Casos Interesantes..

Escolar con Miastenia Gravis

Hospital
Dr. "Domingo Luciani "

  • Se presenta un caso de Miastenia Gravis con timoma en paciente escolar de 8 años, estudios de Diagnostico, radiología, tomografía, electromiografía, expirometria, Técnica quirúrgica, hallazgos y comentarios sobre la enfermedad y la timectomía. Junio 06, 2002.

 | Dr. Rubén Henríquez A. | Dr. Jose M. Escobar | Dra. Ninoska Estanga | Dra. Carolina Rondon M |

| Paciente | Radiología | Tomografía | Intervención | Timo resecado | Comentarios |

El Paciente

  • Escolar, masculino, de 8 años, quien manifiesta presentar desde junio del 2000 caidas desde sus pies, además, debilidad y dolores en sus piernas, motivo por el cual fue evaluado y tratado con vitaminas durante mas de un año por especialistas en ortopedia y traumatologia, con relativa "mejoria", continuó afectado de esos sintomas y un año después, en Junio del 2001, refiere episodios de vision borrosa, doble y caida de sus parpados, por lo que es evaluado por oftalmologo quien sospecha el diagnóstico de miastenia gravis, el seguimiento evaluatorio posterior por neuropediatra demostró disminución de la fuerza muscular de sus miembros inferiores, ptosis palpebral y vision borrosa, sintomas habitualmente vespertinos, ocacionales, que han exacerbado en frecuencia e intensidad en los meses posteriores motivo por el que me es referido, se ajusta la dosis terapeutica del medicamento y se propone la timectomia como parte de su tratamiento.
  • Estudios de tomografía del tórax, electromiografía, expirometría y prueba terapeutica con neostigmina, son realizados, concluyendo el diagnóstico de Miastenia Gravis con un Timo aumentado en volumen y demostrado por la tomografia.
  • Luego de 6 meses de tratamiento médico con mestinón®, y a 24 meses de iniciados sus síntomas, sus padres aceptan la intervención quirúrgica propuesta de resección del timo, por su diagnóstico de Miastenia Gravis.

Complementarios

  • 11 - 09 - 2001 : Estudio Neurofisiologico muestra signos sugerentes de trastornos a nivel de la transmisión neuro-muscular del tipo post-sinaptico. no se evidenciaron signos de denervación activa, test de estimulacion repetitiva: caida de la respuesta, posterior al ejercicio voluntario de 2min.
  • 21 - 11 - 2001 : Expirometria  FVC = 93%, FEV1= 91%, FEV1/FVC% = 96, FEF25-75% =86 Funcion pulmonar en parametros normales, relacion FEV1/FVC% sugiere patron restrictivo.
  • 04 - 12 - 2001 : Inmunologicos: Complejo Inmunologico Circulante C/C = 9.52 ug GHA/ml Val. Normal 0 - 7.00; Anticuerpos Antinucleares  = Negativo; Anti cuerpos anti musculo liso = Negativo; Anticuerpos anti Mitocondrias = Negativo; Anticuerpos anti DNA = 28.85 UI/ml, Val.Negativo; Anticuerpos anti tiroideos microsomales = 6.85 UI/ml, Val. Negativo.
  • 24 - 12 - 2001 : AC. Anti-receptor de Acetil-colina Mayor de 3.0 nmol/litro - Valor referencia menor de 0.25 nmol/litro.
  • Resto de exámenes rutinarios y pre-operatorios de laboratorio, hematologicos, serologicos, orinas y heces en limites normales.

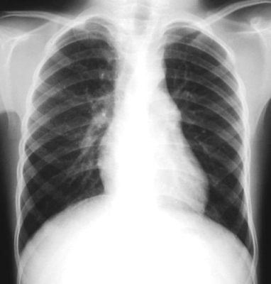
Radiografía del tórax

Radiologia PA Pre-operatoria
Rx. Torax PA. Radiotransparencia conservada en ambos campos pulmonares, sin infiltrados parenquimatosos, hileo y patrón de flujo pulmonar normal, senos costo y cardio-diafragmaticos libres, silueta cardio-mediastinica en posicion y morfologia normal aunque puede notarse el boton aortico borroso, mal definido; El esqueleto y partes blandas sin alteraciones.

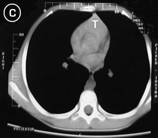
Tomografía torácica

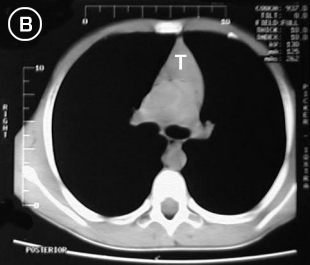
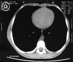
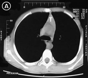
Tomografia A Tomografia B
Estudio tomografico milimetrico, progresivo desde el vértice hasta bases pulmonares, en donde no se apreciaron procesos pleuro-parenquimatosos; Mediastino sin adenopatías; En los cortes pretraqueales (A) y (B) se aprecia imagen de densidad de partes blandas en correlacion con probable timo hiperplasico y/o timoma, extendiendose distalmente anterior a los grandes vasos (C), observese su ausencia en el corte precordial inferior (D), donde apreciamos una silueta cardiaca de morfologia conservada, las bases pulmonares y el hemi-abdomen superior no mostraron alteraciones.
Tomografia C Tomografia D

Intervención

Incision longitudinal medio esternal
Decúbito supino, Incisión mediana longitudinal para  esternotomía media longitudinal.

Liberación del xifoides, sección de ligamentos del manubrio esternal, entonces se procede a la disección retroesternal digital y escisión longitudinal cefalocaudal del hueso esternal.
Se rechazan ambas pleuras mediastínicas y se coloca el separador esternal de finochetto.
Explorando Mediastino

Diseccion del timo
La disección cortante del timo desde su lóbulo inferior derecho, Se abordó la cavidad pleural derecha por encontrar un lóbulo derecho timico sumamente adherido a la pleura mediastinica.
Tambien, una prolongación de tejido tímico se encontraba cerca de la ventana aortopulmonar y se disecaron los segmentos cervicales.
Observamos en pinza, la vena timica derecha previo a su ligadura y sección.

Liberada la gládula timica, de sus lóbulos mediastinicos y de sus prolongaciones cervicales, observamos en pinza la vena tímica izquierda previa a su ligadura y seccion.
Ligadura y seccion venas timicas

El timo resecado
Timo, de 15 cms de longitud, con 13 cm de amplitud, entre 3 y 5 cms de espesor, mas un prolongado segmento cervical, no observamos nodulos aislados o supernumerarios ni tejido timico aberrante o ectópicos. Todo el material resecado se envió para análisis anatomo-patológico.
El Timo Resecado
El timo resecado, de aspecto grueso y grande como descrito, (P) prolongacion timica que se extendia hasta el cuello, (C) las porciones cervicales de los lobulos timico derecho (D) e izquierdo ( I ), sus prolongaciones hileares pulmonares (H), la del lado izquierdo se extendia muy cerca del nervio frenico; y por ultimo (M) las porciones mediastinicas de ambos lobulos. La escala inferior en cms, nos muestra sus dimensiones.


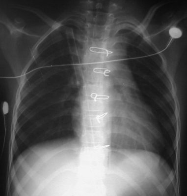
Rx Torax AP. Post operatorio 24 horas, unidad de Terapia Intensiva Pediatrica, paciente extubado, electrodos de monitoreo cardiaco, tubo drenaje toracico a trampa de agua, mediastinal, insinuado en cavidad pleural derecha, esteriorizado sub sifoideo, 5 anillos de sutura de alambre de acero de osteosintesis esternal, imagenes pulmonares de aspecto normal, espandidos, sin colecciones costo-cardiodiafragmatica, imagen o silueta cardiomediastinal de aspecto normal. 
Rx Post-operatoria

Comentarios

      Sobre la Miastenia Gravis
  • Enfermedad autoinmune de etiología desconocida caracterizada por una alteración en la placa motriz neuromuscular, a este nivel los receptores colinergicos se encuentran alterados por anticuerpos que compiten, bloquean o inactivan la acetilcolina, entorpeciendo la transmisión neuromuscular.
  • Los anticuerpos responsables de esta enfermedad son producidos por los linfocitos T, a nivel del tejido timico.
  • Esta glándula normalmente presente durante la infancia, involuciona y solo restos fibróticos son vestigios de su existencia en los seres adultos, se ha demostrado su activa responsabilidad en los pacientes con Miastenia Gravis. Dos tipos de miastenia gravis son descritas: 
    • La Miastenia Ocular.
    • La Miastenia generalizada.
  • Segun Osserman la clasifica en cinco niveles
    • Tipo I (Ocular).
    • Tipo II ( IIa = Generalizada leve y IIb = Moderada).
    • Tipo III (Generalizada Aguda fulminante).
    • Tipo IV (Generalizada Tardia Severa).
  • Sintomas de diplopia, vision borrosa, ptosis palpebral, disminución de la fuerza muscular con predomonio de la cintura pelvica y escapular son comunes en los pacientes, las complicaciones pulmonares son frecuentes, caracterizadas por atelectasia, infección respiratoria y neumonias consecuencia de la hipoventilación pulmonar y cuando existen requieren de hospitalización, asistencia ventilatoria y cuidados especiales a fin de tratar las complicaciones y ajustar la dosis del tratamiento para controlar la enfermedad.
  • El Diagnóstico de Miastenia Gravis en niños infantes y escolares es sumamente dificil, por ser una enfermedad por demas infrecuente, y mas presente en  jovenes y adultos, ocurre en episodios de crisis de exacerbacion de los sintomas y son dificil de apreciar en estos pacientes, por su obvia dificultad de expresión, ateniendose a la interpretación de los mismos por sus padres o personas allegadas.
  • En la actualidad tambien se ofrecen otros recursos terapéuticos, ademas del empleo de esteroides, existen tratamientos con inmunosupresores, inmunoterapias, plasmaféresis, estos últimos muy costosos, menos accesibles y mas bién, utilizados para potenciar o coadyuvar los efectos de la timectomia.
  • La timectomia, por sí, no es la normativa para erradicar o curar la Miastenia Gravis, pero proporciona un mayor control de la enfermedad, disminucion de la dosis terapéutica para sus síntomas, y es la que ofrece un mayor porcentaje de remisión cuando es efectuada en los 3 primeros años de iniciado los sintomas, sus beneficios, suele observarse luego entre los 6 y 12 meses.
  • Alteraciones irreversibles a nivel de la placa motriz ocurren con el tiempo de sufrir la enfermedad y generalmente es la responsable de la persistencia de los sintomas en pacientes tratados "exitosamente" con la timectomía transesternal "radical" en los pacientes con mas de tres años de sufrir esta enfermedad y puede ser demostrado mediante estudios anatopatologicos del tejido muscular estriado o pruebas neurofisiologicas.

      Sobre la técnica Operatoria
  • El momento ideal para efectuar la timectomía es cuando el paciente se encuentre estable, sin complicaciones, el abordaje por excelencia es la via transesternal longitudinal para lograr el acceso a la glándula y los focos de tejido tímico hiperplasicos, aberrantes o peritimicos que puedan estar presentes en la grasa mediastinal y sus vecindades.
  • Anteriormente, se utilizaba la cervicitomia para resecar el tímo, mas luego la cervicotomía con sección del manubrio esternal, ambas con iguales resultados: la remision de la enfermedad ocurria en un bajo porcetaje de los pacientes, y puso en "entredicho" al procedimiento como recurso terapéutico, pero luego se demostraron atribuciones a una resección incompleta de la glándula.
  • Estudios anatomopatológicos efectuados, demostraron la presencia de focos de tejido timico hiperplasico aberrantes que no podían ser bien evaluados y resecados mediante los abordajes cervicales o mixtos, y eran los responsables de la persistencia o recidiva de esta enfermedad en pacientes timectomizados por estos abordajes.
  • Entonces, se optó por la esternotomia media longitudinal esternal, como la mejor via a utilizar para resecar la glándula y toda la grasa peritímica o mediastinal sospechosa de presentar focos aberrantes y mediante esta técnica se ha logrado un mayor porcentaje de remisión de la enfermedad.
  • La incisión longitudinal habitual de esternotomia deja una cicatriz expuesta a la vista y con tendencia a formar queloides, entonces algunos cirujanos realizan un abordaje externo submamario o transverso con resultados mas estéticos en los pacientes femeninos.
  • Logicamente una incision longitudinal expone mas convenientemente la zona timica y los probables nucleos timicos aberrantes responsables desde el cuello hasta la base del diafragma y permite explorar las pleuras mediastinales mas convenientemente, el objetivo primordial, dejando sin lugar el resultado estético; opcionalmente en pacientes femeninos, con un tórax corto puede utilizarse este abordaje transverso con una incisión amplia, que en manos experimentadas logra los mismos objetivos con resultados esteticos aceptables.
  • Un dren aspirativo prepectoral evita colecciones serohemáticas y el drenaje mediastinico puede ser doble o unico, como en el caso aqui expuesto, si las pleuras son abiertas, su extremo puede ser insinuado dentro de la cavidade pleurale, para asegurar la expansión pulmonar y drenar el contenido sero-hematico colectado en el espacio pleural ademas del mediastinal.
Imprima Artículo Imprima articulo

| Paciente | Radiología | Tomografía | Intervención | Timo resecado | Comentarios |

Con el agradecimiento al Hospital "Dr. Domingo Luciani", a sus "pacientes",  familiares y a todos sus empleados por tan grande dedicación, colaboración, atención y en especial al Servicio de Anestesiologia Dra:  Gomez, al Servicio de Pediatria "B", Emergencia Pediatrica, Servicio de Terapia Intensiva Pediatrica, Al Personal de Enfermeria,  Intrumentistas,  Circulantes y al  Servicio de Cirugia III, todos, comprometidos en esta sacrificada pero tan noble profesión.

Rubén Henríquez Homepage
| Página Principal | Imágenes familiares | Actividades Médicas | Pósters | Casos Interesantes |
| Imágenes Médicas | Trabajos de Investigación | Conexiones | Informaciones |

1