Drs. Prolla and Diehl's INTERESTING CASE OF THE MONTH August 2001 case B
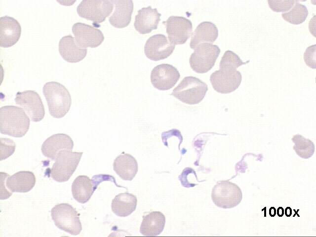
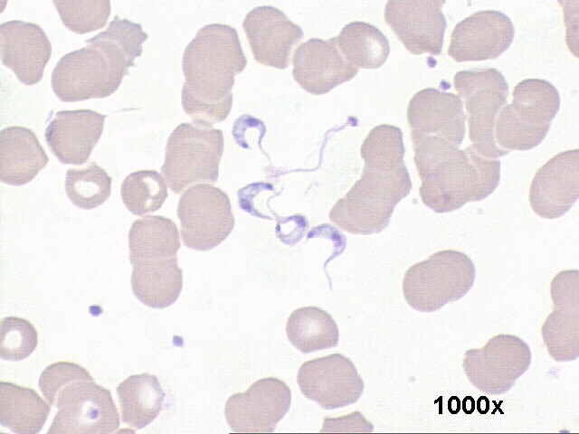
CSF cytocentrifuge smear of 1-year old boy with AIDS and meningo-encephalitis

1000x M-G-G staining

1000x M-G-G staining

Click here to see the CT scan of the head of the boy.





Case A August 2001

Case of the month answer Hospital de Clinicas de Porto Alegre - Listen to H.Bunji rendering of Mozart's Sonata in G K283




Best seen on 1024x768x16M resolution - After complete downloading of the pictures, and while you think listen to H.Bunji playing Mozart's Sonata in G K283, by clicking on the picture of the Hospital de Clinicas de Porto Alegre.


Hosted by www.Geocities.ws

1