Pectus Carinatum


Hospital
Dr. " Domingo Luciani "

Un típico caso de paciente con Pectus Carinatum, la clínica, radiología, descripción y fotografias, la técnica de corrección quirúrgica, el resultado final, comentarios sobre esta no tan extraña anormalidad de la pared torácica y de la técnica operatoria empleada. Noviembre, 14 de 2000.

Dr. Rubén Henríquez | Dr. Luis Pierluissi | Dra. Yeisma Zurita | Dr. Pedro Perlaza

Paciente | Fotografía Tórax | Radiología Tórax | Intervención | Radiología Pos operatoria | Final | Comentarios

El Paciente

Escolar masculino de 14 años de edad, venezolano, cuya madre refiere protrusión de la pared torácica anterior, anormalidad caracterizada por hueso saliente, muy pequeña cuando lo percibió, como a los ocho años, pero que ha progresado en los ultimos años, además de la deformidad del tórax, le preocupa la conducta retraida del niño, no quiere compartir con compañeros de escuela o amigos por temor a ser objeto de burlas, adopta una postura viciosa para ocultar su problema y manifiesta su gran insatisfacción por su defecto físico.

Fotografías del Tórax

Fotografia del pectus carinatum
Vista anterior izquierda: Deformidad en quilla o carena de la pared anterior del tórax, depresión paraesternal izquierda y protrusión lateroexternal derecha con tórax en embudo.
La deformidad de la pared anterior del tórax.
Vista desde el abdomen, plano horizontal.
La evaluación clínica minuciosa y personalizada, ayuda a elegir la variante técnica mas adecuada, la menos complicada y mas simple logra mejores resultados funcionales, cosmeticos y psicológicos.
.
Un excesivo desarrollo de los cartilagos costales deprime la pared izquierda del tórax, la derecha elevada y el esternón dezplazado a la derecha, y rotado en sentido contrario, se mantiene elevado por los largos cartílagos costales comunes, el defecto no involucra al manubrio esternal ni los dos primeros arcos costales.

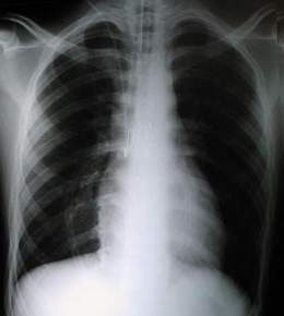
Radiología del Tórax

       En la radiología preoperatoria posteroanterior PA, (abajo a la Izquierda), apreciamos la imagen cardiaca centrada en el tórax con aplanamiento del diafragma y horizontalización de los arcos costales, el dibujo pulmonar normal.

       En la proyección lateral Izquierda (imagen de abajo a la derecha) se aprecia la protrusión esternal y en dirección anterior hasta la unión del tercio medio con el inferior, la retracción del xifoides, insinuando la estrechez de la base del tórax (Tórax en barril), el amplio diámetro anteroposterior del tórax se reduce en su extremo inferior.

Rx. Tórax PA
Rx. Tórax Lateral Izquierda

Intervención quirúrgica

Incisión trasversa, La diseccion de piel y subcutaneo
  • Incisión trasversa - submamaria.
  • Disección del colgajo de piel y subcutáneo superior e inferior.
    • La disección amplia de los colgajos pectorales (en pinzas), permite la exposición de la pared costal, desde el II arco hasta el XI arco bilateral.
    Disección pectoral
    La deformidad de la pared y esternon
  • Colgajo piel, subcutáneo y pectorales elevados en pinzas.
  • Exposición de la pared costal anterior, observe los largos cartilagos costales ya desperiostizados, exuberantes y convexos en el lado derecho y deprimidos y concavos en el lado Izquierdo que colocan al esternón en un plano anterior, dezplazado a la derecha y rotado sobre su eje longitunal hacia la izquierda.
  • Resección subperióstica de los cartílagos costales.(de igual manera como en el pectus excavatum), en caso de apertura pleural accidental debe colocarse un drenaje o tubo toracico para expansión pulmonar.
  • Sección esternal en la unión del manubrio con el cuerpo.(Círculo)
  • El apéndice xifoides estirpado
  • Osteotomia transversa esternal
    Sintesis de Osteotomía
  • Fijación de la esternotomía transversa con sutura de alambre 4, dos puntos simples separados, corrigiendo la rotación esternal.
  • Fotografía desde la cabeza para exponer la mitad inferior del campo operatorio.
  • Fijación de ambos pectorales a la línea medioesternal.Se realizó con sutura de lenta absorción, (ácido poliglicólico, trenzado)
  • Colocación de un dren aspirativo bajo el plano pectoral, exteriorizado por contrabertura inferior abdominal.
  • En pinzas ambos músculos recto anterior del abdomen, próximos a ser fijados a la extremidad inferior del cuerpo esternal.
  • Rectos en pinzas, el drenaje y la sintesis del plano pectoral
  • Ambos pectorales fijos a la linea media esternal.
  • Fijación de los rectos anteriores del abdomen al extremo inferior del cuerpo esternal.
  • Hemostasia minuciosa, antes de la síntesis del plano subcutáneo, piel y en todos los planos.
  • Síntesis de la piel
  • El drenaje aspirativo por contrabertura.
  • "Si las pleuras son abiertas accidentalmente se colocan tubos pleurales toracicos que pueden ser extraidos medialmente cerca del dren aspirativo".
    Foto del tórax Post operatorio
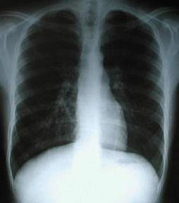
    Rx PA durante terapia Intensiva
    • La asistencia ventilatoria pos operatoria, con PEP fisiológico para mantener el área elevada por 2 a 4 dias, evita las complicaciones ventilatorias pulmonares. y ayuda a obtener mejores resultados.
    • La radiografía anteroposterior en pos operatorio inmediato muestra al corazón en posición central, el mediastino centrado, la ausencia de neumotórax o derrame pleural, el material de síntesis esternal (alambre).
    • El tubo endotraqueal, el cateter venoso central y el drenaje precostal.
  • A las 48 horas del pos operatorio, realizando trabajo ventilatorio, fotografía en fase inspiratoria.
  • Presenta suficiente estabilidad de la pared torácica., la extubación oro-traqueal está por realizarse.

    Radiología Pos – Operatoria

         La radiografía anteroposterior del tórax, pos-operatorio 72 horas: muestra un corazón en posición central, el mediastino centrado la ausencia de neumotórax o derrame pleural, el material de síintesis esternal (alambre). El drenaje aspirativo circular precostal.
         La Rx lateral Izquierda del tórax muestra: la osteosintesis a nivel del 2 arco, la rectificación esternal, con la disminución del espacio retroesternal y el aumento del diámetro de la base del tórax en su extremo inferior.
    Rx post extubacion endotraqueal

    Resultado final

    Carinatun Inicial El Final del Carinatun
     

    Comentarios

    El Pectus Carinatum

  •  Esta anormalidad de la pared torácica también llamada tórax en quilla, tórax en carena, pecho de paloma, pecho de pollo, es en realidad menos frecuente que el pectus excavatum y como en esta generalmente comienza al nacimiento, a veces no notada, y por su carácter progresivo, ya a los 14 o 15 años de edad, es mas acentuada.
  • Mas frecuente en el niño masculino en relacion 2:1 a 3:1
  • Con mayor incidencia de casos en varias generaciones de una misma familia, y  puede estar asociado a otras malformaciones congénitas como hendidura palatina, sindrome de Marfan, Down, Schewart, Turner, Morquios, Mieten o polisomias genéticas, entre otros. Malformaciones congénitas cardiacas como defecto del septun atrial, pueden presentar pectus carinatum en proporción de 4:1.
  • Esta, no tan extraña anormalidad congénita del esternón, suele ocurrir distal a la segunda inserción costal y se extiende hasta el apéndice xifoides, generalmente involucra un desarrollo excesivo de los arcos costales, un desplazamiento external derecho puede ocurrir con menor o mayor crecimiento de los cartilagos costales de uno u otro lado y no tiende a producir desplazamiento o compresión cardíaca, pero evidentemente altera el tamaño de la cavidad torácica, cuando es severo compromete el manubrio esternal y disminuye el diámetro antero posterior del tórax en su base, la falta de desarrollo de la musculatura pectoral es común y un aspecto físico asténico muy notado.
  • En las niñas, las glándulas mamarias suelen estar menos desarrolladas.
  • Adoptan una posición arqueada de la columna dorsal con elevación de la cabeza, y esto desmejora su apariencia, no son indiferentes a su aspecto y para ocultarlo, adoptan pociciones viciosas, se aíslan, no participan en actividades públicas o deportivas, generalmente desfavorecidos por las opiniones de parientes acerca de sus desventajas, terminan siendo rechazados por los grupos y solo siendo amados por sus propias madres. Los efectos psicológicos también son muy marcados.
  • Los aspectos aqui mencionados se toman en cuenta para decidir el momento mas adecuado para su tratamiento de corrección: la cirugía, el apoyo psiquiátrico y la fisioterapia de rehabilitación muscular, respiratoria y corrección de los vicios posturales, son los procedimientos que culminan por abrir la puerta a un nuevo horizonte, agradable para la vida de estos pacientes.
  • La técnica quirúrgica

  • Muchas técnicas para corregir el pectus carinatum son empleadas, todas ellas con buenos resultados. el secreto claro está, empleando un método adecuado de evaluación del paciente.
  • La operación está indicada en todo paciente sintomático, o con deformidad progresiva.
  • Muchas de las operaciones difieren radicalmente una de otras como en el pectus excavatum, del cual muchos autores mencionan es una variedad de presentación.
  • El objetivo básico es la resección de los cartílagos deformes, y corrección del esternón mediante osteotomías, que siempre están presentes en todas ellas, sus diferencias consisten, en el método de fijación empleado, mediante el uso de alambres, costillas etc, hasta la eversión y rotación del esternón o de la pared torácica anterior.
  • También aqui es cierto que el uso de una técnica básica bién ejecutada con pequeñas modificaciones de acuerdo a los objetivos determinados por una correcta evaluación producen optimos resultados.
  • La técnica empleada tiene su principio básico en la técnica del Dr. Mark M. Ravitch, 1965; parcialmente modificada, que se basa en la resección de todos los cartílagos deformados, corregir o aplanar el esternón mediante osteotomias parciales o totales externas o internas para evitar la recurrencia, si el manubrio está implicado: una corrección de horizontalización del manubrio mediante osteotomia del segundo cartilago en forma oblicua y osteotomias para aplanamiento del esternón en este nivel mediante resecciones de cuñas en una o varias partes de sus tablas internas o externas con o sin adición de cuñas estabilizadoras realizadas con los mismos cartilagos resecados, y siempre acompañarla con resección del xifoides e implante del músculo recto anterior del abdomen al extremo inferior cuerpo esternal dan excelentes resultados y viene siendo el método mas empleado en las últimas decadas.
  • Hoy día, los procedimientos de Cirugía asistida por video toracoscopia, se basa en los mismos principios para alcanzar los mismos resultados.
  • Es importante decir, como en el pectus excavatum, que debemos conocer todas las variantes técnicas, para aplicarlas y obtener los exitos deseados.



  • Para ampliar sus conocimientos sobre el presente tema, me atrevo a sugerirles aquí, leer un libro de texto llamado "Congenital Deformities of the chest wall and their operative correction" cuyo autor es el Dr. Mark M. Ravitch.

    Paciente | Fotografía Tórax | Radiología Tórax | Intervención | Radiología Post operatoria | Comentarios

    Con el eterno agradecimiento a "todo el personal" del Hospital "Dr. Domingo Luciani", del I.V.S.S.
    Por su valiosa, generosa y desinteresada dedicación, colaboración, atención y ... en especial a:
    -
    Terapia Intensiva Pediatrica
    Servicio de Anestesiología
    Servicio Cirugía Pediatrica
    Dr. Jose Manuel Escobar
    Dra. Blanca Nieves Rodriguez
    Dra. Mónica Negrette
    Dra. Vilma Garcia
    Dr. Alberto Figueira
    Dra. Deysi Franchi
    Dra. Margarita Pesqueira
    Dr. Luis Martínez
    Dr. Rafael Piereti
    Jefe del Servicio
    Médicos Adjuntos Cirujanos
    Médicos Residentes
    Rubén Henríquez Homepage
    | Página Principal | Imágenes familiares | Actividades Médicas | Pósters | Casos Interesantes |
    | Imágenes Médicas | Trabajos de Investigación | Conexiones | Informaciones |

    1