Casos Interesantes...

Adenomatosis Quistica Pulmonar


Hospital Dr. Domingo Luciani - Venezuela

Se presenta un paciente pre escolar femenino de 04 años, referido a la consulta de cirugía del tórax, por enfermedad pulmonar quistica adenomatosa, la clínica, radiología, tomografía, hallazgos operatorios, tratamiento y comentarios sobre esta infrecuente malformación congénita pulmonar son realizados. Julio, 27 del 2001.

Paciente | Radiología | Tomografía | Intervención | Radiologia posoperatoria | Comentarios
 
| Dr. Rubén Henríquez A. | Dr. José Manuel Escobar | Dra...|

El Paciente

  • Se trata de paciente pre escolar femenino de 04 años, proveniente de Caracas, quien refiere inicio de su enfermedad hace 12 meses, cuando presenta cuadro de neumonía basal derecha, tratada hospitalariamente en otra institución, cuadro clínico que se repite a los seis meses y evaluada por especialistas neumonologos pediatras, con estudios radiológicos y tomográficos del tórax y el abdomen con la conclusión diagnóstica de enfermedad quistica adenomatosa pulmonar localizada en lóbulo pulmonar inferior derecho, motivo por el que es referida para tratamiento quirúrgico.
  • Estudios rutinarios pre operatorios de laboratorio actuales interpretados como normales.
  • La revisión de la radiología del tórax demuestra múltiples quistes saculares de tamaño variables inferiores a tres cm. de diámetro y localizados en la base del hemitórax derecho, confirmados por tomografía axial computarizada.

  •  

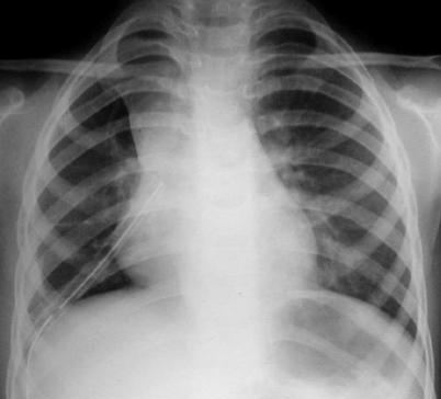
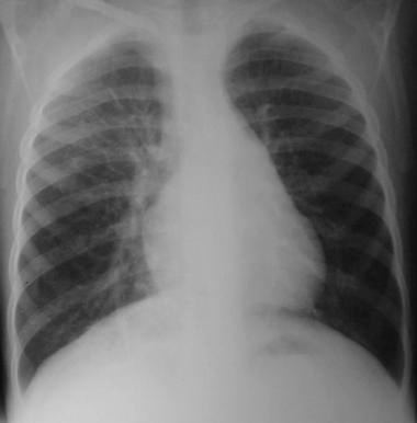
    Radiología del tórax

  • Rx. tórax PA: Observamos lesiones quísticas múltiples en base pulmonar derecho, aumento del volumen pulmonar a predominio basal derecho con mayor transparencia y discreta desviación contra lateral del mediastino.
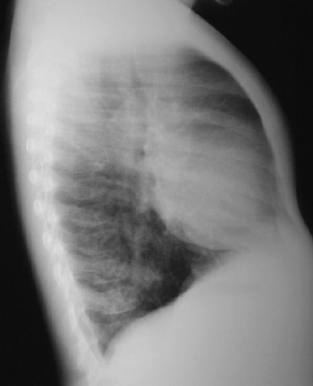
  • Rx. tórax lateral: Se aprecia mayor transparencia pulmonar y lesiones quísticas múltiples en todos los segmentos correspondientes al lóbulo pulmonar inferior derecho.
  • No se observan lesiones de atelectasia, nódulos pulmonares ni adenopatias del mediastino

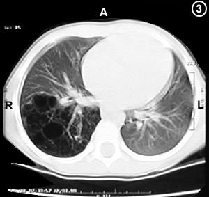
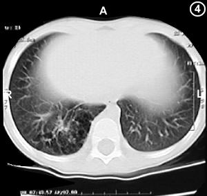
  • Tomografía del Tórax

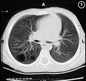
    Corte Tomográfico " 1 "
    Corte nivel inferior a la carina de traquea:
    Parenquima pulmonar lado derecho inferior, note las estructuras redondeadas oscuras también otras mas pequeñas, los quistes o sáculos característicos en el parenquima correspondiente al segmento apicalis del lóbulo pulmonar inferior derecho.
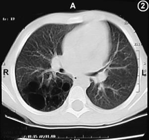
    Corte Tomográfico " 2 "
    Corte 2 cm por debajo al anterior - (hileo pulmonar):
    Muchos quistes en el parenquima pulmonar del lóbulo inferior derecho, note que el resto de la estructura pulmonar es de aspecto normal.
    (...mas abajo Corte N° 6 este mismo corte con diferente resolución tomografica para demostrar los quistes.)
    Corte Tomográfico " 3 "
    Corte 4 cm. mas bajo al corte N°1:
    Parenquima pulmonar del lóbulo inferior totalmente constituido de quistes.
    Evidentemente este lóbulo ventilado durante la respiración, no participa en la hematosis sanguínea, convirtiendo en un agente compresor y de atelectasia de la estructura pulmonar sana.
    Corte Tomográfico " 4 "
    Corte a nivel de la pase del tórax:
    Parenquima pulmonar del segmento basal posterior del lóbulo inferior derecho no escapa de la malformación pulmonar.
    Se confirma la localización de la enfermedad en todo el lóbulo inferior pulmonar derecho.
    Corte Tomográfico " 5 "
    El mismo Corte tomografico 3:
    Parenquima pulmonar de aspecto normal excepto el lóbulo inferior derecho. Resolución tomografica para demostrar las cavidades quísticas que ahora se observan blancos en el parenquima pulmonar mas oscuro.
    Corte Tomográfico " 6 "
    El mismo Corte tomografico 2:
    Semejante al anterior, Resolución tomografica para demostrar las cavidades quísticas que ahora se observan blancos en el parenquima pulmonar mas oscuro del corte tomografico N° 2.

    Intervención

    • Al abordaje quirúrgico por toracotomía postero lateral derecha estándar, disección y sección del plano muscular y abordaje sub periostio costal ,a la altura del 5to arco costal, exposición de la cavidad torácica, apreciando adherencias firmes pleura pulmonares, múltiples pequeñas lesiones quísticas sub pleura pulmonar, localizadas en el lóbulo inferior derecho.
    • Entonces se procede como se ilustra en los pasos siguientes: Lobectomía pulmonar inferior derecha.
    Foto A -
    (Cabeza del paciente flecha en circulo)
    - Flechas blancas 
    El lóbulo pulmonar inferior derecho parcialmente colapsado deja notar la presencia de numerosos quistes sub pleural, algo traslúcidos, dando un aspecto característico multi sacular.
    Foto B -
    El muñón bronquial del lóbulo inferior derecho (Flecha blanca), suspendido en referencias listo para su cierre definitivo.
    Flecha verde: el lóbulo superior derecho.
    Flecha azul: el lóbulo medio.
    Flecha negra: arterias lobares y vena pulmonar inferior ligadas.
    Foto C -
  • Completada la lobectomia pulmonar inferior derecha.

  •   Se confirma la hemostasia y aerostasia y se procede a colocar los tubos para drenajes y el cierre de la pared torácica.

    Flecha verde: el lóbulo superior derecho.
    Flecha azul: el lóbulo medio.
    Flecha blanca: el muñón bronquial, arterias lobares y vena pulmonar inferior ligadas.


    Foto D -
  • El lóbulo pulmonar resecado.

  •   La pieza se escindió longitudinalmente (linea amarilla), múltiples quistes pueden observarse en la superficie de corte (flechas amarillas), uno de ellos abulta la pleura visceral (Flecha Azul).

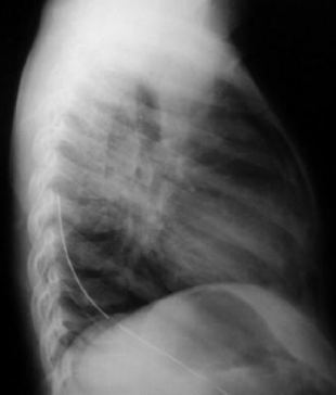
    Radiología del tórax Pos operatoria

    Rx.Tórax Pa. y L izq. 48 horas pos operatorio: Radiografía rotada por posición antalgica, el drenaje del tórax, la cisura transversa y lobulos superior e inferior expandidos, disminución del volumen pulmonar derecho, mediastino lateralizado a la derecha.

    Comentarios

    • La adenomatosis quistica pulmonar es una enfermedad congénita, infrecuente, mas observada en las niñas en proporción de cuatro a uno, generalmente diagnosticada en el periodo neonatal por sus complicaciones respiratorias en el neonato, ocasionalmente se diagnostica en los primeros años de edad, cuando se presentan las complicaciones infecciosas o hemorrágicas de los quistes.
    • Esta malformación congénita se caracteriza por pequeños saculos o cavidades cubiertas interiormente por epitelio cuboideo o aplanado parecido al bronquial, sin la presencia de cartílagos y en comunicación con el árbol bronquial, suelen estar rodeados por tejido pulmonar normal, fibrosis y zonas de atelectasias consecuencia de su retención de aire, infección secundaria, raramente afecta a todo un pulmón, generalmente afecta un lóbulo, casi siempre el basal, indiferentemente de uno de los pulmones.
    • El mecanismo por el cual producen sintomatologia es proporcional a su atrapamiento de aire, comprimiendo el tejido pulmonar sano y en casos muy severos anasarca por probable compresión cardiaca o de la vena cava. Cuando estan complicados de infeccion semejan neumonias con neumatoceles o abcedadas, otras veces neumotorax o empiema.
    • Su mortalidad suele estar asociada a la presencia de poli-hidrannios u otras malformaciones congénitas, al compromiso ventilatorio y a sus complicaciones.
    • En niños mayores suele plantearse su diagnostico diferencial con neumatoceles posteriores a neumonías estafilococicas, Síndrome Mikiti-Wilson, la displasia bronco pulmonar, los quistes solitarios y el enfisema lobular congénito con dilatación de vasos linfáticos y la sumamente extraña enfermedad de Letterer-Siwe.
    • Su diagnóstico de certeza es por Anatomía Patológica, hay tres tipos:

    • Tipo I: el más frecuente ( 50%), múltiples quistes grandes o uno grande y otros más pequeños y muy escasas áreas de parénquima pulmonar normal.
      Tipo II: ( 40% ), quistes múltiples de pequeño tamaño inferior al tipo I, con áreas de parénquima normal.
      Tipo III: más raro, como una masa sólida de múltiples quistes muy pequeños (<2 mm ). 
    • El tratamiento para los quistes solitarios, el enfisema lobar congénito y la adenomatosis quistica pulmonar es siempre prevenir sus complicaciones por la resección quirúrgica del lóbulo afectado.

    Paciente | Radiología | Tomografía | Intervención | Radiologia posoperatoria | Comentarios

    Con el debido Agradecimiento al personal del hospital, en especial,.. los del área quirúrgica..., los héroes anónimos, que con su diario y arduo trabajo permiten el alivio de nuestros pacientes..
    Al Servicio de Anestesiología
    Los Residentes de Cirugía General III
  • Dr. Adolfredo Sembergman
  • Dra. Lisbeth Gracia
  • Dra. Gladys Chiossone
  • Al Servicio de Pediatría A
    Dr. Alberto E. Reverón Q.
    y la Unidad Terapia Intensiva de Pediatria

    Rubén Henríquez Homepage
    | Página Principal | Imágenes familiares | Actividades Médicas | Pósters | Casos Interesantes |
    | Imágenes Médicas | Trabajos de Investigación | Conexiones | Informaciones |

    Creado po Dr. Ruben Henriquez
    1