FNA of thoracic mass: lung fibrosarcoma


Drs. Prolla and Diehl's INTERESTING CASE OF THE MONTH May 2002 case B

500x M-G-G staining anaplastic fiber cell

500x M-G-G staining

500x M-G-G staining

500x Papanicolaou staining

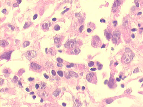
500x H&E staining

500x H&E staining

500x H&E staining

FNA cytology: many disperse dyscohesive anaplastic cells, several of them cigar-shaped; large bore needle biopsy reveals at H&E staining a fibrosarcoma with scant stroma. An extensive search for a primary tumor elsewhere in the body failed to find one. At definitive surgery, confirmation of the diagnosis, and immunohistochemical studies were ordered for final histological diagnosis, the differential diagnosis including monophasic synovial sarcoma, leiomyosarcoma, angiosarcoma, and neurofibrosarcoma. Immunohistochemistry was positive for vimentin, and negative for keratins, desmin, S100 protein, alpha-smooth muscle actin, CD31, and CD34.



Features of Lung fibrosarcoma

Cellular patterns:
Variable number of isolated or loosely clustered spindle cells
Variable number of isolated round large cells
Occasionally metachromatic collagenous stroma may be found
Cytoplasm:
Tapered, bipolar or unipolar cytoplasm
Nucleus
Oval or spindle nuclei, with variable pleomorphism
Finely granular chromatin pattern
Mitotic figures in variable numbersPhenotypic Markers
Routinely express only Vimentin









References
List of cases
Atlas
Hosted by www.Geocities.ws

1