Tumor Carcinoide del Timo


Hospital
Dr. "Domingo Luciani "

Paciente | Radiología Tórax | Tomografía Tórax | Intervención | Radiología Post operatoria | Tomografía Abdominal
Ganmagrama Oseo | Anatomía Patológica | Coloraciones Especiales | Microscopía Electrónica | Notas

El Ganmagrama Oseo

     Relacionadolo con estudios radiológicos óseos, se ponen de manifiesto lesiones aspecto osteoblásticas de tipo metastásico en columna Lumbar, pelvis y fémur Izquierdo.

 

Anatomía Patológica

Macroscópico:

Lesión sólida de 7 x 7 cm. En su diámetro mayor, superficie parda grisácea, con adherencias fibroconectivas. Nódulos en número de dos hacia su porción izquierda de aspecto ganglionar duros de dos cm. Que forman parte con la lesión. Al corte es de consistencia elástica, con una superficie parda y punteados blanquecinos.
 

Estudio microscópico:

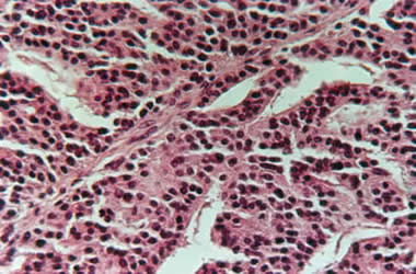
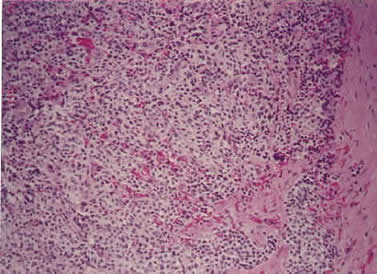
Tumor constituido por células poliédricas o redondeadas con bordes mal definidos, citoplasma eosinófilo homogéneo y núcleos con membrana nuclear evidentes, Cromatina granular y nucleolos. Las células se disponen formando placas sólidas, con formación de espacios centrales, cestas y rodeadas por finas bandas de tejido conectivo. Está rodeado completamente por una cápsula conectiva.
H y E 100x

H y E 200x

Patrón clásico de crecimiento de la células en el tumor carcinoide del timo: Fino tejido fibrovascular intersticial entre los racimos celulares. Existe uniformidad celular, los núcleos son redondos, cromatina fina y un citoplasma eosinófilo.
H y E 400x

Coloraciones especial Inmunoperoxidasa

Demuestra la presencia de citoplasma inmunoreactivo 
Inmunoperoxidasa 200x

Paciente | Radiología Tórax | Tomografía Tórax | Intervención | Radiología Post operatoria | Tomografía Abdominal
Ganmagrama Oseo | Anatomía Patológica | Coloraciones Especiales | Microscopía Electrónica | Notas

Rubén Henríquez Homepage
| Página Principal | Imágenes familiares | Actividades Médicas | Pósters | Casos Interesantes |
| Imágenes Médicas | Trabajos de Investigación | Conexiones | Informaciones |

Anatomía Patológica:
Dra. María Eugenia de Tortoledo
Dra. Nancy Ibarra
1