Intervención
Quirúrgica
|
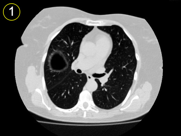
La exploración
mediante clasica toracotomia derecha, con conservacion del musculo serrato, a la altura del 5to.
arco costal, expuso un saco de aspecto traslucido y color rosado,
tenso, ocupando parte importante de la cavidad pleural,
emerge expontaneamente favorecido por la ventilacion positiva y estaba
localizado en el segmento lateral del lobulo pulmonar medio.
La cavidad pleural se encontraba libre de adherencias, con un
parenquima pulmonar aparentemente sano, sin nodulos u otra patologia demostrable
a la revision quirurgica.
|
 |
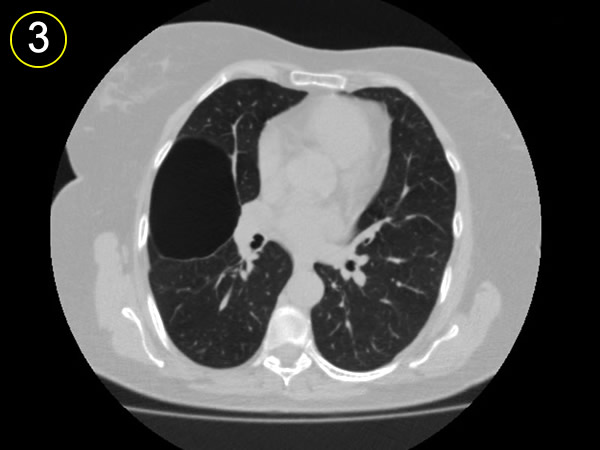
a-
bula enfisematosa, emerge espontaneamente por la incicion de toracotomia, favorecida su insuflacion
por la ventilacion mecanica
b-
lóbulo pulmonar superior derecho.
c-
lóbulo pulmonar inferior derecho.
|
|
|
 |
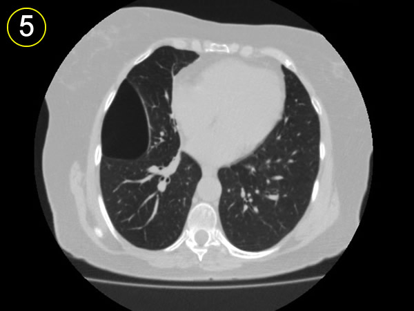
a-
segmento anterior del
lóbulo superior.
b-
lobulo medio
c-
segmento apical lobulo inferior
d-
bula subpleural
|
|
|
|
|
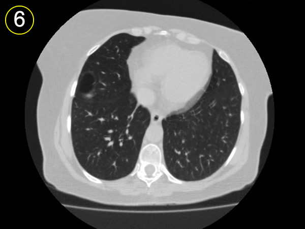
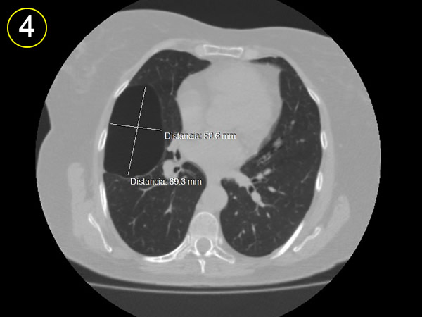
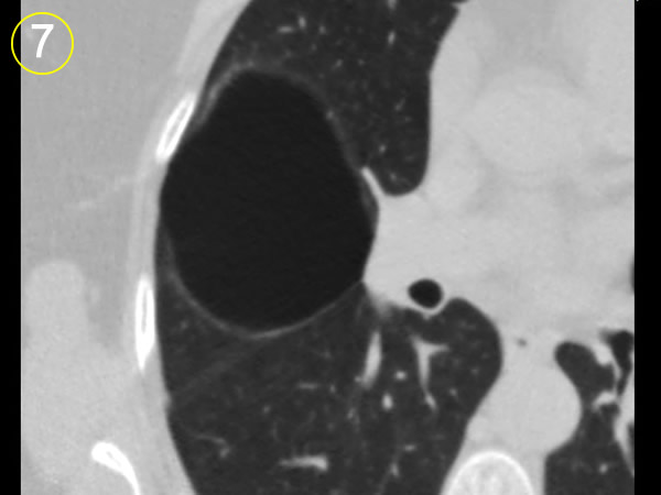
El
saco buloso.
el saco buloso
localizado en segmento lateral o superior del lobulo medio expuesto antes de su reseccion.
|
|
|
 |
En
detalle...
La
reseccion del saco buloso,
colocamos una pinza en el tejido sano de su base y procedemos a
realizar la sutura hemostatica continua por debajo de la pinza, luego seccionamos sobre la pinza
el saco mediante bisturi, finalmente retiramos la pinza para proceder
con la sutura aerostatica.
|
|
|
 |
sutura
hemostatica...
al comenzar la sutura
hemostatica se anuda y se
refiere el cabo, en forma continua en el parenquima, al
terminar
se anuda y refiere el cabo, el material es reabsorbible calibre
3-0, una sutura elastica.
sutura
aerostatica..
luego
de resecar la bula se retira la pinza y procedemos
con la sutura aerostatica pleural, continua, calibre 4-0, simple o
cruzada, en el borde libre, distal o por encima de la sutura hemostatica anterior.
|
|
|
 |
En
detalle...
La sutura aerostatica en ejecucion:
en su parte derecha ( sobre los dedos ) se aprecia el aspecto o resultado definitico de la misma.
Al concluir se retiran las referencias y se realiza la maniobra de cauchero para cerciorar la integridad de la aerostasia
|
|
|
 |
En
detalle...
La pieza quirurgica,
que se envia para anatomia patologica y estudios para
investigar tuberculosis y hongos.
|
|
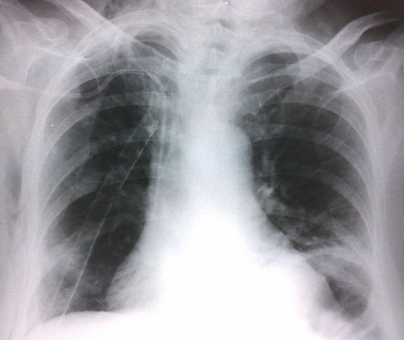
Rx. control
pos - operatorio
|
|
|
Rx. pos - operatoria
inmediata.
a. observe
la expansión pulmonar del lado derecho.
b. El tubo de torax, el cateter de PVC.
c. Dilatacion camara gastrica con contenido aereo, con la consecuente elevacion del diafragma izquierdo.
|
|
|
 |
Rx. pos - operatoria 48 horas.
a. observe
la expansión pulmonar del lado derecho.
b. Alguna mejoria de la dilatacion gastrica.
c. En descenso el diafragma izquierdo.
|
|
Comentarios
|
La enfermedad
bronco pulmonar obstructiva
es determinante en la aparición de enfermedad bulosa pulmonar.
La
tuberculosis, las micosis pulmonares, el
carcinoma pulmonar, la fibrosis pulmonar, infecciones bacterianas, el
trauma
torácico, barotrauma y cuerpos extraños inhalados, son diagnósticos
comunmente asociados con enfermedad bulosa pulmonar.
La ruptura de
los tabiques alveolares y la
confluencia de sacos alveolares generalmente sub pleurales en los
segmentos
mas aireados y poco irrigados: los apicales o segmentos superiores de
los
lóbulos pulmonares, son los responsables de la mayoria de los
neumotórax
expontáneos observados en pacientes jóvenes y delgados.
Los pequeños
bronquiolos, por su naturaleza
histológica de paredes inconsistentes y su comportamiento fisiológico
natural, cortos en longitud y con luz amplia durante la inspiración,
alargados y extrechos durante la expiración, cuando sus paredes
están inflamadas se comportan como unos sistemas valvulares que
permiten la entrada del aire a los alveolos, pero no su salida,
desencadenando
elevadas presiones alveolares que producen destrucción de sus paredes
constituyendo verdaderos sacos o bulas en la arquitectura pulmonar.
Cuando la
pleura adyacente es la mediastinal
ocasionan enfisemas mediastinales y subcutáneos expontáneos
en veces impresionantes y dramáticos, sin neumotórax asociado
o demostrado.
Cuando están
infectadas, las imágenes
radiológicas saculares de paredes delgadas y contenido hidro-aereo,
(con niveles líquidos), se plantea el diagnóstico diferencial con el
absceso pulmonar.
Esta forma de
presentación de bula
unica, o localizada en un segmento único, de la enfermedad bulosa
pulmonar no es clásica o frecuente.
La tomografía
computarizada del tórax
y su adecuada interpretación es de gran ayuda diagnóstica
en las patologias del tórax.
En enfermedad
bulosa pulmonar bilateral debe
ser resuelta en el mismo tiempo quirúrgico, la esternotomia y abordaje
pleural bilateral no es un procedimiento sencillo y la asistencia
ventilatoria
pos-operatoria es casi obligatoria en la toracotomía bilateral.
|
|
|
| Paciente | Radiología
Tórax | Tomografía Tórax
| Intervención
|
|
|
| Técnica empleada | Bula
resecada | Radiología
control
| Discusión |
|
|
| Rubén
Henríquez Homepage |
|
Página
Principal | Imágenes
familiares
| Actividades
Médicas | Pósters
| Casos
Interesantes |
|
Imágenes
Médicas | Trabajos
de Investigación
| Conexiones
| Informaciones
|
|
|
|
|
|