Casos Interesantes...

Eventración Diafragmatica


Hospital Dr. Domingo Luciani - Venezuela

Se presenta un lactante menor masculino, de 7 meses de edad, con insuficiencia respiratoria tipo II, posterior a neumonia basal derecha recurrente y dificultad para retirar la ventilación mecánica, la radiologia demostró elevación del diafragma derecho y su evolución inmediata satisfactoria, posterior a la intervención quirúrgica de plicatura del diafragma. Marzo 2004.

Paciente | Radiología | Tecnica propuesta | Internencion | Resultado | Comentarios
 
| Dr. Rubén Henríquez A. | Dra. Skarly Garcia | Dra. Verónica de la Rosa | Dra. Mónica Negretti |

El Paciente

  • Lactante menor masculino de 07 meses, procedente de Caracas, inicia su enfermedad actual hace 20 dias, con neumonía basal derecha e insuficiencia respiratoria, tratado en la Unidad de Terapia pediatrica de nuestra institución, amerito ventilación mecánica asistida y no ha podido extubarse por hipoxia y retención de CO2.
  • Antecedentes de trauma perinatal, presentación podálica y retención de cabeza última y un episodio de neumonia derecha con ventilación mecánica y barotrauma derecho.
  • Estudios radiologicos demuestran mejoria del proceso neumonico y una anormal elevación del diafragma derecho, con dezplazamiento mediastinal contralateral.
  • La revision fluoroscopica del torax con el lactante intubado y en respiracion expontanea durante el estudio, mostró el diafragma derecho elevado y escaso movimiento sincrónico durante la inspiración.

  •  

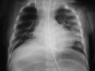
    Radiología del tórax

    • Rx torax PA: Observamos elevacion del diafragma derecho, y leve dezplazamiento izquierdo del mediastino anterior, atelectasia laminar basal derecha.
    Rx torax: eventracion diafragma


     

    Tecnica corrección Propuesta

    Técnica de la plicatura:
    • a- observemos la rx torax con el elevado diafragma derecho.
    • b- la linea amarilla delimita las cavidades pleurales y la linea roja representa al musculo diafragma.
    • c- se crea la plicatura sobre la cupula derecha y se sutura en su base.
    • d- se pliegan las hojas adosadas sobre la superficie del diafragma.
    • e- se fija el borde de la plicatura en el mismo diafragma. resultando una mayor cavidad pleural derecha.
    tecnica de plicatura diafragma


    Intervención

    • El abordaje quirúrgico en decubito lateral izquierdo, por toracotomía posterolateral derecha estandar, a la altura del 5to espacio intercostal, esposición de la cavidad toracica, apreciando los siguientes hallazgos:

    eventracion diafragma
     Figura 1 -
    (Cabeza del paciente flecha en circulo)
    • LPS: Lóbulo superior pulmonar
    • LPM: Lóbulo medio pulmonar
    • LPI:  Lóbulo Inferior hipoplásico
    • D:  Diafragma derecho

    eventracion diafragma
      Figura 2 -
      D: Cúpula diafragmatica prominente y elevada a la altura de espacio T5, de aspecto muscular y puntos de insercion normal. ocupando gran parte de la cavidad pleural

    Figura 3 -
  • Traccionamos la cupula del diafragma a manera de tienda de campaña y diseñamos el tamaño y orientación del pliege a realizar. limitando su longitud mediante puntos de referencia en sus ángulos anterior y posterior
  • eventracion diafragma plicatura

    Figura 4 -
  • Plicatura efectuada. observamos la linea de sutura en puntos colchonero separados en seda 2-0 , diafragma no tenso, mucho mas plano, aumentando el espacio pleural.
  • eventracion diafragma plicatura

    Figura 5 -
  • Concluyendo.. el mayor espacio de la cavidad pleural, que ocupara el pulmon expandido, con la ayuda de un drenaje toracico pleural a sello de agua.
  •  
    eventracion diafragma


    Radiología de tórax Post operatorio

    Rx. torax 48 horas del post operatorio:
    • Observamos un diafragma derecho mas plano, mayor cavidad pleural, totalmente ocupada por pulmon, la silueta cardiaca ahora mas central.
    Rx post operatorio eventracion diafragma


    A las 72 horas del post operatorio el lactante fue extubado y su egreso de UTIP, ocurrió al octavo dia del postoperatorio, mas pronto de lo esperado.

     Comentarios

    • La elevacion del diafragma es un hallazgo radiologico común a la eventracion y a la paralisis del diafragma.
    • Se trata de lactante menor, producto de primera gesta en trabajo de parto vaginal, presentacion podalica y retencion de cabeza ultima que requirio de forceps e ingreso a terapia intensiva neonatal por asfixia perinatal severa y cefalohematoma. ingreso a tres meses de su nacimiento a la unidad de terapia intensiva pediatrica por neumonia basal derecha e insuficiencia respiratoria y nuevamente hace 20 dias por neumonia recurrente y actualmente no ha podido interrumpirse la ventilacion mecanica.
    • La paralisis diafragmatica como complicacion del trauma perinatal es muy rara y cuando esta presente generalmente coexiste con la lesion del plexo braquial, no tan infrecuente.
    • El diagnostico de un diafragma elevado en las unidades de terapia neonatal resulta dificil porque en ellas se utilizan ventiladores de presión. 
    • La movilidad sincrónica de ambos diafragmas a la fluoroscopia en respiracion expontánea descarta la paralisis diafragmatica por lesion del nervio frénico.
    • La electromiografia diafragmatica y la ecosonografia son menos utilizada en el diagnostico de paralisis frenica.
    • La eventracion diafragmatica congenita generalmente afecta el lado derecho y puede cursar con hipoplasia pulmonar.
    • En ambas entidades cuando se presentan consecuencias respiratorias, como en nuestro caso, la plicatura del diafragma es utilizada como un recurso para mejorar las complicaciones, probablemente el aumento de la cavidad pleural parece favorecer el desarrollo pulmonar aun en evolución.

    Paciente | Radiología | Tecnica propuesta | Internencion | Resultado | Comentarios

    Con Agradecimientos al personal del hospital, en especial, del área quirúrgica, héroes anónimos, que con su diario y arduo trabajo permiten el alivio de los pacientes, al Servicio de Anestesiología: Dr. Antonio Aldisi y Dr. Juan Carlos Rodriguez y la Unidad de Terapia Pediatria su personal y al Dr. Manuel Escobar.

    Rubén Henríquez Homepage
    | Página Principal | Imágenes familiares | Actividades Médicas | Pósters | Casos Interesantes |
    | Imágenes Médicas | Trabajos de Investigación | Conexiones | Informaciones |

    Creado po Dr. Ruben Henriquez
    1