Casos Interesantes...

Hernia Diafragmática Izquierda

Atascada Pos-traumática


Hospital
Dr. "Domingo Luciani "

Se presenta un caso de hernia diafragmática pos traumática del lado Izquierdo, atascada, con 12 años de evolución, conteniendo estomago, epiplón parcial, y asas intestinales delgadas, con clínica de obstrucción intestinal desde cuatro días antes de su ingreso al hospital. Los estudios radiológicos y tomográficos, hallazgos a la intervención quirúrgica, técnica reconstructiva, comentarios sobre el tema .
29 de Marzo del 2001.

Dr. Rubén Henríquez A. - Dr. Antonio Gutierrez - Dr. Carlos Vivas - Dr. Fernando Rodríguez M - Dr. Luis Vivas.

Paciente | Radiología Tórax | Tomografía Tórax | Intervención | Discusión
 

El Paciente

  • Paciente femenina, venezolana, 50 años de edad, procedente de la ciudad de Maracay,  antecedentes de trauma toraco-abdominal del lado izquierdo al caer de sus pies sobre el borde de una bañera, hace doce años que ameritó cirugía de emergencia con nefrectomía izquierda, esplenectomía y colostomia temporal, desde entonces sufre de trastornos digestivos de dispepsia, llenura post-prandial y dolor en el epigastrio, hasta cierto grado de dificultad respiratoria, incrementando sus síntomas en intensidad en el tiempo.
  • Hace cuatro días, presenta trastornos clínicos de distensión abdominal, vómitos de contenido digestivo, luego intestinal, deshidratación, oliguria y dificultad respiratoria progresiva, cianosis y signos de shock hipovolémico y cardiogénico, consulta a centro hospitalario donde efectúan estudios y decide trasladarse a este centro para estudio y tratamiento.
  • Al observarse los estudios radiológicos de Rx. PA y L Izq. del tórax, y por las condiciones de la paciente, se decide su hospitalización estabilización de su cuadro clínico hipovolemico, descompresión gástrica e intestinal y realizar la intervención de toracotomía de urgencia por el diagnóstico de Hernia Diafragmática Izquierda atascada.
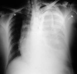
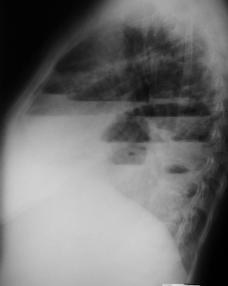
  • Radiología del Tórax

    Rx. tórax. PA y Lateral Izquierda

    Rx. Tórax al momento de su Ingreso. radiopacidad difusa del hemitorax izquierdo conteniendo asas delgadas dilatadas con edema de la pared intestinal, desviación mediastinica contra lateral, disminuyendo por compresión del volumen torácico derecho, en la Rx lateral imágenes de niveles hidro-aereos múltiples , con discontinuidad diafragmática izquierda.

    Tomografía Computarizada Tórax

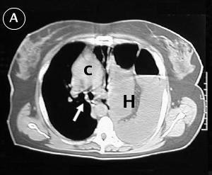
    Corte Tomográfico A
    Flecha: carina, observe el desplazamiento del mediastino hacia la derecha.
    c: corazón desplazado a la derecha.
    H: El hemitorax izquierdo ocupado por las asas intestinales, ausencia de parenquima pulmonar
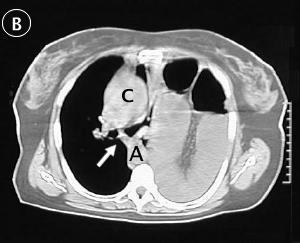
    Corte Tomográfico B
    Flecha: carina, observe el desplazamiento del mediastino hacia la derecha.
    c: corazón desplazado a la derecha.
    A: Aorta desplazada
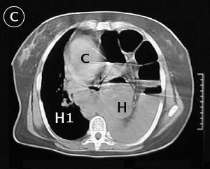
    Corte Tomográfico C
    c: corazón desplazado a la derecha.
    H: El hemitorax izquierdo ocupado por las asas intestinales, ausencia de parenquima pulmonar
    H1: Hemitorax derecho disminuido por el desplazamiento del mediastino.
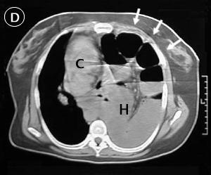
    Corte Tomográfico D
    Flechas: La brecha diafragmática.
    c: corazón desplazado a la derecha.
    H: El hemitorax izquierdo ocupado por las asas intestinales, ausencia de parenquima pulmonar

    Toracotomía Izquierda

    Fotografía A:
    El contenido herniado intra-torácico, toracotomía postero lateral Izquierda en 6To. espacio Intercostal
    Fotografía B:
    a - Intestino delgado dilatado y violáceo
    P (azul) - Pulmón, lóbulo superior ventilándose
    P (blanca) - Lóbulo pulmonar inferior atelectasiado.

    El contenido herniado liberado de las adherencias pulmonares y pleurales. Observe el aspecto de la pared de las asas intestinales, posteriormente mejoró su irrigación y el color de las mismas.
    Flechas - El anillo herniario o agujero diafragmático suturado, una vez incorporado al abdomen el contenido herniado y liberado de sus adherencias.
    P - Pulmón


     

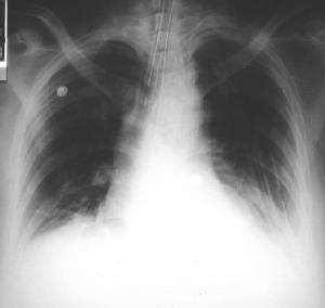
    Radiología del Tórax Pos - operatoria

    Radiología Pos - operatorio inmediato: 
    Traquea Intubada aún algo desplazada a la derecha.
    Pulmón Izquierdo expandido, aireado.
    Dos tubos torácicos a sello de agua fueron utilizados para expansión pulmonar y drenaje de la cavidad pleural.


     Comentarios:

  • La hernia diafragmática es una emergencia, una vez diagnosticada se debe establecer su solución quirúrgica de inmediato en las mejores condiciones posibles.
  • El riesgo de atascamiento, vólvulo o torsión del contenido es elevado, con el consecuente ileo, distensión abdominal y el compromiso respiratorio por el grado de volumen de las asas distendidas dentro de la cavidad pleural.
  • La colocación de una sonda naso-gástrica descompresiva, la restitución hidro-electrolítica, y el mejoramiento de sus condiciones de hipoxemia e insuficiencia respiratoria solo se logran, con la restitución de su contenido a la cavidad abdominal mediante una toracotomía.
  • La larga data de evolución de esta hernia desarrollo adherencias intensas del contenido a las estructuras pulmonares y diafragmática, y la complejidad de las adherencias en el anillo herniado y de las bridas adherenciales intra-abdominales, requirió de una laparotomía simultánea para garantizar la correcta liberación de las adherencias intra - abdominales y la restitución del tránsito intestinal.
  • La enterostomía y descompresión de las asas dilatadas comprometidas, las resecciones intestinales y anastomosis termino terminales cuando exista estrangulamiento del contenido, las ostomías y omentectomías y el drenaje cuando exista perforación son recursos quirúrgicos adicionales que están planteados en las hernias diafragmáticas atascadas.
  • El cirujano de emergencia, debe tener amplio conocimiento y dominio de las técnicas quirúrgicas de toracotomía y laparotomia y aplicarlas con juicio crítico, para lograr resolver los casos complejos toraco-abdominales.

  • Para ampliar sus conocimientos en hernia diafragmática puede dirigirse a :
    Hernia Diafragmática derecha, Heridas Diafragmáticas, Hernia Diafragmática Izquierda, Trabajos presentados en este WebSite.

    Paciente | Radiología Tórax | Tomografía Tórax | Intervención | Discusión

    Rubén Henríquez Homepage
    | Página Principal | Imágenes familiares | Actividades Médicas | Pósters | Casos Interesantes |
    | Imágenes Médicas | Trabajos de Investigación | Conexiones | Informaciones |

    1