Casos Interesantes...

Quiste Pericardico Derecho


Hospital
Dr. "Domingo Luciani "

Se presenta un caso de Quiste pericárdico derecho, conteniendo liquido amarillo citrino, en paciente femenina de 46 años, como hallazgo radiológico en estudios por otro motivo y en su anamnesis clínica sufría de ocasional dolor torácico opresivo y disnea a los esfuerzos. Los estudios respectivos radiológicos, de tomografias y resonancia magnética, los hallazgos a la intervención quirúrgica y comentarios sobre el tema son presentados.
Abril del 2012.

Dr. Rubén Henríquez A. - Dr. Justo López.

Paciente | Radiología Tórax | Tomografía Tórax | Resonancia Magnetica | Intervención | Discusión
 

El Paciente


  • Paciente femenino de 46 años que acude a nuestro hospital, para evaluación y tratamiento por cirugía del tórax, al presentar tumor pulmonar derecho, como un hallazgo radiológico del tórax, en estudios de rutina motivados a patología ginecológica.
  • Es de notar que la paciente presentaba al interrogatorio sistemático, dolor punzante en hemitorax derecho, ocasionales y sensación de opresión torácica y disnea al realizar moderados ejercicios físicos.
  • Se decide su hospitalización con el diagnóstico de Quiste Pericárdico derecho sintomático, para su resección quirúrgica.

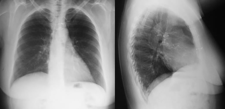
  • Radiología del Tórax


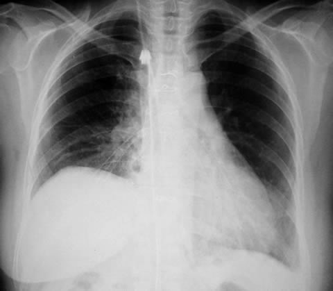
    Quiste pericardico, Radiografia de Ingreso
    Rx. Tórax al momento de Ingreso. Una radiopacidad homogénea densa, redondeada, en hemitorax derecho; de base en cara medial mediastinica con la silueta cardiaca y convexa en su cara externa derecha, rodeada por parenquima pulmonar sano y no esta adherida al diafragma ni al seno costofrénico derecho el cual se observa libre, pareciendo formar parte con la silueta cardiaca la altera de manera, como si se tratase de una cardiomegalia, el botón aórtico se aprecia borrado, no hay derrame pleural y la conformación de la caja torácica se observa dentro de la normalidad.


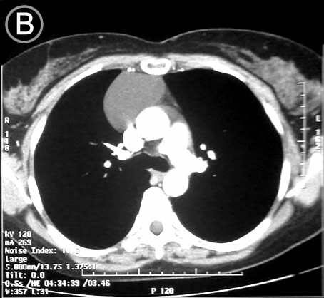
    Tomografía Computarizada Tórax

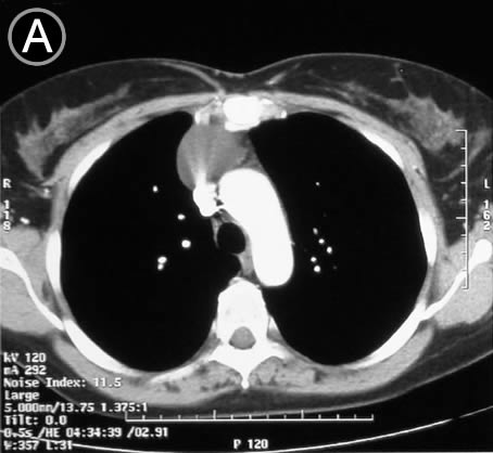
    Corte tomografico A
    Corte tomografico B
    Corte Tomográfico A
    Sección transversal a la altura del cayado aortico
    Lesión homogénea redondeada, bien limitada, anterior al cayado aortico, hacia hemitorax derecho.
    El resto de la imagen de aspecto normal.
    Corte Tomográfico B
    Sección transversal mas bajo, a la altura de la carina traqueal:

    Lesión por delante del cono aortico y de la vena cava superior, mantiene las características descritas.

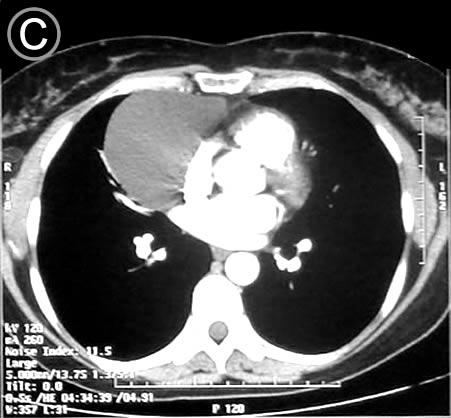
    Corte Tomografico C
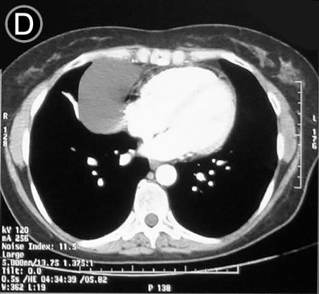
    Corte Tomografico D
    Corte Tomográfico C
    Sección transversal mas bajo, a la altura de los hilios pulmonares y los grandes vasos:
    La lesión redondeada en su mayor diámetro, su forma se adapta al continente, hay compresión discreta del pulmón con atelectasia laminar; destaca la homogeneidad de la lesión.
    Corte Tomográfico D
    Sección transversal mas inferior a la altura del cardias:

    El corazón mantiene su conformación bien limitado.
    la lesión se sitúa adosada al lado derecho del cardias.



    Resonancia Magnética del Tórax

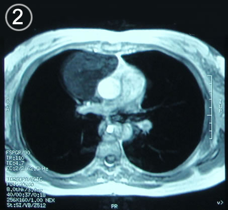
    Resonancia Corte axial 1 cayado
    Resonancia Corte axial 2 Carina
    Corte Axial en secuencia T1
    Corte mediastinico aortico a la altura del cayado.
    a: lesión redondeada por delante de aorta ascendente en su arco, de aspecto homogéneo bien limitada.
    b: El cayado aortico.  t: la traquea
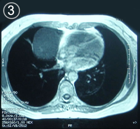
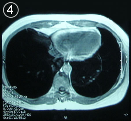
    Corte Axial en secuencia T1
    Corte mediastino sub aortico nivel cono aortico.
    a: lesión redondeada por delante de la aorta y a su derecha la vena pulmonar. contacta con la pared torácica anterior si alterarla.
    b: bronquios derecho e izquierdo.  c: la carina traqueal
    Resonancia Corte axial 3 cardias
    Resonancia Corte axial 4 supra diafragnatico
    Corte Axial en secuencia T1
    Corte mediastinico paracardiaco altura del cardias.
    La lesión homogénea luce solida bien limitada sin trabeculas o septos
    b: cardias  .c: aorta descendente y a su lado derecho el esófago.
    Corte Axial en secuencia T1
    Corte mediastinico paracardiaco.
    Inmediatamente por debajo o distal a la lesión, imagen cardiaca luce un pericardio de aspecto normal.
    la lesión redondeada ya no es visible.
    Resonancia Corte coronal 5
    Resonancia Corte coronal 6
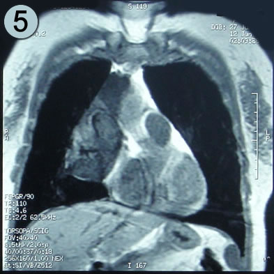
    Corte Coronal en secuencia T1
    La lesión con forma de botella, el cuello de la lesión naciendo en el seno de la arteria pulmonar, su parte mas amplia paracardiaca derecha no llega al ángulo pleuropericardico.
    El seno cardiofrenico esta libre y sin derrame pleural.
    Corte Coronal en secuencia T1

    Un corte coronal mas anterior al precedente: la lesión en su mayor diámetro
    en relación adosada con la aurícula derecha y el cono aortico
    Resonancia Corte Coronal 7
    Resonancia Corte coronal 8
    Corte Coronal en Secuencia T2
    La misma imagen o corte superior número 5, en secuencia T2, demuestra que la lesión es de contenido liquido por su aspecto brillante
    Corte Coronal en secuencia T2
    El mismo corte numero 6, en secuencia t2, demuestra la imagen en su mayor diámetro, de contenido liquido por su aspecto brillante sin trabeculas ni tabiques.


    Abordaje por Esternotomía Media

    Para tener una amplia exposición del quiste en su cara mediastinica, y tratandose de una paciente femenina, se abordó mediante una incisión transversa sub-mamaria con esternotomía media longitudinal, a la exposición del mediastino observamos un tumor de aspecto quistico mediastinico, tenso, la pleura mediastinica lo recubría y estaba en intima relación con su pared que lucia engrosada sobre todo en su parte mas superior y posterior, en la que discurría involucrado el nervio frénico derecho y durante su laboriosa disección, una pequeña fisura en la pared del quiste, nos obligó a aspirar la mayor parte de su contenido, un líquido claro citrino, unos 700 cc aproximadamente, luego resecamos el saco quistico fibroso en su totalidad. Se colocó un drenaje torácico mediastinal por contrabertura para drenaje y expansión pulmonar y procedimos a la síntesis por planos como lo usual.
    Abierta la pleura mediastinica derecha observen el Quiste
    quiste pericardico, mejor expuesto
    Fotografía A:  la exposición del mediastino, la cabeza del paciente situada a la derecha de la foto.

    E.- la mitad derecha del hueso esternal con el separador.
    D.- el músculo diafragma derecho haciendo piso de la cavidad pleural derecha.
    QP- el quiste pleuropericardico, tenso por su contenido, expuesto por la apertura de la pleura mediastinica.

    En pinza el borde de la pleura mediastinica abierta, que en su parte mas cefalica se encontraba en fuerte adhesión con la pared quistica e involucraba al nervio frenico derecho
    Fotografía B:

    E.- la mitad derecha del hueso esternal con el separador reposicionado.
    D.- el músculo diafragma derecho y grasa mediastinal haciendo piso de la cavidad pleural derecha.
    QP- el quiste pericardico, expuesto por mayor apertura de la pleura mediastinica

    Observe al pulmón derecho en sus lóbulos superior y medio, adherencias laxas pleuropulmonares y pleuromediastino que eran mas densas en la parte mas superior en la porción del cuello del quiste pericardico.

    El reporte de Anatomía Patológica

    Quiste mesotelial Simple del mediastino :
  • Lesión Quística, de paredes gruesas fibrosas, revestimiento interno por epitelio simple plano, con discreto infiltrado inflamatorio polimorfo linfo-plasmo-histiocitario, ectasia y congestión vascular, sin atipias.




  •  

    Radiología del Tórax Pos - operatorio

    Radiología Pos - operatorio inmediato: 
    Pulmón derecho expandido, atelectasia laminar basal .
    Elevación del hemi-diafragma derecho.
    Un tubo torácico mediastinico para drenaje de la cavidad pleural.
    Rx Post operatorio inmediato
    Radiología Pos - operatorio tardío: 
    Pulmón derecho e izquierdo expandidos, aireados, senos costofrenicos libres.
    Diafragmas libres.
    Imagen cardiovascular normal.
    Radiografia post operatorio



     Comentarios:

  • El quiste pericardiocelómico se origina en una alteración embriológica de la cavidad celómica o pericardio.
  • Los quistes pericárdicos son raros, habitualmente asintomáticos y su descubrimiento suele ser casual.
  • Tiene una incidencia de 1 por 100.000 casos de tumores. Es el tumor pericárdico benigno mas frecuente, representa el 5% de los tumores del mediastino y el 20% de los tumores de corazón y pericardio.
  • Suelen ser quistes uniloculares, simples, con células mesoteliales de tejido conectivo y con liquido claro citrino, en su interior.
  • Comúnmente observados en la tercera o cuarta décadas de la vida, sin diferencia entre sexos..
  • Su localización mas frecuente es en el ángulo cardiofrenico derecho, aunque puede presentarse en localizaciones menos comunes, como son el ángulo cardiofrenico izquierdo, mediastino posterior, paratraqueal derecha, el hilio pulmonar derecho (como en nuestro caso) o en el mediastino a nivel del cayado aortico..
  • Suele ser un hallazgo casual en una radiografía de tórax o una ecocardiografía practicada por otro motivo. Cuando producen síntomas, estos generalmente se deben a la ocupación de espacio (disnea, dolor torácico, tos, arritmias) o por complicaciones del propio quiste como son infección, hemorragia, ruptura del quiste con derrame pleural.
  • Se debe hacer el diagnostico diferencial con la grasa pericardica, los lipomas, los angiomas, los neurinomas, los sarcomas, los linfomas, el carcinoma broncogenico, las metástasis, las lesiones granulomatosas y los abscesos, los aneurismas del seno de Valsalva y ventriculares, las dilataciones de la aurícula derecha o de la vena cava inferior, la hernia de Morgagni y con el aneurisma de aorta.
  • La ecocardiografia bidimensional, la TAC torácica y la resonancia nuclear magnética (RNM). La RNM posee mayor precisión para la visualización del pericardio y la naturaleza del liquido en su interior. La ecocardiografia trans esofágica nos puede mostrar su localización exacta. Si se localiza en un sitio poco común, puede requerir la utilización de una angiografía para diferenciarlo del aneurisma. Si podemos obtener pruebas de imagen previas del paciente, nos pueden servir para saber si el quiste ha modificado sus características.
  • La aspiración percutánea guiada por ecografía o TAC (recomendado para pacientes de alto riesgo quirúrgico) con probabilidades de recidiva.
  • Lo mas recomendado es la resección por una toracotomia lateral o por toracoscopia, extirpando el quiste (aún cuando sea asintomático además permite el diagnóstico anatomopatológico de certeza y la eliminación definitiva de la tumefacción).
  • Si decide realizar una conducta expectante y control del quiste, se debe tener presente que no hay una pautas establecidas sobre la frecuencia de pruebas de imagen en su seguimiento.


  • Click para ver  carrusel de imágenes de la resonancia magnética de este paciente

    .- Referencias:

  • Enfermedades Pericárdico: Atlas de diagnóstico por imagen, Stuart J. Hutchison, Elsevier España, 2010-288 páginas.
  • Pericarditis recurrente secundaria a un quiste pericárdico, www.actapediatrica.com, ultima visita Abril 2012
  • Taponamiento cardíaco por quiste pleuropericárdico con invasión por carcinoma pulmonar, Patricia Mejia Lozano y clbs, Archivos de Bronconeumologia, www.elsevier.es:
  • Quiste pericárdico. Jorge E. Albizzatti, y Colabs. Revista argentina de cardiología:,scielo.org.ar
  • Pericardial cyst: an unusual cause of pneumonia. Wael F Elamin* and Kieran Hannan, Cases Journal:
  • Pericardial cyst. Kochy T et al, Ann Card and anaesth.:, 2008,11:129-30
  • Giant Pericardial Cysts, Case Report., Christopher M. R. Satur et al, Ann Thorac Surg 1996;61:208-210.: Department of Cardiothoracic Surgery, Guy's Hospital, London, United Kingdom

  • Paciente | Radiología Tórax | Tomografía Tórax | Resonancia Magnética | Intervención | Discusión

    Rubén Henríquez Homepage
    | Página Principal | Imágenes familiares | Actividades Médicas | Pósters | Casos Interesantes |
    | Imágenes Médicas | Trabajos de Investigación | Conexiones | Informaciones |