Casos Interesantes...

Quilotórax y Tumor del Mediastino


Hospital Dr. Domingo Luciani - Venezuela

Se presenta un paciente masculino 23 años, ingresa por derrame pleural masivo, posteriormente bilateral, con la conclusión diagnostica, de linfoma de hodgkin, variedad escleronodular, la clínica, radiología, evolucion, hallazgos operatorios, tratamiento y comentarios son realizados. marzo, 15 del 2002.

Paciente | Radiología | Evolucion | Lesiones encontradas | Tratamiento | Comentarios
 
| Dr. Rubén Henríquez A. | Dr. Jesús Arias |

El Paciente

  • Se trata de paciente masculino de 23 años, proveniente de Caracas, quien refiere inicio de su enfermedad en diciembre del 2001, con cuadro clinico de disnea progresiva y debilidad muscular, consulta por emergencia del hospital, donde realizan estudios radiologicos observando derrame pleural masivo izquierdo, la colocacion de un tubo toracico izquierdo dreno 3000 cc de liquido hemorragico, fue hospitalizado para estudio y tratamiento.
  • Durante su hospitalizacion 3000 cc de liquido pleural eran drenados diariamente y tomo un aspecto linfatico.
  • Estudios radiologicos controles demostraron la presencia de lesion de aspecto neoplasico mediastinal, diversos y repetidos procedimientos neumonologicos para diagnostico fueron efectuados con resultados no concluyentes, la realizacion de biopsia por mediastinostomia anterior revelo la etiologia de la lesion. 

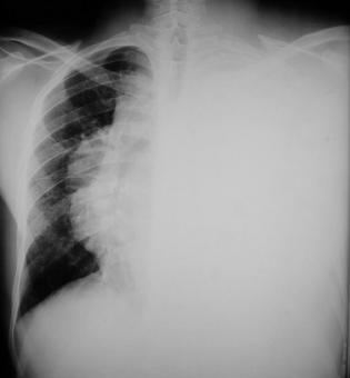
  • Radiología del tórax

    Rx torax PA:
    • Observamos radiopacidad homogénea en hemitorax izquierdo, el cual se aprecia de mayor volumen que el hemitórax derecho,  que produce desviación contralateral de las estructuras mediastinales.
    • En el lado derecho se aprecia la compresion del pulmon por el derrame contralateral y observamos una lesion de aspecto redondeada, mediastinal, heterogénea, no se aprecia derrame pleural derecho
    Rx torax: tumor del pulmon

    Evolucion Clinica

    Drenaje Pleural Izquierdo
    con tubo de tórax.
    Gran cantidad de liquido pleural es drenado diariamente, observe su color blanco rosaceo caracteristico, por el alto contenido de liquido linfatico.

    Broncofibroscopia

    Observe el edema, eritema y congestión de la mucosa traqueal, la estreches de su luz, por la disminución de su diámetro transverso debido a la compresion extrinseca por la lesion mediastinal, la pared mucosa posterior, esofágica de la traquea con aspecto de un canal por la procidencia de los extremos de los anillos traqueales en la luz endotraqueal. Esto impide progresar el endoscopio sin deterioro evidente de la pared traqueal y provocar una asfixia mecanica.


    • Durante su estadia hospitalaria, estudios histo-quimicos del liquido pleural, biopsia de pleura, y la Biopsia excisional de un plastrón ganglionar axilar izquierdo sospechoso en relación con la patologia principal no fueron concluyentes.
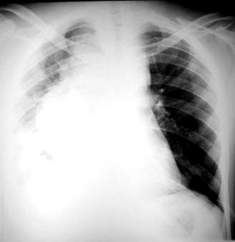
    • Una Radiologia de Tórax control demostró, la presencia de derrame pleural derecho y aumento en tamaño de la masa mediastinal, el tubo de tórax (en la base pulmonar izquierda) drena un quilotorax de 3000 cc diarios,con espacio pleural libre, sin lesiones pulmonares izquierdas visibles.
    • Se planteó el diagnóstico por biopsia directa incisional de la lesión mediastinal.

    Intervención

    • Al abordaje quirúrgico por toracotomía anterior derecha paraesternal, transversal, disección y separacion del plano muscular, reseccion del 3er. cartilago costal y abordaje sub periostico del mediastino.

    Bronquio del lobulo superior en referencias
       Mediastinostomia anterior derecha -
       
    • La esposicion del mediastino, observamos la salida de liquido con caracteristicas similares al del quilotorax contralateral.
    • La presencia del tumor mediastinal, vascularizado, pleomorfico y lobulado.

    Cierre del muñón bronquial
    Mediastinostomia anterior derecha -
     
  • Biopsia inscicional de la masa mediastinica.
  • Se realiza apertura del espacio pleural derecho y se coloca tubo toracico para drenaje de la efusión pleural (quilotorax derecho)

    • Drenaje torácico derecho -

    •    3000 cc de liquido de quilotorax diario se drenaron.
       
    • Drenaje torácico Izquierdo -

    •   Expontaneamente cedio el drenaje de quilotorax izquierdo y el tubo pudo ser retirado.
    Sección del ligamento triangular

    El resultado anatomo-patologico concluyo con el diagnostico de linfoma de hodgkin variedad escleronodular.
    Aun manteniendo un drenaje pleural derecho superior a los 3000 cc diarios, se procedió a practicar pleurodesis con Bleomicina 90 u. intrapleural, y se retiró de inmediato del tubo, cediendo el derrame pleural y confirmado radiologicamente, el paciente pudo ser egresado en tratamiento con radio y quimioterapia ambulatoria por el servicio de oncologia medica y radioterapia.

     Comentarios

    • Quilotórax: esta no rara entidad, es la consecuencia del escape de quilo procedente del conducto torácico hacia la cavidad pleural.
    • Suele ser hallazgo a la necropsia en neonatos muertos por sepsis.
    • Puede verse en neonatos por probable trauma en el canal del parto y otro tanto por complicaciones quirúrgicas de malformaciones congenitas en niños y de la cirugia toracica en adultos.
    • Aunque en una inmensa mayoria no se identifica una causa específica, podemos verlos en relación con traumatismos torácicos y un buen grupo de ellos ocasionados por tumores malignos intratorácicos primarios o metastásicos.
    • Causas menos frecuentes son la linfangiomatosis, las enfermedades pulmonares restrictivas, la trombosis del conducto o de la vena subclavia y la tuberculosis.
    • Personalmente, en relación al campo de mis actividades, los ocasionados por tumores o metástasis mediastinales ocupan la mayoria de los casos en que me he visto involucrado.
    • El tratamiento medico con antibioticoterapia la nutricion oral con dieta pobre en acidos grasos de cadena larga y la nutricion enteral ha disminido la desnutricion en estos pacientes y ha resuelto un gran numero de casos en dos a tres semanas.
    • La ligadura del conducto torácico en la region supra diafragmatica ha sido realizada y esta mas justificada cuando la causa es post operatoria o traumatica.
    • La pleurodesis, tambien ha sido efectuada con muy buenos resultados.
    • La involucion del tumor o adenopatia mediastinica por radio y/o quimioterapia tambien ejerce un valor terapeutico en estos casos.

    •  

       
       
       
       
       

      En la red internet, hay innumerables trabajos sobre quilotorax, sus causas y tratamientos.


    Paciente | Radiología | Evolucion | Lesiones encontradas | Tratamiento | Comentarios

    Con el eterno Agradecimiento a todo el personal del hospital, en especial,.. los del área quirúrgica..., los héroes anónimos, que con su diario y arduo trabajo permiten el alivio de nuestros pacientes..

    Rubén Henríquez Homepage
    | Página Principal | Imágenes familiares | Actividades Médicas | Pósters | Casos Interesantes |
    | Imágenes Médicas | Trabajos de Investigación | Conexiones | Informaciones |

    Creado po Dr. Ruben Henriquez
    1