD, POS,
MCD
Autismus
Allergien
Borreliose
Impfschäden
Diese
Liste ließe sich fortsetzen.
Besondere Würdigung
sollen an dieser Stelle
Forscher, Ärzte und
Gutachter erfahren,
die sich objektiv mit dem Gefahren-
potential
von Schwermetallen auseinandersetzen und für ihren Mut
Verleumdungen und berufliche Einbußen hinnehmen mussten und noch immer erdulden müssen. |
Zusammenfassung
aller wesentlichen Fakten gegen Dentalamalgame in Matthias
Weissers Newsletter
Anzeige
von Dr. Daunderer gegen die Verwendung von
Dentalamalgamen wegen
Völkermordes an den Internationalen Strafgerichtshof in Den Haag
(siehe auch die Anlagen zu dieser Anzeige!)
|
Folgende
US-Links führen weiter:
toxische Zähne (toxic teeth)
quecksilbervergiftet
(mercurypoisoned)
DAMS (= Dental Amalgam Mercury Syndrome)
alternative US-Zahnärzte
US-Zahnarzt-Rufer in der US-Wüste |