Intervención
Quirúrgica
|
La exploración
mediante toracotomia y abordaje subperióstico en 5to.
arco costal, expuso un inmenso saco de aspecto nacarado y color rosado,
tenso, ocupando toda la cavidad pleural, daba la impresión inicial
que estaba constituida por todo el pulmón izquierdo, y luego estalló
a su palpación antes de la primera toma fotografica, la colocación
de pinzas para ocluir su abertura no logró la re-expansión
deseada para fotografía, el lóbulo inferior atelectasiado
se insufló rapidamente, la disección de las adherencias laxas
de las paredes del saco buloso, correspondian a las del segmento posterolateral
del lópulo superior izquierdo, la segmentectomía reglada
fue realizada.
El segmento anterior
del lóbulo superior persiste atelectásico casi hasta el final
de la intervención.
|
 |
a- bula enfisematosa, las
pinzas cerrando la abertura accidental
b- lóbulo inferior izquierdo
insuflado
|
|
a- segmento anterior del
lóbulo superior.
b- vasos y bronquios suturados
del segmento apico lateral
c- segmentos de la língula
medial y lateral
d- lóbulo inferior
e- cayado y aorta descendente
|
|
El segmento buloso
resecado
|
|
El inmenso saco buloso.
Un (1) litro de solución hídrica
fué vertido por la abertura del saco resecado.
El rellenado con fines de exposición fotográfica
fué insuficiente para rebosar el saco.
|
En detalle...
en flechas el bronquio segmentario, elongado,
como una brida adherente, emanando el fluido utilizado para el relleno
con fines fotográficos.
|
|
|
|
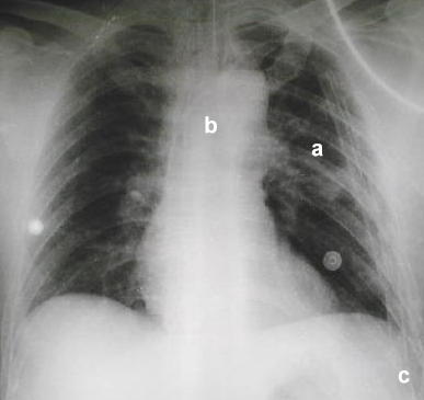
Rx. control
pos - operatorio
|
|
Rx. pos - operatoria
inmediata.
a. observe
la expansión pulmonar del lado izquierdo.
b. la
traquea intubada y el mediastino se encuentran centrados en el tórax.
c. dos
tubos torácicos fueron utilizados para drenaje y expansión
pulmonar.
Nota: las imágenes
redondeadas corresponden a electrodos electrocardiográficos.
|
|
Comentarios
|
La enfermedad bronco pulmonar obstructiva
es determinante en la aparición de enfermedad bulosa pulmonar.
La tuberculosis, las micosis pulmonares, el
carcinoma pulmonar, la fibrosis pulmonar, infecciones bacterianas, el trauma
torácico, barotrauma y cuerpos extraños inhalados, son diagnósticos
comunmente asociados con enfermedad bulosa pulmonar.
La ruptura de los tabiques alveolares y la
confluencia de sacos alveolares generalmente sub pleurales en los segmentos
mas aireados y poco irrigados: los apicales o segmentos superiores de los
lóbulos pulmonares, son los responsables de la mayoria de los neumotórax
expontáneos observados en pacientes jóvenes y delgados.
Los pequeños bronquiolos, por su naturaleza
histológica de paredes inconsistentes y su comportamiento fisiológico
natural, cortos en longitud y con luz amplia durante la inspiración,
alargados y extrechos durante la expiración, cuando sus paredes
están inflamadas se comportan como unos sistemas valvulares que
permiten la entrada del aire a los alveolos, pero no su salida, desencadenando
elevadas presiones alveolares que producen destrucción de sus paredes
constituyendo verdaderos sacos o bulas en la arquitectura pulmonar.
Cuando la pleura adyacente es la mediastinal
ocasionan enfisemas mediastinales y subcutáneos expontáneos
en veces impresionantes y dramáticos, sin neumotórax asociado
o demostrado.
Cuando están infectadas, las imágenes
radiológicas saculares de paredes delgadas y contenido hidro-aereo,
(con niveles líquidos), el diagnóstico diferencial con el
absceso pulmonar esta planteado.
Esta forma de presentación de bula
unica, o localizada en un segmento único, de la enfermedad bulosa
pulmonar no es clásica.
Ocacionalmente es difícil diferenciarla
del neumotórax expontáneo.
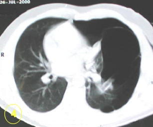
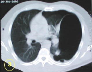
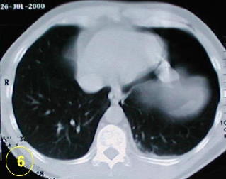
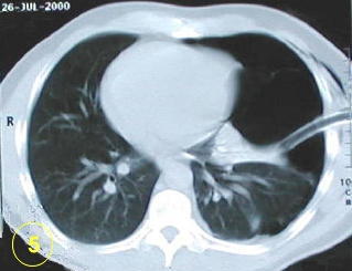
La tomografía computarizada del tórax
y su adecuada interpretación es de gran ayuda diagnóstica
en las patologias del tórax.
La colocación de tubos de tórax
intra bulosos es frecuentemente observado y la presentación de fístula
broncopleural y empiema es el resultado de una bula drenada.
En enfermedad bulosa pulmonar bilateral debe
ser resuelta en el mismo tiempo quirúrgico, la esternotomia y abordaje
pleural bilateral no es un procedimiento sencillo y la asistencia ventilatoria
pos-operatoria es casi obligatoria en la toracotomía bilateral.
|
|
|
| Paciente | Radiología
Tórax | Tomografía Tórax
| Radiología Ingreso |
|
|
| Intervención
| Técnica empleada | Bula
resecada | Radiología control
| Discusión |
|
|
| Rubén
Henríquez Homepage |
|
Página
Principal | Imágenes familiares
| Actividades Médicas | Pósters
| Casos Interesantes |
|
Imágenes
Médicas | Trabajos de Investigación
| Conexiones | Informaciones
|
|
|
|
|
|