Pectus Excavatum


Hospital
Dr. " Domingo Luciani "

Se presenta un caso de Pectus Excavatum, clínica, radiología, gráficas de la técnica de corrección quirúrgica, resultado final, comentarios sobre esta anormalidad torácica y de la técnica operatoria empleada. Agosto 2000.

Dr. Rubén Henríquez | Dr. Luis Pierluissi | Dra. Yeisma Zurita | Dr. Pedro Perlaza

Paciente | Fotografía Tórax | Radiología Tórax | Intervención | Radiología Pos operatoria | Comentarios

El Paciente

Pre-escolar masculino de 4 años de edad, venezolano, cuya madre refiere anormalidad de la pared torácica anterior caracterizada por hundimiento, muy pequeña al nacimiento pero que ha progresado en el tiempo en tamaño y profundidad, ademas le preocupa la excasa o limitada participación en juegos o actividades infantiles de grupo de niños de su misma edad, siendo incapaz de realizar esfuerzos fisicos de intensidad y tiempo similares debido al cansancio, la fatiga y la dificultad respiratoria que presenta.
Cuando está de pié o sentado adopta una postura viciosa y manifiesta su insatisfacción por su condición física.

Fotografía del Tórax

Disminución del diámetro antero posterior del torax y sifosis de la columna dorso lumbar. La deformidad de la pared anterior e inferior del tórax
La evaluación clínica minuciosa y personalizada, ayuda a elegir la variante técnica mas adecuada, la menos complicada y mas simple logra mejores resultados funcionales, cosmeticos y psicológicos.
.
Escesivo desarrollo de los cartilagos costales mas acentuado en los cartílagos comunes, la depresión esternal se inicia inmediatamente distal al segundo arco costal.

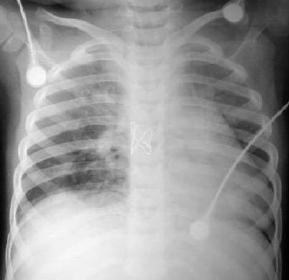
Radiología del Tórax

       En la radiología preoperatoria posteroanterior PA, (abajo a la Izquierda), apreciamos el desplazamiento de la imagen cardiaca hacia la pared izquierda del tórax con franca luminiscencia de la región cardíaca correspondiente a la depresión esternal inferior, cuando la lateralización es acentuada, la rotación del eje cardiaco hacia la izquierda es evidente y el botón hilear derecho se proyecta de aspecto nodular y muy expuesto o bién, ausente retroexternal y esto frecuentemente es mal interpretado.

       En la proyección lateral Izquierda (imagen de abajo a la derecha) se aprecia la depresión esternal, el borde posterior del esternon se observa posterior al borde anterior de la pared cardiaca y el borde anterior de los cuerpos vertebrales está ensolapado con el borde posterior de la silueta cardíaca.

Rx. Tórax PA Rx. Tórax Lateral Izquierda

Intervención quirúrgica

  • Incisión Trasversal Submamaria.
  • Disección de los colgajos de piel superior e inferior.
  • Disección muscular de ambos pectorales.
    • La disección amplia de los colgajos pectorales (elevados), permite la exposicion de la pared costal, desde el III arco hasta el XI arco bilateral.
  • Colgajo piel y subcutáneo inferior elevado en pinzas.
  • Exposición de la pared costal inferior, observe los largos cartilagos costales en direccion esternal deprimidos que colocan al esternón en un plano posterior.
  • Desperiostización del III arco cartilaginoso derecho, maniobra cautelosa para no producir lesión pleural subperiostica costal, en caso de apertura pleural accidental debe colocarse un drenaje o tubo toracico para expansión pulmonar
  • Todos los cartílagos costales involucrados en el defecto son desperiostizados, en este caso desde el tercero al XI arcos bilaterales
  • Resección amplia del cartílago costal III superior derecho, note que en ese punto comienza la depresión esternal, deben conservarse los vasos mamarios internos, suceptibles de ser lesionados en la desinserción condro esternal. el mismo procedimiento es estensivo a todos los arcos costales desperiostizados.
  • Los arcos cartilaginosos costales fueron resecados.
  • El apéndice sifoides estirpado.
  • La disección digital retro esternal, en toda su longitud lo libera del diafrágma y ligamentos esterno pericardicos.
  • Liberado el esternón, se observa la concavidad del mismo, la resección en V o cuña de su tabla externa esefectuada en el inicio del defecto. 
  • Elevación de la porción esternal distal a la cuña con fractura de la tabla posterior, la corrección del defecto esternal, debe quedar excesivamente corregido, (hacia arriba).
  • Colocacion de un punto en X para fijar la osteotomia esternal, en este caso usamos alambre de acero No. 5, cuidando no exceder su torción porque rasgaria al esternón, impidiendo su estabilización.
  • Observe el aspecto sobre corregido del esternón, este punto es importante para obtener un optimo resultado.
  • Síntesis o fijación de ambos pectorales a la linea media esternal y al tejido  pericondral.
  • Fijación del recto anterior del abdomen al extremo inferior del cuerpo esternal y lateralmente de las fibras del oblicuo mayor a los pericondrios costales.
  • Un drenaje aspirativo para evitar colecciones hematicas bajo el plano pectoral se extrae por contrabertura
  • Síntesis de la piel
  • El drenaje aspirativo por contrabertura.
  • Si las pleuras son abiertas accidentalmente se colocan tubos pleurales toracicos que pueden ser extraidos medialmente cerca del dren aspirativo.
  • La asistencia ventilatoria pos operatoria, con PEP fisiológico para mantener el área elevada por 3 a 4 dias, evita las complicaciones ventilatorias pulmonares. y ayuda a obtener mejores resultados.
  • A las 48 horas del pos operatorio, realizando trabajo ventilatorio, fotografía en fase inspiratoria.

  •  

     
     
     
     

    Presenta suficiente estabilidad de la pared torácica., la extubación oro-traqueal está por realizarse.


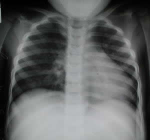
    Radiología Pos – Operatoria

         La radiografía pos operatoria inmediata muestra un corazón en posición lateral izquierda, pero evidentemente mas centrado, observe que la imagen radiolúcida en el sitio donde estaba la depresión esternal ya no existe, para que regrese la imagen cardíaca completamente requiere de tiempo, en la vista lateral obviamente se aprecia la corrección external, con franco desplazamiento anterior de la silueta cardiaca.
     

    Comentarios

    El Pectus Excavatum

  •  Esta anormalidad de la pared torácica fue inicialmente descrita por Wilhelm Ebstein, Gazette des Hopitaux , París, 1860, titulado "Difformité Thoracique". y también en 1863,  Rokitansky describió esta anormalidad y sucesivamente otros seguidores describieron al mismo paciente varias veces; esta primicia ha sido negada por momias egipceas con esta anomalia torácica.
  • Generalmente comienza al nacimiento, a veces no notada, y por su carácter progresivo, ya a los 14 o 15 años de edad, es muy acentuada.
  • Mas frecuente en el niño masculino en relacion 2:1 a 3:1
  • Incidencia de casos en varias generaciones de una misma familia ha sido observada, y  puede estar asociado a otras malformaciones congénitas como hendidura palatina, osteogénesis imperfecta, homocistinuria, sindrome de Marfan, Down, Schewart, Turner, Morquios, Mieten, oculocerebral, y polisomias genéticas, entre otros. Malformaciones congénitas cardiacas como defecto del septun atrial, pueden presentar pectus excavatun en proporción de 4:1.
  • Esta, no tan extraña anormalidad congénita del esternón, suele ocurrir distal a la segunda inserción costal y se extiende hasta el apéndice sifoides, generalmente involucra un desarrollo excesivo de los últimos arcos costales, un desplazamiento external derecho puede ocurrir con menor o mayor crecimiento de los cartilagos costales de uno u otro lado y tiende a producir mas desplazamiento que compresión cardíaca, pero evidentemente reduce el tamaño de la cavidad torácica, cuando es severa suele implicar compromiso del manubrio external y disminución del diámetro antero posterior del tórax con la consiguiente opresión, desplazamiento y rotación cardiaca externa izquierda, la falta de desarrollo de la musculatura pectoral, con el consiguiente aspecto físico asténico muy notado.
  • En las niñas, la glándula mamaria derecha suele ser menor y menos desarrollada que la izquierda.
  • Adoptan una posición arqueada de la columna dorsal con elevación de la cabeza, como de un perro cargado, y evidentemente esto desmejora su apariencia, raras veces son indiferentes a su aspecto, para ocultar su defecto, tienden a adoptar pociciones viciosas, se aíslan, no participan en actividades públicas o deportivas, generalmente desfavorecidos por las opiniones de parientes acerca de sus desventajas, terminan siendo rechazados por los grupos y solo siendo amados por sus propias madres. Los efectos psicologicos son muy marcados.
  • La evaluación electrocardiográfica demuestra el desplazamiento y rotacion izquierdo del eje cardiaco. La ecocardiografia es práctica en el diagnóstico de defectos septales atriales, y en la evaluación de la disfunción sistólica.
  • Estos aspectos aqui mencionados se toman en cuenta para decidir el momento mas adecuado para su tratamiento de corrección: la cirugía, el apoyo psiquiátrico y la fisioterapia de rehabilitación muscular, respiratoria y corrección de los vicios posturales, son los procedimientos que culminan por abrir la puerta a un nuevo horizonte, agradable a la vida de estos pacientes.
  • La técnica quirúrgica

  • Muchos dicen que si existen variadas técnicas para corregir el pectus excavatum es porque los resultados son poco alentadores, lógico es pensar que, con variados procedimientos bien ejecutados se obtienen buenos y semejantes resultados, existen muchas técnicas que difieren unas de otras, el problema no es con la operación, sino mas bién con el método de evaluación del paciente.
  • La operación está formalmente indicada en todo paciente sintomático, con deformidad progresiva.
  • Muchas de las operaciones difieren radicalmente una de otras, pero en todas ellas el objetivo básico es la resección de los cartílagos deformes, y la elevación del esternón para conseguir un mayor diámetro anteroposterior, y para resolver este problema la osteotomía esternal, también está presente en todas ellas, difieren en el método de fijación empleado mediante el uso de alambres, costillas etc, hasta la eversión y rotación del esternón o de la pared torácica anterior.
  • También es cierto que el uso de una técnica básica bién ejecutada con pequeñas modificaciones de acuerdo a los objetivos determinados por una correcta evaluación producen resultados optimos.
  • La técnica aquí empleada tiene su principio básico en la técnica del Dr. Mark M. Ravitch, 1965. y parcialmente modificada, que se basa en la resección de todos los cartílagos deformados, osteotomia y sobre corrección del esternón por fijación con sutura cruzada, es importante corregir o aplanar el esternón mediante osteotomias adicionales externas o internas para evitar la recurrencia, si el manubrio está implicado una corrección por elevación del manubrio mediante osteotomia del segundo cartilago en forma oblicua y elevación del esternón a este nivel mediante imbrincamiento de los cartílagos, liberación completa del esternón y resección del sifoides con implante del músculo recto anterior del abdomen en el extremo inferior del esternón ha dado excelentes resultados y viene siendo una de la mas empleada en los últimos tiempos.
  • Hoy en día, con los nuevos procedimientos de Cirugía Video toracóscopica,  solo utiliza métodos diferentes para lograr los mismos objetivos en base a la misma técnica.
  • Es importante decir que debemos conocer todas las diferentes técnicas, para importar y aplicar pequeñas variantes para obtener los resultados deseados.



  • Para ampliar sus conocimientos sobre el presente tema, me atrevo a sugerirles aquí, leer un libro de texto llamado "Congenital Deformities of the chest wall and their operative correction" cuyo autor es el Dr. Mark M. Ravitch.

    Paciente | Fotografía Tórax | Radiología Tórax | Intervención | Radiología Post operatoria | Comentarios

    Con el agradecimiento a todo el personal del Hospital "Dr. Domingo Luciani", por su generosa y desinteresada dedicación, colaboración, atencion y ... en especial a:
    -
    Terapia Intensiva Pediatrica
    Servicio de Anestesiología
    Servicio Cirugía Pediatrica
    Dr. Atilio Galindo
    Dr. Pedro Marín
    Dra. Maria Lucia Garcia
    Dr. Manuel Escobar
    Dra. Maria Eugenia Socorro
    Dra. Gloria Gomez
    Dra. Rosa Morenza
    Dr. Rafael Piereti
    Jefe del Servicio
    Médicos Adjuntos Cirujanos
    Médicos Residentes
    Rubén Henríquez Homepage
    | Página Principal | Imágenes familiares | Actividades Médicas | Pósters | Casos Interesantes |
    | Imágenes Médicas | Trabajos de Investigación | Conexiones | Informaciones |

    1