Casos Interesantes...


Otro caso de Tiroides Intra-toracico


Hospital Dr. Domingo Luciani - Venezuela

Se presenta una paciente de 52 años con antecedentes de tiroidectomia subtotal por Bocio Tiroideo Cervical y posteriormente se detecta tumor del mediastino antero superior, estudios clínicos confirmaron se trataba de un Bocio del Tiroides intra-torácico, clínica, estudios para-clínicos, intervención y discusión sobre esta no rara patología de la glándula tiroides. Noviembre, 14 del 2001.

Paciente | Radiología | Tomografia | Otros Estudios | Intervención | Comentarios


| Dr. Rubén Henríquez A. | Dr. Javier Merchán |


El Paciente

  • Se trata de una paciente de 52 años, proveniente de Caracas, quien le fué practicada "Tiroidectomía subtotal con conservacion de polos superiores" hace tres años por cuadro de Bocio Tiroideo Cervical y refiere no haber obtenido mejoria del cuadro clinico de sensacion de opresión toracica y disnea al esfuerzo físico, a pesar del control por varias especialidades médicas no se indicó terapia hormonal tiroidea supresiva. ante el agravamiento de sus síntomas se realizaron estudios y nueva evaluacion endocrinologica.
  • Estudios radiológicos y tomográficos del tórax y cuello, ganmagrama del tiroides y captación de Iodo 131 son efectuados con la conclusión diagnóstica de: Tumor del mediastino superior, probable Bocio sumergido del tiroides. Compresión y desviación de traquea cervical y torácica.
  • Otros estudios rutinarios actuales pre-operatorios de laboratorio fueron interpretados como normales. 


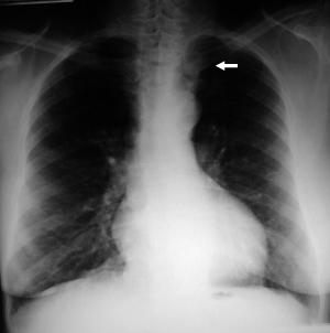
  • Radiología del Tórax

    Rx Torax Bocio Intratoracico
    Rx. Tórax PA: aumento del diámetro transverso del mediastino superior por radiopacidad redondeada (flecha blanca) que comprime y desplaza la traquea hacia la derecha.


    Tomografia del Cuello y del Tórax

    tomografia cervical bocio intratoracico
    tomografia cervical bocio intratoracico
    Corte Tomográfico "A"
    Corte torácico alto: Se aprecia el aspecto sólido de la lesión con áreas heterogéneas mas claras, con calcificaciones que recuerda las características tomográficas del bocio multi-nodular difuso. de 6 cm longitudinal x 5 cm AP. x 4 cm transversal.
    Corte Tomográfico "B"
    Corte 2 cm mas bajo: La lesión redondeada, capsulada, de 4 x 5 cm de diámetro, que se proyecta en el tórax, para-traqueal izquierda con dezplazamiento lateral derecho de la traquea.


    Ganmagrama Tiroides
    Scan (AP.) Antero posterior
    luego de administración de I-131
    Se demuestra la presencia de tejido Iodo captante residual cervical y el la región sub esternal.
    Ganmagrama tiroideo


    Intervención Quirúrgica

    Cervicotomia transversa
    Figura 1 -
    Posición de cervicotomia anterior, con extensión cervical y anestesia general. 
  • Observe la cicatriz de la cervicotomia anterior en la base del cuello.
  • Se realiza cervicotomia amplia anterior baja, sobre la cicatriz de la cervicotomia anterior.


  • Figura 2 -
  • La maniobra de Lager.

  •     Como en el caso anterior para las lesiones de pequeño tamaño. 
        La hiper-extensión del cuello, conjuntamente con presión ventilatoria pulmonar positiva sostenida (valsalba) y disección digital para-traqueal y sub-capsular, se libera el tumor del mediastino de sus adherencias, lo que permite su ascenso al cuello.
    Cervicotomia transversa maniobra lager


    Figura 3 -
  • Observe el tumor del mediastino ahora que esta en el cuello, de tamaño y características como las descritas por los estudios.

  •     El tumor del mediastino una vez que está en el cuello, se comprobó que (a diferencia del caso anterior ) , forma cuerpo con la porcion izquierda residual de la glándula tiroides, se libera y se reseca en bloque y se envió completo para anatomía patológica. Se conservó una pequeña porción de tiroides residual del lado derecho.
    Cervicotomia transversa Tiroides intratoracica cervical


    Figura 4 -
  • Posterior a la tiroidectomía total izquierda.

  •    El reporte per-operatorio de anatomía patológica = tejido glandular tiroides benigno; se exploró las celdas del tiroides encontrando porción de glándula tiroides residual en el lado derecho intimamente adherida a restos de fibrosis local y se decidio su conservacion por aspecto de tiroides normal aunque levemente aumentada en consistencia.
    Cervicotomia transversa


    Bocio Tiroideo intratoracico
    Figura 5 -
  • El tejido tiroides izquierdo y su porción intratorácica resecado

  • El lóbulo izquierdo tiroides residual con el tejido tiroideo intratoracico visto por su cara anterior.
    Aspecto lobulado bien limitado y de superficie brillante se incluye para análisis anatomo-patologico per-operatorio.


      Comentarios

    • La presencia de tejido Tiroides en el mediastino superior no es muy raro, cuando existe conjuntamente con patología de la glándula tiroides como en el bocio tiroides, este también crece al igual que el resto de la glándula en su ubicación normal.

    •  
    • Cuando se interviene en la glándula tiroides puede pasar desapercibida la presencia del tejido tiroides del mediastino, bien porque sea hipo-captante o muy pequeño, mas luego crecer o hacerse hiperplásico y adenomatoso por la evolución progresiva de la enfermedad que originó la exploración quirúrgica del tiroides, especialmente cuando se omite el tratamiento médico hormonal posterior a la operación. este caso es ejemplo de esta afirmacion contemplada en los comentarios en el caso anterior.

    •  
    • Menos frecuente es encontrar un tumor del mediastino antero superior de etiología tiroides en pacientes previamente operados de tiroidectomia total o sub-total.

    •  
    • La cervicotomía amplia, cerca de la horquilla del esternón, ayudándose con la hiper-extensión cervical, permite abordar y disecar el tumor del mediastino en su porción mas cervical y encontrar un plano para disección y liberación digital de sus adherencias laxas mediastinicas y ayudándose con algo de presión positiva sostenida respiratoria (valsalva), esto, particularmente funciona cuando son pequeños hasta de mediano tamaño unos 8 a 10 cm.

    •  
    • Esta paciente a sus tres meses de intervencion, se encuentra totalmente asintomatica y recibe terapia hormonal tiroidea de sustitución.

    Paciente | Radiología | Tomografia | Otros Estudios | Intervención | Comentarios

    Con el Agradecimiento a todo el personal del hospital, en especial,.. los del área quirúrgica.
    y a los anestesiólogos Dr. Orlando González y Dr. José Guidiño

    Rubén Henríquez Homepage
    | Página Principal | Imágenes familiares | Actividades Médicas | Pósters| Casos Interesantes |
    | Imágenes Médicas | Trabajos de Investigación | Conexiones | Informaciones |

    Creado po Dr. Ruben Henriquez
    1