Cat Scans (2)
The patient above demonstrated clinical recirculation.  The intraoperative picture is located on another page.  The natural ostia are visualized in the first scan, and the large, though ineffective, iatrogenic ostia are seen in the second scan.
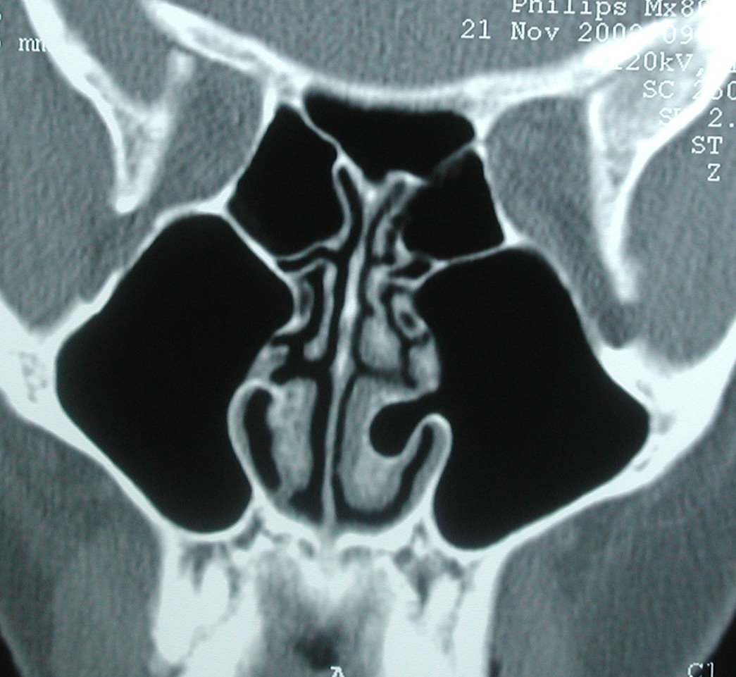
This patient has a unique CT: unilateral sinus disease.  This could have been due to a tumor, foreign body, or fungal disease.
Return to start
This patient has a fascinating finding: a concha bullosa of the inferior turbinate.  It is hard to explain how this occurred embryologically, as the IT is a separate bone from the maxilla containing the sinus.e
On to CT page # 3
Hosted by www.Geocities.ws

1