-
Lógicamente
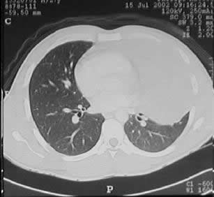
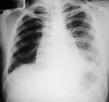
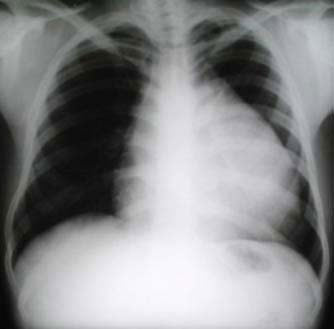
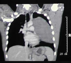
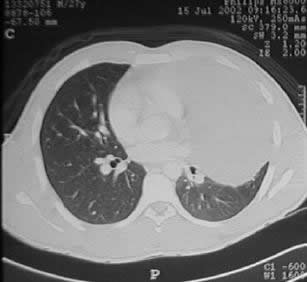
nos encontramos ante una verdadera situación de emergencia oncológica,
un paciente joven, con un gran tumor del mediastino anterosuperior de rápido
crecimiento, correlacionando su tamaño entre la radiografía
del tórax y los hallazgos tomográficos realizado 15 días
después, y las condiciones físicas al momento de su intervención,
con gran dificultad respiratoria.
-
Las experiencias
estadísticas demuestran que el linfoma es la primera posibilidad
diagnóstica a descartar, pudiendo tratarse también de un
timoma o de cualquier otra etiología de los tumores mediastinales
antero - superiores, luego de haber practicado una punción biopsia
por aspiración transtorácica 5 días antes, con resultado
no concluyentes, la toracotomía exploradora para biopsia incisional
era el método mas eficaz para la toma de una muestra suficiente
para su estudio histológico.
-
Las características
macroscópicas y los hallazgos a la toracotomía mostraron
un tumor sólido bien limitado, de aspecto muy fibrótico,
con verdaderos planos de clivaje para su disección, sin adenopatias
satelites, ni invasión de estructuras vitales, que a pesar de su
gran tamaño me ganó la idea de practicar una resección
total, la cual asumí con paciencia y determinación.
-
Un verdadero pedículo
mediastinal fijo al lado contrario, imposible de abordar desde la toracotomía,
me obligó a practicar esternotomia media longitudinal para completar
su disección, aunque hubo que realizar resección parcial
del tronco venoso braquiocefálico y resección del nervio
frénico izquierdo para completar la resección. Con resultados
quirúrgicos pos operatorios por demás satisfactorios. un
ligero aumento de volumen del miembro superior izquierdo que en dos semanas
desapareció.
-
El paciente actualmente
se recupera de su intervención, totalmente eupneico y ahora de nuevo
puede dormir acostado, a 15 días de su intervención.
-
Diagnóstico
Histopatológico definitivo: Linfoma
de Hodking Nodular esclerosante tipo I
Imprima artículo
|