Drs. Prolla and Diehl's INTERESTING CASE OF THE MONTH May 2002 Case B
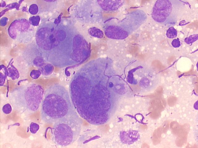
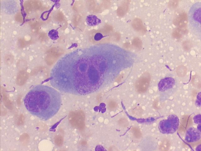
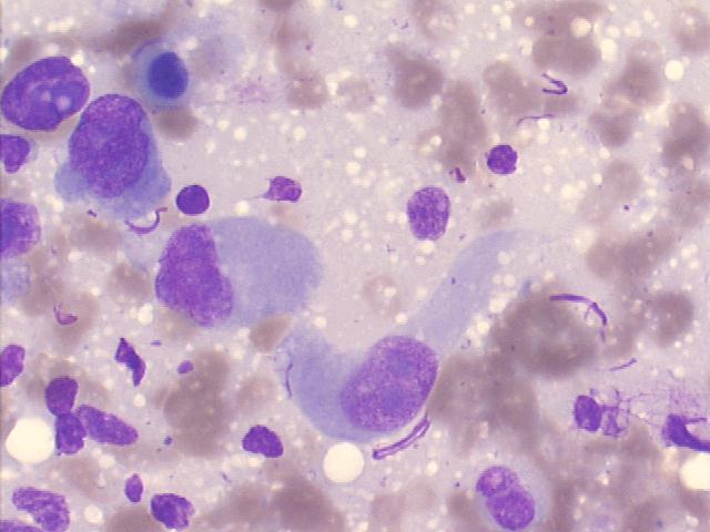
FNA of large left sided thoracic mass of 49-year old female

500x M-G-G staining

500x M-G-G staining

500x M-G-G staining

500x Papanicolaou staining

Click here for the X-Ray studies




Click here to see also Case A
Case of the month answer Santa Casa de Misericordia de Porto Alegre - Listen to H.Bunji rendering of Mozart's Sonata in G K283




Best seen on 1024x768x16M resolution - After complete downloading of the pictures, and while you think listen to H.Bunji playing Mozart's Sonata in G K283, by clicking on the picture of the Santa Casa de Misericordia de Porto Alegre.


Hosted by www.Geocities.ws

1