Casos Interesantes...

Quiste Pulmonar Unico


Hospital Dr. Domingo Luciani - Venezuela

Se presenta un paciente lactante mayor, femenino de 19 meses, referido a terapia intensiva pediatrica de nuestro hospital, desde un centro clinico privado, por  presentar bronconeumonia, sepsis, con derrame pleural e insuficiencia respiratoria aguda, en nuestro centro apreciamos se trataba de enfermedad pulmonar quistica complicada, posterior a su manejo clinico y buena respuesta antibioticoterapica requirio cirugia para resolver su patologia de base., la clínica, radiología, tomografía, hallazgos operatorios, tratamiento y comentarios sobre esta infrecuente malformación congénita pulmonar son realizados. Abril, 27 del 2002.

Paciente | Radiología | Tomografía | Intervención | Radiologia posoperatoria | Comentarios
 
| Dr. Rubén Henríquez A. | Dr. José Manuel Escobar | Dra. Mónica M. Negretti | Dra. Maria Eugenia Socorro |

El Paciente

  • Se trata de paciente lactante mayor femenino de 19 meses, proveniente de Caracas, quien presento inicio de su enfermedad en noviembre del 2001, cuando presenta cuadro de neumonía basal derecha, tratada en institución privada, con poca respuesta antibioticoterapia y cuadro clínico complicado y agravado con cianosis, anemia, hemoptisis, sepsis y colapso pulmonar parcial motivo por el que ingresa dos semanas luego a la Unidad de Terapia Intensiva Pediatrica de nuestro hospital, tratada con ventilación mecanica, drenaje toracico,  tratamiento antibioticoterapico adecuado entre otros, evaluada por especialista neumonologo pediatra, terapistas pediatricos y cirugia del torax con estudios radiológicos y tomográficos del tórax con la conclusión diagnóstica de enfermedad quistica solitaria adenomatosa pulmonar, localizada en lóbulo pulmonar inferior derecho, complicada motivo por el que luego de su mejoria clinica parcial se realiza tratamiento quirúrgico con resolución total de su patología.

  •  

    Radiología del tórax

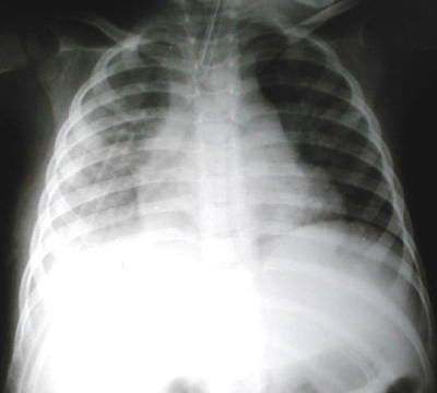
  • Rx. tórax PA (izquierda): Observamos lesion quística en base pulmonar derecho, aumento del volumen pulmonar a predominio basal derecho con mayor transparencia o halo periferico en relacion a neumotorax, liquido plaural, areas neumonicas con broncograma aereo mas acentuado enel lado derecho. el drenaje pleural o tubo de torax, cateter de PVC en cava superior y tubo endotraqueal.
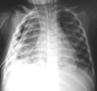
  • Rx. tórax PA (derecha): Se aprecia mayor transparencia pulmonar o lesiones quística del lóbulo pulmonar inferior derecho. Pleuritis y engrosamiento pleural de la superficie pulmonar.

  • Tomografía del Tórax

    Corte Tomográfico " 1 "
    Corte nivel sub carinal de traquea:
    Parenquima pulmonar lado derecho en fase neumonica resolutiva, engrosamiento pleural y liquido pleural escaso, del lado izquierdo note el parenquima con areas neumonicas dispersas.
    Corte Tomográfico " 2 "
    Corte 2 cm por debajo al anterior:
    Areas neumonicas bilaterales y el engrosamiento pleural derecho por paqui-pleuritis.
    Corte Tomográfico " 3 "
    Corte 4 cm. mas bajo al corte N°1:
    Parenquima pulmonar del lóbulo inferior derecho cubierto de paquipleuritis
    Corte Tomográfico " 4 "
    Corte a nivel de base del tórax:
    Parenquima pulmonar en fase neumonica observe el broncograma aereo y el proceso de paqui-pleuritis.
    Corte Tomográfico " 5 "
    Corte a nivel de base del tórax:
    Parenquima pulmonar de aspecto normal excepto el segmento posterobasal del lóbulo inferior derecho donde observamos cavidad bilobulada sacular de paredes engrosadas rodeado de parenquima pulmonar de aspecto neumónico.
    Corte Tomográfico " 6 "
    Corte a nivel de base del tórax:
    Semejante al anterior, la disminución del volumen pulmonar del hemitorax derecho.el mediastino algo desplazado a la derecha por componente neumoatelectasico pulmonar mas acentuado del lado derecho.

    Intervención

    • Al abordaje quirúrgico por toracotomía postero lateral derecha estándar, disección y sección del plano muscular y abordaje sub periostio costal ,a la altura del 5to arco costal, exposición de la cavidad torácica, apreciando adherencias firmes pleuro pulmonar y cubierto de material fibrino purulento, segmento basal posterior del lóbulo inferior derecho bien delimitado constituido por una pared fibrosa engrosada.
    • Entonces se procedio a decorticación pleural con reseccion del quiste, se suturo y marzupializo su pediculo con sutura a puntos separados y reforzando con sutura continua de poliglactin 910, lavado de la cavidad y comprobación de la hemostasia y aerostasia como demostrado en los pasos siguientes.
       
    Foto A -
    (Cabeza del paciente flecha en circulo)
    - Flecha blanca: 
    El pulmon derecho parcialmente colapsado deja notar la presencia de fibrosis y material fibrino purulento en su superficie, debemos practicar tambien decorticación pleural para lograr re-expansion pulmonar.
    Foto B -
    Posterior a la resección segmento basal posterior del lóbulo inferior derecho (Flecha blanca), lóbulo suspendido en pinzas para exposición fotográfica antes del drenaje y cierre definitivo de la cavidad toracica.
     
    Foto C -
  • Completada la segmentectomia posterior lobar inferior derecha.

  •   Se confirma la hemostasia y aerostasia el pulmón expandido y se procederá a colocar tubo para drenaje y el cierre de la pared torácica.

    Flecha blanca: el lóbulo inferior derecho ya decorticado..


    Radiología del tórax Post-operatoria

    Rx.Tórax Pa. 24 horas post operatorio UTIPediatrica: Expansión pulmonar completa, el drenaje del tórax, disminución del volumen pulmonar derecho, mediastino levemente lateralizado a la derecha, tubo endotraqueal para ventilacion mecánica asistida

    Comentarios

    • Este es un caso ejemplo de complicación infecciosa y hemorragica de La adenomatosis quistica pulmonar, enfermedad congénita, infrecuente, mas observada en las niñas en proporción de cuatro a uno, yen esta oportunidad diagnosticada al año y medio de edad, como mencioné en anterior publicacion segun las referencias bibliograficas, es en los primeros años de edad, cuando se presentan las complicaciones infecciosas o hemorrágicas de los quistes.

    •  
    • Es en esta lactante mayor, ta malformación congénita se caracterizó por un sáculo único o cavidad en comunicación con el árbol bronquial, rodeada por tejido pulmonar normal en fase neumonica tardia, fibrosis y zonas de atelectasias consecuencia de su retención de aire, infección secundaria, afectando un segmento basal del lóbulo inferior derecho pulmonar. [Tipo I: frecuente en el 50%].

    •  
    • Mencione ademas que el tratamiento para los quistes solitarios, el enfisema lobar congénito y la adenomatosis quistica pulmonar es siempre prevenir sus complicaciones por la resección quirúrgica del lóbulo afectado. Pues entonces debo señalar aqui que debemos individualizar siempre a cada paciente, y elegir la conducta mas apropiada y ajustada como en este caso observamos al quiste afectando a un segmento del lobulo pulmonar inferior y su reseccion del fué practicamente la del quiste solitario, sin vernos comprometidos a resecar un tejido pulmonar que estando en fase neumonica resolutiva luego se recuperara hacia su normalidad con menor compromiso de la funcion respiratoria.

    •  
    • Nuestra paciente evolucionó rápidamente y adiós gracias, en forma muy satisfactoria.

    •  
    • Vea también Adenomatosis Quística Pulmonar en este WebSite.

    Paciente | Radiología | Tomografía | Intervención | Radiologia posoperatoria | Comentarios

    Con el debido Agradecimiento al personal del hospital, en especial,.. los del área quirúrgica..., los héroes anónimos, que con su diario y arduo trabajo permiten el alivio de nuestros pacientes..

    Rubén Henríquez Homepage
    | Página Principal | Imágenes familiares | Actividades Médicas | Pósters | Casos Interesantes |
    | Imágenes Médicas | Trabajos de Investigación | Conexiones | Informaciones |

    Creado po Dr. Ruben Henriquez
    1