..
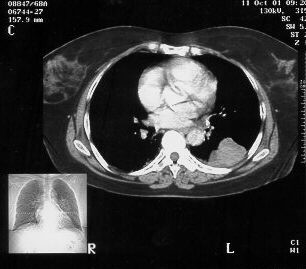
Chest CT demonstrating the 10.0cm x 6.0cm mass in Left lower lobe, apical segment, with pleural involvement.

Hosted by www.Geocities.ws

1