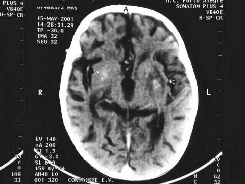
CT scan demonstrating bilateral lesions in the basal nuclei: less dense areas, with central dense areas, compatible with Toxoplasmosis or other parasitic lesions. The one at the left side is larger and more obvious.

Hosted by www.Geocities.ws

1