Casos Interesantes...

Hernia Diafragmática Izquierda

Pos-traumática


Hospital
Dr. "Domingo Luciani "

Se presenta un caso de hernia diafragmática pos-traumática del lado Izquierdo, con 9 meses de evolución, conteniendo estomago y epiplón parcial, sintomática desde unos 3 meses antes de su ingreso al hospital. Los estudios radiológicos y de contraste digestivo, hallazgos a la intervención quirúrgica, técnica reconstructiva, comentarios sobre el tema .2 de Enero del 2001.

Dr. Ruben Henriquez A. - Dr.Juan Sastre - Dr. Fernando Rodriguez M.

Paciente | Radiología Tórax | Rx Tórax contraste | Tomografía Tórax | Intervención | Discusión
 

El Paciente

  • Paciente masculino, 25 años de edad, venezolano, presenta trastornos digestivos de dispepsia, llenura post-prandial, y dolor epigastrico, incrementandose sus sintomas en intensidad, consulta a centro hospitalario donde efectúan estudios endoscópicos digestivos y un hallazgo radiológico del tórax, interpretado como absceso pulmonar, fue hospitalizado y tratado como tal, no observando cambios en su evolución, deciden trasladarlo a este centro para estudio y tratamiento.

  •  
  • Antecedentes de haber presentado una herida por arma de fuego en el hemitórax izquierdo hace 9 meses, con hemoneumotorax tratado mediante drenaje con tubo de tórax.

  •  
  • Al observar los estudios radiológicos de Rx. PA y L Izq. del tórax, se decide su hospitalización y realizar estudios pertinentes por la sospecha de una Hernia Diafragmatica Izquierda.
  • Radiología del Tórax

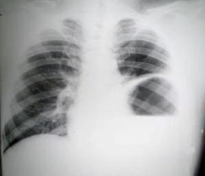
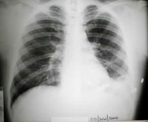
    Rx. tórax (hace 6 meses), posterior al egreso de su antecedente traumatico.

    Rx. Tórax al momento de su Ingreso. motivo de su referencia a nuestro hospital.

    Radiología del tórax:

    Sonda nasogastrica con contraste

         Evidencia el fundus gastrico en la base del hemi tórax izquierdo, (contraste digestivo y la sonda llena de contenido radiopaco), unión cardioesofagica in situ, anillo o brecha diafragmática, borramiento del seno costo diafragmático  y borramiento de la linea diafragmática Izquierda, se confirma la presencia de hernia diafragmática Izquierda.

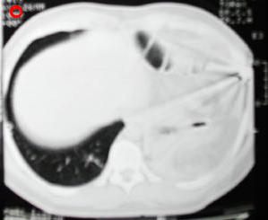
    Tomografía Computarizada Tórax

         Tomografía de ½ inferior del tórax y abdomen superior con contraste oral, se aprecia desplazamiento del fundus gastrico hacia la base pulmonar izquierda, la grasa epiploica, la brecha diafragmatica, tambien el proyectil y esquirlas metalicas.

    Toracotomía Izquierda

    El contenido herniario intratoracico, toracotomía postero lateral Izquierda en 6To. espacio Intercostal:
  • a - Epiplón mayor.
  • b - Estómago.
  • p - Pulmón.

  • El contenido herniario liberado de las adherencias pulmonares y pleurales. El anillo herniario o agujero diafragmático, una vez incorporado al abdomen el contenido herniario y liberado de sus adherencias.

    La frenorrafia se realizó con sutura de lenta reabsorción, calibre 1, de manera contínua, previa regularización de los bordes del anillo herniario y de la liberación de las adherencias, observe la liberación del diafragma, facilitando su movilidad, de importancia para la recuperación de la capacidad vital.

     Comentarios:

  • El absceso pulmonar es una complicación pulmonar de un proceso inflamatorio, generalmente infeccioso, neumónico, o por necrosis tumoral en las neoplasias pulmonares, la clínica difiere de la clínica presentada por el paciente.
  • Los antecedentes del paciente, obligan a plantear la sospecha diagnóstica de hernia diafragmatica.
  • La observación intratorácica de una sonda nasogastrica, en la radiografía simple del tórax evidencia una hernia diafragmática izquierda de contenido gastrico.
  • La tomografía computarizada, es un estudio obligatorio en las patologías torácicas, que no están claramente diagnósticadas.

  • Para ampliar sus conocimientos en la hernia diafragmatica puede dirigirse a :
    Hernia Diafragmatica derecha, Heridas Diafragmaticas, ambos Trabajos presentados en este WebSite

    Paciente | Radiología Tórax | Rx Tórax contraste | Tomografía Tórax | Intervención | Discusión

    Rubén Henríquez Homepage
    | Página Principal | Imágenes familiares | Actividades Médicas | Pósters | Casos Interesantes |
    | Imágenes Médicas | Trabajos de Investigación | Conexiones | Informaciones |

    1