Casos Interesantes...

Hernia Diafragmática derecha

Pos-traumática


Hospital
Dr. "Domingo Luciani "

Se presenta un caso de hernia diafragmática pos-traumática del lado derecho, con 12 años de evolución, contenido de colon derecho y asas delgadas, sintomática desde unos 6 meses antes de su ingreso al hospital. Los estudios radiológicos y de contraste digestivo, hallazgos a la intervención quirúrgica, técnica reconstructiva, estudios de control pos-operatorio y comentarios sobre el tema son realizados.

Paciente | Radiología Tórax | Rx Tórax contraste | Tomografía Tórax | Ultrasonido | Intervención
 Anillo herniario | Técnica empleada | Expansión pulmonar | Pos operatorio | Radiología control | Discusión
 

El Paciente

  • Paciente masculino de 68 años de edad, venezolano, albañil, quien sufrió, hace doce años, caída desde un andamio de albañilería a cuatro pisos de altura, unos 12 metros, cayendo sobre sus pies, sufriendo pérdida del conocimiento, fractura maleolar tibial derecha y luxación de cadera, posteriormente, desde hace 2 anos inicia sintomatología respiratoria progresiva, caracterizada por ortopnea pospandrial que mejora con la bipedestación, sensación de opresión torácica, disnea a medianos esfuerzos hasta la incapacidad de realizar tareas habituales para su edad.

  •  
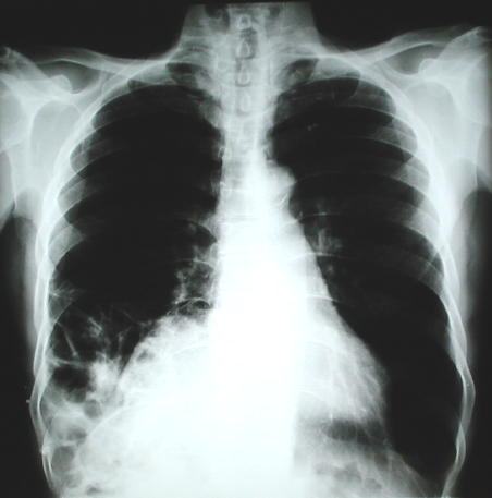
  • Una radiografía torácica anormal, en octubre del 1999, reportada inicialmente como reacción pleural de tipo residual, en evaluación traumatológica por disfunción de la articulación del tobillo izquierdo sugiere evaluación neumonológica, los nuevos estudios radiológicos del tórax demuestran patología caracterizada radiopacidad basal derecha con borramiento del hemi diafragma e imágenes de aspecto hidroaereo que plantea la posibilidad de una hernia diafragmática de contenido gastrointestinal de probable etiología pos traumática.

  •  
  • Puede observarse en los estudios, la hiperplasia funcional compensatoria del pulmón Izquierdo
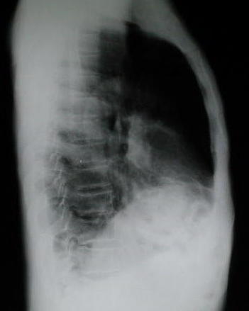
  • Radiología del Tórax

    Radiología Posteroanterior del tórax
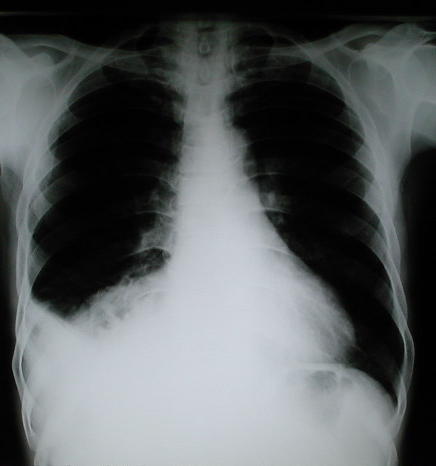
    Radilogia Tórax lateral Izquierda

    Rx Torax Posteroanterior reciente Estudio Radiológico del torax actual, pre operatorio

    Radiología del tórax:

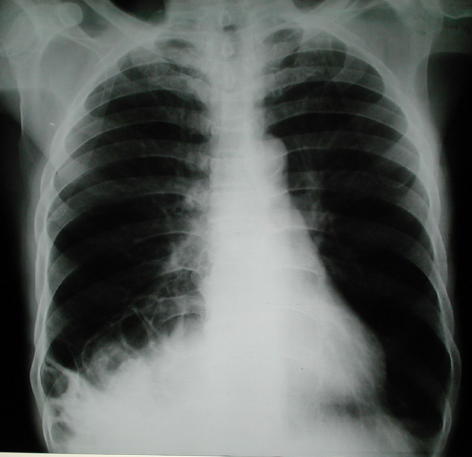
    Colon por enema y técnica de doble contraste

         Evidencia el contenido en el espacio del hemi tórax derecho y área mediastinal inferior, imagen densa, bien limitada, con austraciones, (contraste digestivo), en relación al colon ascendente, condicionando compresión extrínseca, anillo o brecha diafragmática, en seno costo diafragmático  y borramiento de la linea diafragmática derecha que confirma la presencia de hernia diafragmática derecha.
         También puede observarse la hiperplasia compensatoria del pulmón Izquierdo.
    Radiologia del tórax con contraste digestivo,

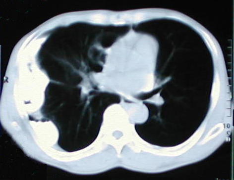
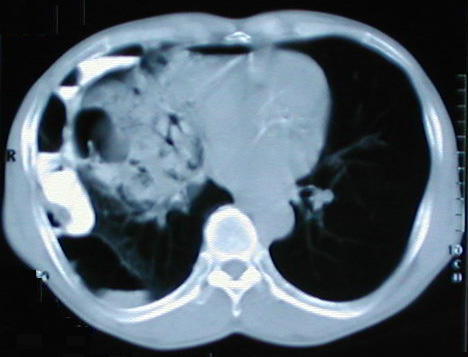
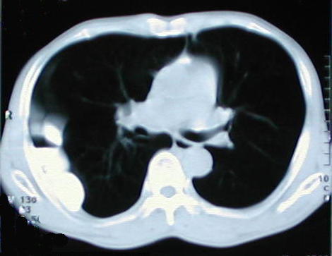
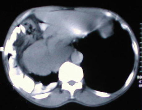
    Tomografía Computarizada

         Tomografía de ½ inferior del tórax y abdomen superior con contraste oral, se aprecia desplazamiento del colon hacia la base pulmonar derecha, el campo pulmonar en su periferia y en región subfrénica que comprime y deforma el contorno anterior hepático, también hay contenido de asas delgadas en el tórax.
    Corte tomografico del Torax a nivel de la carina bronquial
    Corte tomografico del Torax a nivel del tercio inferior del Tórax
    Corte tomografico del Torax a nivel inferior de la carina bronquial
    Corte tomografico del Torax a nivel de la base del torax

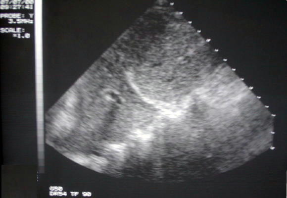
     Ecosonografía Toraco - abdominal

         La exploración ultrasonográfica de la base del hemitórax derecho y área abdominal superior, demuestra la presencia de zona eco lúcida refringente mixto en base pulmonar derecha, linea diafragmática interrumpida, superficie hepática de ecorefringencia normal.(Traductor....,3.5Mhrz).
    Ultrasonografia base hemitorax derecho, traductor...3.5mhz

    Paciente | Radiología Tórax | Rx Tórax contraste | Tomografía Tórax | Ultrasonido | Intervención
    Anillo herniario | Técnica empleada | Expansión pulmonar | Pos operatorio | Radiología control | Discusión

    Rubén Henríquez Homepage
    | Página Principal | Imágenes familiares | Actividades Médicas | Pósters | Casos Interesantes |
    | Imágenes Médicas | Trabajos de Investigación | Conexiones | Informaciones |

    1