Hernia Diafragmática derecha

Pos-traumática


Hospital
Dr. "Domingo Luciani "


Paciente | Radiología Tórax | Rx. Tórax contraste | Tomografía Tórax | Ultrasonido | Intervención
Anillo herniario | Técnica empleada | Expansión pulmonar | Pos operatorio | Radiología control | Discusión

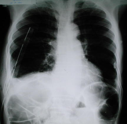
Radiología Pos operatoria

  • La radiografía de control pos operatoria inmediato (12 horas), demuestra un diafragma derecho conformado, altura adecuada en relación al diafragma izquierdo, pulmón derecho expandido, escaso líquido pleural residual, asas intestinales distendida por contenido aereo, aguja de cateter venoso subclavio.


  •  

    Discusión

             Las hernias diafragmáticas pos traumáticas, mejor llamadas evisceraciones diafragmáticas, son  el resultado de heridas del diafragma no diagnosticadas o bien lesiones no tratadas o desapercibidas a la laparotomía por trauma.

        El hígado, siendo una víscera maciza, generalmente ocluye lesiones pequeñas del diafragma derecho ocasionadas en el trauma cerrado o en trauma abierto en la base del tórax por arma blanca, dada esta condición, mayor número de lesiones del diafragma derecho no conducen a la aparición de evisceraciones diafragmáticas. Contrariamente, lesiones, aún siendo pequeñas del diafragma izquierdo, por no presentar una condición anatómica semejante, dan origen a eventraciones precoces y se diagnostican al momento del trauma, por la aparición de imágenes hidro aéreas o neumatocele intra-torácico en las Radiologías que hacen sospechar su presencia, la radiología del tórax con contraste digestivo o mediante el empleo de una sonda naso-gástrica, revela la presencia del estómago, asas intestinales o del colon en la cavidad pleural, también una pérdida o elevación del ángulo cardio-esofágico o borramiento de la linea diafragmática es sospecha de evisceración diafragmática. 

        El empleo rutinario de la tomografía computarizada en las condiciones traumáticas juega un papel importante en el diagnóstico precoz de esta patología, justificando una vez más ser un estudio de prioridad en el diagnóstico del trauma. 

        La posición anatómica del hígado aparenta darle un mayor efecto de resistencia a la ruptura o al estallido al diafragma derecho en la tricción del abdomen. 

        Las lesiones tóraco-abdominales que implican lesiones al diafragma derecho, suelen coexistir con lesiones hepáticas graves o de otros órganos abdominales que requieren una exploración quirúrgica abdominal, son un hallazgo de la laparotomía y su reparación es realizada al momento de correción de los órganos asociados.

        Por todas estas causas y condiciones aquí explicadas hacen que la presencia de una evisceración traumática del diafragma derecho de larga evolución sea un diagnóstico infrecuente y en sus antecedentes siempre existe la presencia de un accidente automovilístico aparatoso, caída desde grandes alturas, o severos politraumatismos.


    Sobre la vía de abordaje ideal

  • En el momento agudo del trauma el abordaje quirúrgico de las evisceraciones diafragmáticas generalmente es el mismo utilizado para la reparación de las lesiones de los órganos asociados que suelen coexistir con la herida diafragmática, así la laparotomía es la vía de abordaje mas frecuente utilizada y de elección para corregir las lesiones diafragmáticas, recordando acá que debemos colocar un catéter de drenaje torácico para restituir el espacio pleural.

  •  
  • En excepcionales casos agudos, cuando existen condiciones de toracotomía por lesiones asociadas de órganos torácicos, es realizada la reparación desde el tórax, debemos tener en cuenta que una laparotomía acompañada de una toracotomía tiene menor morbimortalidad que una toraco-freno-laparotomía.

  •  
  • Cuando el diagnóstico es tardío, generalmente meses o hasta años de haber transcurrido el trauma debe realizarse por una toracotomía del lado afectado, por las condiciones de adherencias torácicas del contenido herniado, que harían imposible su liberación desde el abdomen, con mayor énfasis, una toracotomía posterolateral a nivel del 6to. espacio intercostal aporta una mejor exposición del contenido y para ejecutar la reparación correcta del diafragma lesionado por demás decir un procedimiento en manos especializadas, mejor manejado, más inocuo y mejor tolerado por el paciente.

  •  

    Paciente | Radiología Tórax | Rx. Tórax contraste | Tomografía Tórax | Ultrasonido | Intervención
    Anillo herniario | Técnica empleada | Expansión pulmonar | Pos operatorio | radiología control | Discusión

    Rubén Henríquez Homepage
    | Página Principal | Imágenes familiares | Actividades Médicas | Pósters | Casos Interesantes |
    | Imágenes Médicas | Trabajos de Investigación | Conexiones | Informaciones |

    Hospital Dr. Domingo Luciani
    Servicio Radio diagnóstico
    Dr. Joao De Freitas
    Dr. César A. Madrid
    Dra. Doris Cáceres
    Servicio de Cirugía III
    Dr. Rubén D. Henríquez A.
    Dr. Antonio Gutiérrez
    Dr. Ralph Granados
    Dr. Carlos Vivas
    1