Casos Interesantes...

Fibrotorax y Decorticación - Caso Pediatrico


Hospital
Dr. "Domingo Luciani "

Pre-escolar masculino, de 6 años de edad, con fibrotórax post - empiema con restricción de su función pulmonar, complicación de neumonia basal izquierda, con toracentesis repetida y dificil manejo del drenaje pleural hace tres meses, Le realizamos decorticación pleural izquierda. Los estudios radiológicos, hallazgos a la intervención quirúrgica, técnica operatoria y comentarios sobre el tema . Mayo 15 de 2002.

| Dr. Rubén Henríquez A. | Dr. José Manuel Escobar |

Paciente | Radiología Tórax | Intervención | Rx post-operatoria | Discusión
 

El Paciente

  • Pre-escolar masculino, 6 años de edad, venezolano, procedente de Caracas, quien hace tres meses fué tratado en otro hospital por diagnóstico de neumonia izquierda con derrame pleural infeccioso que ameritó hospitalización durante 28 dias, soporte ventilatorio en terapia intensiva y drenaje pleural izquierdo por toracentesis y luego con tubo de tórax.

  •  
  • A pesar de la mejoria de su cuadro infeccioso, persistió con clinica de disnea a pequeños esfuerzos que le impedian hasta hablar, realizan repetidos estudios espirometricos que demuestran restricción severa de su funcion respiratoria, practican tomografia del torax, donde observan severa fibrosis restrictiva y deciden referirlo a cirugia del tórax de este hospital para tratamiento quirúrgico de decorticación pleural.

  • Radiología del Tórax

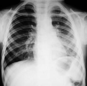
    Rx. Tórax PA. (A). posterior a la insercion del tubo de tórax para drenaje pleural. radiopacidad difusa del hemitórax izquierdo, con colapso parcial pulmonar, desviación mediastinal hacia la derecha. Por proceso neumonico con derrame pleural.
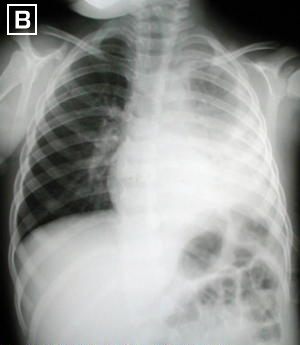
    Rx. Tórax PA.(B). Disminución de los espacios intercostales izquierdos, engrosamiento pleural severo , borramiento de los senos costo-frénicos, elevación hemi-diafragma izquierdo.escoliosis dorsal leve y poco aclaramiento del vertice por fibrosis pleural y atelectasia pulmonar.
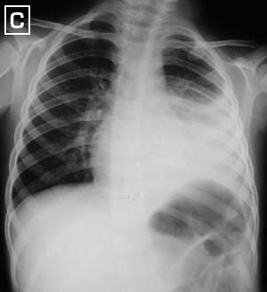
    Rx. Tórax PA.(C). Aumento compensatorio del volumen pulmonar derecho, mayor aclaramiento del vértice y disminución de espacios intercostales del hemitórax izquierdo. retracción del diafragma izquierdo, escoliosis marcada por fibrotorax severo.

    Tomografia del Tórax

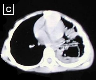
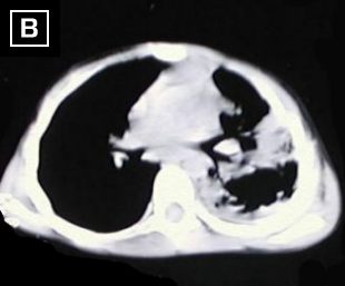
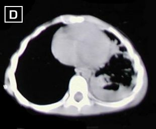
    Cortes tomograficos A - B - C - D : Desde carina hacia base del tórax, dezplazamiento de la carina a la derecha, severo engrosamiento pleural izquierdo, con tabicamiento, disminucion del volumen del hemitorax izquierdo, además reporta areas de atelectasia pulmonar en lóbulo inferior izquierdo.

    Expirometria pre-operatoria

    Expirometria pre - operatoria:
    observamos entre otros que:
     
  • FVC (Capacidad vital forzada) = disminuida al 47% del valor de predicción.
  • FEV1 (Volumen expiratorio forzado del 1er. seg) = disminuido al 54% del valor de predicción.
  • FEV1 / FVC % = elevado al 100%, mayor que la relación de predicción (86%) .

  • Lo que demuestra una restricción severa de la capacidad funcional respiratoria

    Toracotomía Izquierda

    Fotografía A:
    Disección de pleura parietal, Intensa fibrosis pleural, la apertura por toracotomía postero lateral izquierda en 5To. espacio Intercostal es laboriosa. Observe la gruesa fibrosis pleura parietal, en banda al extremo del separador y sobre la superficie pulmonar al fondo en la cavidad pleural.
    Fotografía B:
    Observe la expansión pulmonar lograda gracias a la resección de la fibrosis pleural visceral y parietal,  persisten áreas de atelectasia pulmonar, el pulmon expandera y ocupara progresivamente toda la cavidad pleural, debe realizarse hemostasia y aerostasia cuidadosa antes de cerrar.
    Fotografía C:
    Colocación de tubo torácico antero-posterior, conectado a sistema de succión, y durante varios días, sera necesario para el drenaje hemático post - operatorio y la correcta expansión pulmonar.

    Radiología Post-operatorio

    Radiología Pos - operatorio mediato, 7 dias : 
    Paciente estubado, drenaje toracico retirado, Pulmón izquierdo expandido, Observe el aumento de volumen del hemitorax izquierdo, la mayor amplitud de los espacios intercostales, la columna ya centrada, el diafragma izquierdo bien definido. Persiste discreta opacidad en base del hemitorax izquierdo.

     Comentarios:

  • Aunque la Toracotomía para decorticación pleural es un procedimiento quirúrgico común y frecuente en cirugía del tórax, este caso como otros, no deja de ser importante, aún mas, cuando se trata de las comunes y repetidas complicaciones de los procesos neumonicos con derrame pleural y a procedimientos como las toracentesis repetidas que a diario realizamos.
  • La fibrosis impide la expansión del pulmón al ocupar su espacio en la cavidad pleural, además de crear tabiques y compartimientos de material inflamatorio o necrótico ínter y para lobares, posteriormente, de continuar allí, viene un proceso de retracción del fibrotórax, con la consecuente disminución de la cavidad pleural afectada, con disminución del espacio intercostal, fijación, inmovilidad y atrofia del músculo diafragma y atrofia de los músculos intercostales, pectorales y accesorios respiratorios, retracción mediastinal con la consecuente repercusión el la calidad de vida por la disminución de la función pulmonar. de continuar alli, sobrevienen Infecciones respiratorias frecuentes, acumulo de secreciones por deformidad de la arquitectura bronquial, atelectasias y bronquiectasias hasta la posterior calcificación de los procesos fibróticos ya observados en numerosos pacientes.
  • Lógicamente, la sabia naturaleza también actúa, las demandas de incremento de la actividad pulmonar seran suplidas difícilmente con aumento de la serie roja, del hematocrito y de la viscosidad sanguínea, aumento de la frecuencia respiratoria, aumento compensatorio del volumen de la cavidad pleural contra lateral, aumento del volumen pulmonar contra lateral, con el consecuente resultado de la deformidad del tórax, aparición de bulas enfisematosas, infecciones respiratorias frecuentes, insuficiencia cardiaca, e insuficiencia respiratoria de esfuerzo hasta existir en los estados de reposo en los casos mas avanzados.
  • La decorticación pulmonar consiste en la resección quirúrgica de toda esa capa fibrótica que se produce en los procesos inflamatorios sobre toda la superficie pleural, tanto parietal como visceral, el objetivo de la misma es favorecer la expansión pulmonar, retornar la movilidad del diafragma y la flexibilidad de la caja torácica, para recuperar la capacidad y la función pulmonar.
  • Debo recordar que la decorticación en fase temprana ( Rx Torax PA (B) ), al iniciar el control de la infección es recomendada por facilitar la recuperación temprana, logra el control total del proceso inflamatorio, disminuye el tiempo de hospitalización, evita la recidiva del proceso neumonico y de otras complicaciones, además que el procedimiento de decorticación es técnicamente mas sencillo, menos cruento, al ser mas laxas las adherencias fibroticas y se evitan las deformidades por la retracción de la fibrosis.
  • Por todos estos motivos, la decorticación pleural, es y será un procedimiento común en la cirugía del tórax.

  • Paciente | Radiología Tórax | Intervención | Rx pos operatoria | Discusión

    Rubén Henríquez Homepage
    | Página Principal | Imágenes familiares | Actividades Médicas | Pósters | Casos Interesantes |
    | Imágenes Médicas | Trabajos de Investigación | Conexiones | Informaciones |

    1