Casos Interesantes...

Teratoma Maduro Mediastinal


Hospital
Dr. "Domingo Luciani "

Se presenta un caso de teratoma maduro del mediastino, conteniendo numerosos tipos de tejidos, en paciente femenina de 37 años, como hallazgo radiológico en estudios por otro motivo hace 5 años y tras ese periodo de observación con procedimientos no invasivos en otro centro hospitalario, sin diagnostico definitivo, presenta dolor torácico punzante u opresivo y disnea y tos a los esfuerzos desde hace 8 meses. motivo por el que consulta a cirugía del tórax de nuestro hospital, donde se decide su ingreso para resección quirúrgica. Los estudios respectivos radiológicos, de Tomografía simple y con contraste arterial, los hallazgos a la intervención quirúrgica y comentarios sobre el tema son presentados.
Junio del 2012.

Dr. Rubén Henríquez A. - Dra. Lilian Alves - Dr. Adrián León Castillo - Dra. Natalia Fandiño Reyes

Paciente | Radiología Tórax | Tomografía Tórax | Tomografía con Contraste | Intervención | Discusión
 

El Paciente


  • Paciente femenino de 37 años que acude a nuestro hospital, para evaluación y tratamiento por cirugía del tórax, al presentar tumor mediastinal anterior y del lado derecho del tórax, como hallazgo radiológico , en estudios motivados a patología ginecológica hace cinco años.
  • En esa oportunidad recurrió a hospital especializado donde realizan además de estudios ambulatorios para diagnóstico de hongos, tbc, etc., una punción  tras torácica con aguja fina bajo control   Tomográfico reportando la citología como benigna, y optaron por una conducta conservadora con controles radiológicos a pesar de no precisar un diagnóstico definitivo.
  • Actualmente por presentar dolor punzante en hemitorax derecho y sensación de opresión torácica ocasionales, tos y disnea al realizar moderado ejercicio físico en los últimos 8 meses, consulta a este centro hospitalario, donde decido su hospitalización con el diagnóstico de tumor del mediastino anterior, para su resección quirúrgica y biopsia para diagnóstico definitivo.


  • Radiología del Tórax


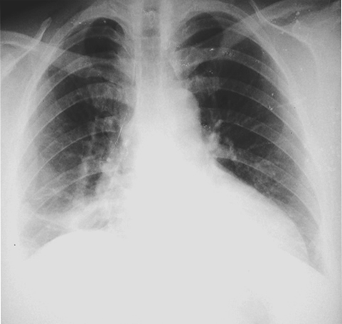
    Teratoma mediastino, Radiografia PA de Ingreso Teratoma mediastino, Radiografia lateral de Ingreso
    Rx. Tórax PA: al momento del Ingreso. Una radiopacidad homogénea densa, redondeada, en hemitorax derecho, para cardiaca, bien limitada, rodeada por parenquima pulmonar sano y no esta adherida al diafragma ni al seno costofrénico derecho el cual se observa libre, pareciendo formar parte con la silueta cardiaca y la altera de manera, como si de una cardiomegalia se tratase. No hay derrame pleural y la conformación de la caja torácica se observa dentro de la normalidad. En la Imagen lateral puede observarse la pared del tumor como una delgada cápsula redondeada superpuesta sobre la silueta cardiaca.


    Tomografía Computarizada Tórax

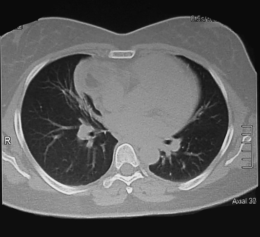
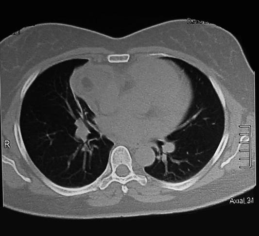
    tomografia Corte Axial 31 ventana pulmonar
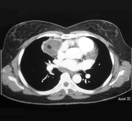
    tomografia Corte Axial 32 ventana pulmonar
    Corte Axial en hileo pulmonar
    La lesión con forma de pera, encapsulada y densidad heterogénea, su parte mas amplia para cardiaca derecha ocupa el ángulo pleuropericardico anterior y el cuello posterior de la lesión en relación con el seno de la arteria pulmonar y la vena cava superior.
    El seno cardiofrenico esta libre y sin derrame pleural.
    Corte Axial debajo de los hileos

    Un corte axial mas bajo al precedente: la lesión en su mayor diámetro, en relación adosada con la aurícula derecha y el cono aórtico, parece comprimir el parenquima pulmonar ocasionando atelectasia laminar.
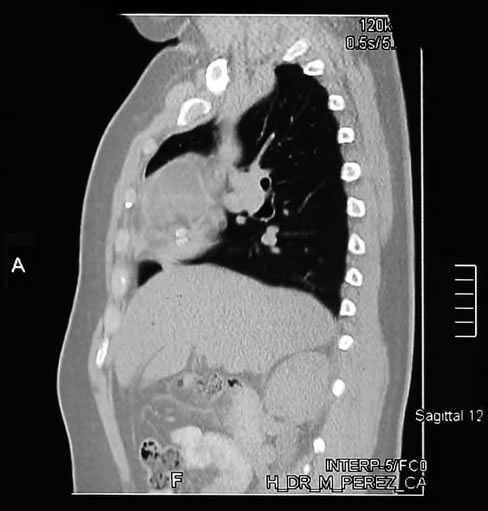
    Tomografia Corte Sagital l2 hileo pulmonar derecho
    Tomografia Corte Sagital l2 vena cava superior
    Corte Sagital hileo pulmonar derecho
    La misma imagen o corte superior demuestra que la lesión es encapsulada de contenido  heterogéneo y con  nódulo calcificado en su interior, demuestra su relación a los vasos del hileo pulmonar derecho posterior sin invadirlos.
     
    Corte Sagital vena cava superior
    El mismo corte sagital a nivel de la cava superior, demuestra la imagen en su mayor diámetro, de contenido solido, por su cápsula de aspecto brillante sin trabéculas ni tabiques en su interior.
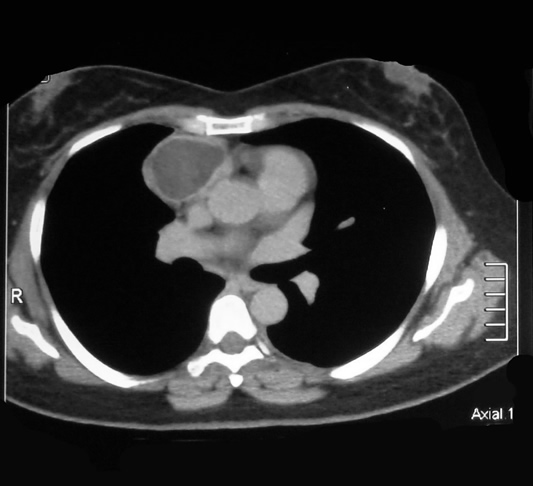
    Corte tomografico 01
    Corte tomografico 02
    Corte Tomográfico ventana Mediastinal
    Sección transversal a la altura del cono aórtico
    Lesión capsulada de contenido homogéneo, redondeada, bien limitada, y en relación anterior a la vena pulmonar derecha, la vena cava superior y el cono aórtico, ocupando el seno costomediastinico anterior del hemitorax derecho.
    El resto de la imagen de aspecto normal.
    Corte Tomográfico ventana Mediastinal
    Sección transversal, a la altura de la aurícula derecha:

    Lesión por delante del cono aórtico y en relación sobre la aurícula derecha y el cono , aórtico mantiene las características descritas además de una zona traslúcida en su interior.

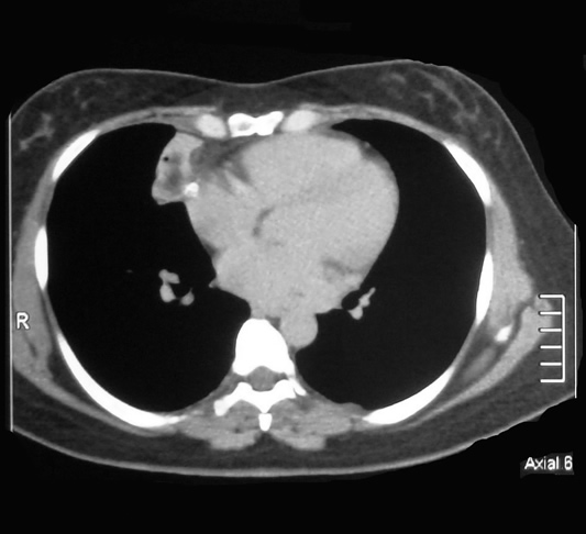
    Corte Tomografico 06
    Corte Tomografico 07
    Corte Tomográfico ventana Mediastinal
    Sección transversal mas bajo, a nivel para cardiaco

    La lesión redondeada en su menor diámetro, anterior a la  aurícula derecha, su forma se adapta al continente, hay un nódulo calcificado en el interior de la lesión.
    Corte Tomográfico ventana Mediastinal
    Sección transversal mas inferior a la altura del cardias:

    El corazón mantiene su conformación bien limitado.

    la lesión en su menor dimensión se sitúa adosada al lado derecho del cardias.



    Tomografía del Tórax con Contraste

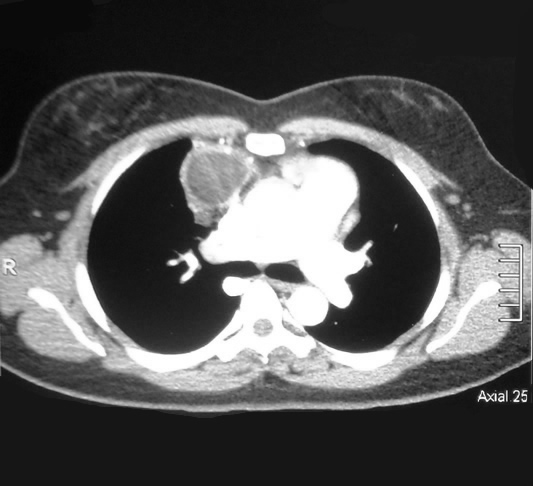
    tomografia Corte axial 25
    tomografia Corte axial 30
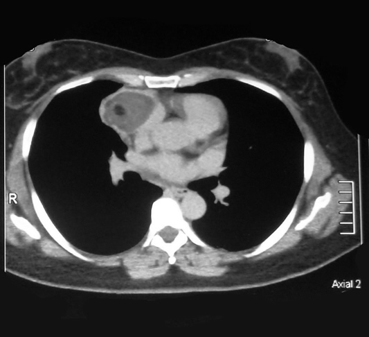
    Corte Axial nivel carina bronquial
    Corte Mediastinal a la altura de la carina.
    Lesión redondeada por delante de aorta ascendente de aspecto homogéneo bien limitada, su cápsula es brillante y bien vascularizada.
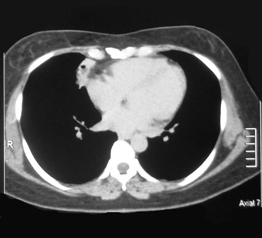
    Corte Axial nivel hileo pulmonar
    Corte Mediastinal a nivel hileo pulmonar.
    Lesión redondeada por delante de la aorta y a su derecha la vena pulmonar. contacta con la pared torácica anterior si alterarla.



    Abordaje por Toracotomía derecha

    Para tener una amplia exposición del tumor en su relación Mediastinal, se abordó mediante una incisión de toracotomía derecha posterolateral, a la exposición del mediastino observamos un tumor de unos 10 cms, de diámetro por unos 6 cms de espesor, aspecto lobulado, superficie fibrosa muy vascularizada, y engrosada, su extremo anterior adherido ó involucrado al segmento lingular inferior del lóbulo medio el cual se reseco, le proveía de amplia vascularidad; en su pared interna adosado al pericardio sin invadirlo y en su extremo posterior, adosado al hileo pulmonar mediante  disección mixta, se logro liberar de la arteria pulmonar derecha quien le aportaba alguna vascularidad, de la cava superior en la que discurría el nervio frénico derecho y en el lado derecho de la aorta ascendente y por su limite inferior del pericardio auricular. constatada la hemostasia, Se colocó un drenaje torácico por contrabertura para drenaje y expansión pulmonar y procedimos a la síntesis por planos de la manera usual.

    Luego de la segmentectomia del lingular inferior
    el lecho posterior del tumor luego de su reseccion
    Fotografía A:  la exposición del mediastino desde Toracotomía postero lateral derecha, en la foto: la cabeza del paciente va situada arriba, el frente del paciente a la derecha y el dorso a la izquierda.

    T.- el Tumor mediastino con punto de seda para manipulación, luego de la disección y resección del segmento lingular inferior del lóbulo medio,
    P.- el pulmón derecho separado por las valvas S1 y S2.
    pe - el pericardio auricular.
    MS - Músculo serrato anterior de la pared costal,
    S3 - valva separando la aorta ascendente para exposición fotográfica de la lesión
    Fotografía B: igual orientación de la lamina: el lecho del tumor de mediastino ya resecado, deja ver los elementos vasculares con que estaba relacionado, los hilos negros son seda 40 ligadura de pequeños vasos.

    C.- la Vena Cava superior con su nervio frénico derecho en el punto de la aurícula derecha.
    A.- el cono ascendente de la arteria aorta.
    pe - el pericardio auricular.
    P - el pulmón derecho separado por la mano del cirujano M - cuyo dedo superior esta sobre la vena pulmonar derecha a nivel del hileo pulmonar.
    MS - el músculo serrato de la pared costal.

    El reporte de Anatomía Patológica

    Tumor de Mediastino Teratoma Maduro y Atelectasia Pulmonar:
  • Lesión quística y solida, de paredes gruesas fibrosas, formado por múltiples tejidos, epidermis con hiperqueratosis, glándulas sebáceas, glándulas sudoríparas, tejido respiratorio,  folículos linfáticos con tejido conectivo fibroso, tejido adiposo, infiltrado linfo-plasmo-histiocitario con células gigantes de cuerpo extraño, proliferación y congestión vascular, sin atipias. el Pulmón con colapso de alveolos, infiltrado linfocitario peri bronquial y nódulo calcificado.


  • El tumor resecado
    El tumor resecado
    El tumor resecado

    El tumor del mediastino resecado

    Macroscópicamente, la lesión mide 10 X 9 X 6 cms, superficie irregular pardo clara, al corte de la lesión se evidencia que es encapsulada, ,heterogénea con áreas amarillentas solidas y áreas de contenido amarillento grumoso, otras de aspecto purulento y de consistencia blanda.



     

    Radiología del Tórax Pos - operatorio

    Radiología 5to día Pos - operatorio, a su egreso: 
    Pulmón derecho expandido, con atelectasia laminar basal .
    senos costofrénicos libres.
    Imagen cardiovascular normal.
    Rx Post operatorio 5to dia


     Comentarios:

  • Los teratomas, Seminomas y tumores no seminomatosos forman un grupo heterogéneo de neoplasias benignas y malignas que se originan de células germinales primitivas, colocadas en un sitio erróneo durante la embriogénesis temprana, y el mediastino anterosuperior es el sitio mas frecuente de tumores ,extra gonadales representan el 03 al 12% de los tumores del mediastino.
  • Los Teratomas maduros, son tumores benignos, no tienen diferencia entre sexos, son descubiertos entre la 2da y 3ra década de la vida, La variedad Teratoma maligno o teratocarcinoma es mas frecuente en hombres.
  • El Teratoma maduro es el tumor mas común de los germinales del mediastino, es un tumor capsulado con áreas quisticas y solidas, puede contener tejido ectodermico como piel, pelos, dientes, tejido mesodermico como hueso, cartílago,  hasta tejidos endodermicos como pulmón, páncreas o tejido intestinal, tiene una incidencia de 60 a 70 casos de tumores germinales mediastinales.
  • Cuando su contenido pancreático o intestinal presenta secreciones o enzimas puede   ocasionar su ruptura en bronquios, pleura, pericardio o pulmón, se ha descrito la tricoptisis en su ruptura pulmonar.
  • Suelen ser quistes multiloculares o uniloculares con contenido graso o lipidico.
  • Su localización mas frecuente mediastino anterior en un 90 de los casos, ocupan el ángulo cardiofrenico derecho, aunque puede presentarse en localizaciones menos comunes, como son el ángulo cardiofrenico izquierdo,  paratraqueal derecha, el hileo pulmonar derecho (como en nuestro caso) o en el mediastino a nivel de la ventana aortica..
  • Como en la  mayoría de los tumores torácicos suelen ser un hallazgo casual en la radiografía de tórax o una eco cardiografía practicada por otros motivo. Cuando producen síntomas, estos se deben a la ocupación de espacio (disnea, dolor torácico, tos, arritmias) o bien por complicaciones graves del propio tumor como son infección, hemorragia o ruptura del tumor en pleura, pericardio, bronquio o pulmón.
  • Se debe hacer el diagnostico diferencial con la grasa pericardica, los lipomas, los timomas, quistes de paratiroides y tiroides, los angiomas, los neurinomas, los sarcomas, los linfomas, el quiste broncogenico, el quiste Pericárdico, las metástasis, las lesiones granulomatosas y los abscesos, los aneurismas del seno de Valsalva y ventriculares, las dilataciones de la aurícula derecha o de la vena cava inferior, la hernia de Morgagni y con el aneurisma de aorta
  •  La Tomografía torácica simple ( TAC ) y con contraste vascular, suele ser suficiente para sospechar el dignóstico y mostrar las relaciones del tumor con las estructuras vecinas, de gran ayuda para el cirujano para programar el abordaje y resecabilidad.
  • Otros estudios como la eco cardiografia bidimensional y la resonancia nuclear magnética (RNM). La RNM aunque posee buena precisión para la visualización del tumor y la naturaleza de su contenido y sus relaciones en el mediastino, no aporta mayores datos que la TAC. La eco cardiografia trans esofágica nos puede mostrar su localización. Si se localiza en un sitio poco común, puede requerir la utilización de una angiografía para diferenciarlo del aneurisma. La obtención de  imágenes previas del paciente, nos pueden servir para saber si ha modificado sus características.
  • La biopsia por aspiración percutánea guiada por ecografía o TAC (sugerible en pacientes de alto riesgo quirúrgico) puede arrojar valores benignos o malignos, rara vez diagnostica la lesión y no es necesaria para el cirujano para decidir la conducta quirúrgica..
  • El diagnóstico definitivo se establece con la resección quirúrgica, variando el abordaje según el tamaño, ubicación y la experiencia del cirujano con cada vía. Los tumores pequeños y medianos unilaterales pueden resecarse por toracotomía posterolateral, axilar vertical o anterior, incluso por cirugía video asistida. Los tumores mediales, con desarrollo bilateral, deben ser abordados por esternotomía vertical u horizontal.
  •  La resección,  generalmente simple y completa, es curativa en el 100% de los casos, en oportunidades la pared del teratoma podría estar firmemente adherida a estructuras vecinas como el pericardio, pulmón, grandes vasos, diafragma, traquea, etc. agregando cierto riesgo a la resección,  pudiendo el cirujano dejar algún resto de la cápsula, que normalmente no implica causa de recidiva local.
  • Entonces la resección es el único procedimiento que permite el diagnóstico anatomo patológico de certeza y la eliminación definitiva del tumor, la conducta expectante y control radiológico no tiene lugar ni justificación ante la presencia de un tumor , mediastinal que aun siendo benigno tiene complicaciones y graves, la malignizacion de un teratoma quistico es aun mas rara, pudiese ocurrir en cualquier momento con una incidencia de malignizacion de 1 al 4% .




  • .- Referencias:

  • El Tórax quirúrgico: Victor Armand Ugon, Editorial Libertad, Uruguay 1938, 415 páginas, Capítulo 12, Tumores del mediastino; pags 359 - 384
  • Tumores Germinales del Mediastino www.sact.org.ar Sociedad Argentina Cirugia toracica, ultima visita junio 2012
  • Teratoma mediastinal www.radiopaedia.org: ultima visita junio 2012
  • Imaging of Cystic Masses of the Mediastinum, Mediastinum. Mi-Young Jeung, MD et al. http://radiographics.rsna.org
  • Teratoma Quistico Maduro. Ana Lucia Rivera y Cols, Presentacion de un caso Revista Colombiana de Neumologia, Vol 16, N 4, Pag 245 - 247
  • A case of mediastinal teratoma presenting as a cystic lesion on chest wall. SOYSAL et al., University of Malatya:, Eastern Journal of Medicine 3 (1): 32-33, 1998
  • Tumor de mediastino anterior en un paciente varón de 28 años, Gabriel Salinas Cisneros y Cols, Rev Horiz Med : Volumen 12(1), Enero - Marzo 2012.
  • Intrapulmonar Teratoma maduro. Monika lamba Saini MD y cols. BioMed Central , Instituto de Oncología, Bangalore, India. Diagnostic Pathology, 2006; 1: 38-38
  • Teratoma Mediastinal Maduro. Kathleen H. Moeller et al, American Roentgen Ray Society Department of Radiology, NationalNaval Medical Center, AJR:169, October 1997
  • Mediastinal Mature Teratoma With Rupture Into Pleural Cavity. Masahisa Miyazawa, MD et al., Department of Thoracic Surgery, Kofu Municipal Hospital, Japan.:, Ann Thorac Surg 2012;93:990-992
  • Mediastinal Teratoma With Pulmonary Involvement Presenting as Massive Hemoptysis, Robert Fu-Chean Chen MD et al, Medical University, Taipei, Taiwan. : Respiratory Care, August 2010 Vol. 55 No 8.

  • Paciente | Radiología Tórax | Tomografía Tórax | Tomografia con Contraste | Intervención | Discusión

    Rubén Henríquez Homepage
    | Página Principal | Imágenes familiares | Actividades Médicas | Pósters | Casos Interesantes |
    | Imágenes Médicas | Trabajos de Investigación | Conexiones | Informaciones |