Tumor Carcinoide del timo


Hospital
Dr. "Domingo Luciani "

Paciente | Radiología Tórax | Tomografía Tórax | Intervención | Radiología Post operatoria | Tomografía Abdominal
Ganmagrama Oseo | Anatomía Patológica | Coloraciones Especiales | Microscopía Electrónica | Notas

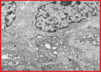
Microscopía Electrónica

     Células tumorales poligonales, núcleo central y cromatina dispersa y nucleolo. La densidad citoplásmica uniforme con complejos de organelas parecidas al de las glándulas neuroendocrinas. Mitocondrias y cuerpos de Golgi numerosos.
     El pigmento intracelular observado con microscopio de luz, se muestra aquí denso, amorfos, y material de membrana citoplásmica de consistente apariencia de lipofuscina.
The University of Texas  MD ANDERSON CANCER CENTER

    30.000x

    30.000x

    30.000x

Notas sobre el artículo

Radiologicamente:

     El tumor carcinoide del timo no puede diferenciarse de otros tumores que ocupan el mediastino superior. Generalmente suele verse como una masa lobulada grande, densa, no quística, a veces con calcificaciones y que protruye hacia el espacio pleural.

La Tomografía computarizada:

     Con contraste es de ayuda en el diagnóstico diferencial del aneurisma aórtico y también nos permite diagnosticar nódulos mediastínicos metastásicos, sus relaciones e invasión de estructuras vecinas y también para evaluar la recidiva local después de su extirpación quirúrgica.

El gammagrama óseo:

     Corroborado con el survey óseo diagnostica las lesiones osteoblásticas metastásicas frecuentes hasta en un 70 % , en estos tipos de tumores.

Estudio del tejido:

     Es importante destacar en el estudio de estos tumores, que áreas focales de tejidos timocarcinoides se pueden observar en timomas, carcinomas metastásicos, cáncer de células germinales y en linfomas malignos.

     Al corte se aprecia su solidés, sin quistes, con áreas de hemorragia, necrosis y una pigmentación blanca grisácea típica en su superficie. Deben examinarse múltiples bloques de tejidos y con técnicas especiales de Microscopía de luz, impronta de tejidos, Microscopía electrónica incluyendo estudios de inmuno-histoquímica.

     Estudios de inmunoperoxidasa pueden demostrar la presencia de citoplasma inmunoreactivo (en relación a la producción de ACTH ectópica) y verse asociados con un Síndrome de Cushing o el Síndrome de múltiple neoplasia endocrina (MEN).
 

 

Esto es muy importante, porque el pronóstico y el tratamiento del Tumor carcinoide del Timo difiere de los otros procesos neoplásicos del mediastino superior.


Paciente | Radiología Tórax | Tomografía Tórax | Intervención | Radiología Post operatoria | Tomografía Abdominal
Ganmagrama Oseo | Anatomía Patológica | Coloraciones Especiales | Microscopía Electrónica | Notas

Rubén Henríquez Homepage
| Página Principal | Imágenes familiares | Actividades Médicas | Pósters | Casos Interesantes |
| Imágenes Médicas | Trabajos de Investigación | Conexiones | Informaciones |

Anatomía Patológica:
Dra. María Eugenia de Tortoledo
Dra. Nancy Ibarra
1