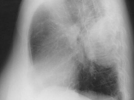
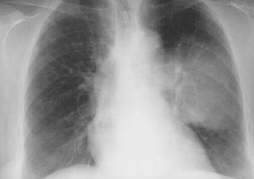
AP viewleft lateral view
Chest X-Ray demonstrating 10.0x6.0 cm mass in Left lower lobe, apical segment.

To see the chest CT studies click on the right pointing arrow
Hosted by www.Geocities.ws

1