Casos Interesantes...

Esternotomia, resección bulas pulmonares

Hospital Dr. Domingo Luciani - Venezuela

Se presenta un paciente masculino, 43 años, referido a la consulta de cirugía del tórax, por enfermedad pulmonar obstructiva crónica, con bulas enfisematosas bilaterales, la clínica, radiología, tomografía, hallazgos operatorios, tratamiento y comentarios son realizados. Julio, 31 del 2002.

Paciente | Radiología | Tomografia | Intervención | Comentarios
 
| Dr. Rubén Henríquez A. | Dra. Ninoska Estanga | Dr. Ramón Arias |

El Paciente

  • Se trata de paciente masculino de 43 años, proveniente de la ciudad, Guarenas, con antecedentes de hábitos tabáquicos intensos y desde hace 4 años presenta cuadros de dificultad respiratoria en crisis, con tos productiva evaluado y tratado por neumólogos con el diagnóstico de enfermedad pulmonar obstructiva crónica y refiere incremento de sus episodios de dificultad respiratoria hasta muy pequeños esfuerzos, como al hablar y caminar, dolor torácico opresivo casi constante que le dificulta sus labores cotidianas y le impide realizar el trabajo habitual, re-evaluado por su especialista quien sugiere cirugía de "rescate" pulmonar por el hallazgo de enfisema buloso pulmonar bilateral, lo refiere a cirugía torácica de este hospital.

  •  

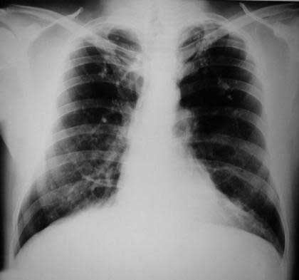
    Radiología del tórax

    Rx. tórax PA: Observamos el clásico tórax en tonel de un paciente enfisematoso, amplio en su base, espacios intercostales muy amplios, diafragma plano, aumento del volumen y de la trasparencia pulmonar a predominio de vértices pulmonares, en los que observamos bandas fibroticas radiopacas a predominio del lobulo superior derecho, botón aortico prominente y una silueta cardiaca elongada con reforzamiento de los hileos vasculares pulmonares.
    clic sobre imagen amplificar

    Tomografia del Tórax

    Corte Tomográfico
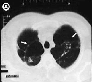
    Corte tomográfico A, transversal a nivel de vértices pulmonares de aspecto lobulado con tabiques y ausencia de dibujo pulmonar en su interior, dichos tabiques en bandas o septus fibrosos que se extienden hasta la pleura parietal.
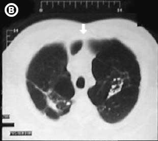
    Corte tomográfico B, mas inferior donde observamos el aumento del espacio retro esternal ocupado por bula enfisematosa pulmonar izquierda.
    Corte Tomográfico
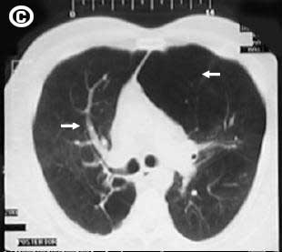
    Corte tomográfico C, a nivel carina traqueal, observe el reforzamiento de la trama vascular e hilear pulmonar, el aspecto trabecular pulmonar y la gran bula pulmonar izquierda que ocupa el espacio retro esternal.
    Corte tomográfico D, sub carinal, la redistribución del flujo pulmonar y el reforzamiento de la trama vascular hilear, gran bula retroesternal pulmonar izquierda


     
     

    Intervención

    • Al abordaje quirúrgico por esternotomía longitudinal, hemostasia periostica esternal, disección de ambas pleuras y se procede a la resección de las bulas primero un lado y luego el otro como se ilustra en los pasos siguientes.

    •  
    Bronquio del lobulo superior en referencias
    Figura 1 -

    Esternotomia mediana longitudinal, colocación del serparador de finochieto esternal.


    Cierre del muñón bronquial
    Figura 2 -

    Apertura de la pleura mediastinal en su borde esternal derecho, aspecto del lobulo medio derecho, se aprecia aumento de la consistencia pulmonar y crepitacion al tacto, antracosis (puntos negros) en su superficie.


    Figura 3 -
     
  • La bula pulmonar tensa del lóbulo superior derecho.

  •    Liberación de adherencias pleuro pulmonares y se practicó resección de la bula, empleando una pistola suturadora TA 55.
    Sección del ligamento triangular

    Figura 4 -
  • Hallazgo de inmensa bula enfisematosa del lobulo pulmonar superior izquierdo que ocupaba el espacio retroesternal.

  •    Libradas las adherencias fibrosas pulmonares se procedió a localizar el tejido mas sano pulmonar para practicar la resección de la bula, varios disparos de pistola autosuturadora TA 55 fueron efectuados en este caso.
    cierre de la pared toracica

    Figura 5 -
  • Limitacion de la bula en el parenquinma pulmonar.

  • El lóbulo superior Izquierdo, visto por su cara interna mediastinal.
    Se vació la bula más anterior para observar su límite en el parenquima del pulmón mas sano, colocación de pinza de kelly para facilitar el uso de la engrapadora TA 55.
     
    Fotografia de la pieza resecada

    Figura 6 -
     
  • Uso de la engrapadora TA 55 en la resección de las bulas del pulmón.

  • El lóbulo inferior izquierdo, segmento apical, movilizado y visto por su cara externa torácica, colocación de TA 55 para posterior resección.

    La pistola engrapadora TA 55© de acero, usa cartuchos de 55 mm de longitud,.
    Aspecto post operatorio de la esternotomia, dos tubos pleuromediastinales gruesos, uno en cada hemitorax, esteriorizados por contrabertura en el epigastrio, se conectan a sistema de drenaje torácico para drenaje pleuromediastino y expansión pulmonar.

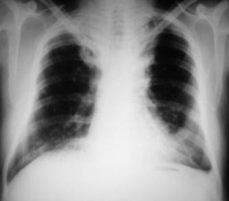
    Radiología del tórax Pos operatoria

    Rx. Tórax PA y L-izq. un mes posterior a la intervención, el paciente refiere sentirse mejor, camina y hace esfuersos leves a moderados aunque persisten dolores torácicos atribuibles a la intervención quirúrgica, aparte de los signos radiológicos antes mencionados característicos del tórax enfisematoso. Se observa radiopacidad difusa en vértice superior derecho y borramiento del seno costo-diafragmático izquierdo, suturas de alambre en esternón, mejor apreciadas en la rx. lateral, en forma cruzada  (x), detalle a señalar debido a reintervención para osteosíntesis esternal, por fuga de los alambres con cabalgamiento esternal en su post operatorio inmediato.


     Comentarios

    • Los pacientes con enfermedad pulmonar obstructiva crónica, con presencia de bulas pulmonares múltiples, caracterizada por zonas ventiladas no perfundidas, que a su vez producen por compresión de las zonas vecinas perfundidas pero no ventiladas, aparte de insuflarse en demasía consecuencia de bronquios que actúan a manera válvulas por secreciones y cambios en la propia arquitectura pulmonar aumentando el volumen residual y disminuyendo la capacidad vital.
    • La cirugía de rescate pulmonar o de reducción de volumen, consiste en resecar esas áreas ventiladas no perfundidas, para que cese el shunt existente en las zonas vecinas y recuperar la relación ventilación perfusión, con la consecuente mejoría de la hipoxemia y de la sintomas de disnea del paciente.
    • Dicho procedimiento debe hacerse en ambos pulmones comprometidos en un tiempo o en dos o mas tiempos, se debe respetar la mayor cantidad posible de tejido sano, de lo contrario no obtendremos mejoría de la relación ventilación perfusión.
    • La esternotomía es un procedimiento frecuentemente utilizado para este fin, porque con una incisión tratas ambos pulmones, ademas que una esternotomía es mejor tolerada por los pacientes que una toracotomía y sin lugar a duda que dos toracotomías.
    • El control riguroso post operatorio con el neumólogo juega un papel primordial en la evolución y duración de los beneficios obtenidos con esta intervención en la enfermedad pulmonar obstructiva crónica.
    • Con respecto a las pistolas autosuturadoras, He notado enorme dificultad con una TA 90©, con cartuchos de 90 mm de longitud, por su gran tamaño, mas cómodo una TA 55©, si se prefiere una Roticulator, una variación de la misma de tipo plástico desechable que permite realizar varios disparos utilizando varios cartuchos del mismo tipo, la caracteriza que varia el ángulo del cuerpo con el mango tornándola mas manuable.
    • Con respecto a los cartuchos vienen con grapas finas de titanio y el tamaño de las grapas es diferente según el color del cartucho. 

    Paciente | Radiología | Tomografia | Intervención | Comentarios

    Con el eterno Agradecimiento a todo el personal del hospital, en especial,.. los del área quirúrgica..el servicio de anestesia y desde luego al servicio de Terapia Intensiva de Adultos.., todos héroes anónimos, que con su diario y arduo trabajo alivian nuestros pacientes.

    Rubén Henríquez Homepage
    | Página Principal | Imágenes familiares | Actividades Médicas | Pósters | Casos Interesantes |
    | Imágenes Médicas | Trabajos de Investigación | Conexiones | Informaciones |

    Creado po Dr. Ruben Henriquez
    1