Casos Interesantes...

Tumor del Pulmón


Hospital Dr. Domingo Luciani - Venezuela

Se presenta un caso de Tumor del lobulo superior izquierdo del pulmón, en un paciente de 63 años, la biopsia definitiva reporta se trata de un carcinoma pulmonar, clínica, radiología, tomografía, hallazgos operatorios, tratamiento y comentarios son realizados. Mayo, 26 de 2001.

Paciente | Radiología | Tomografia | Estudios | Lesiones encontradas | Tratamiento | Comentarios
 
| Dr. Rubén Henríquez A. | Dr. Luis Vivas | Dr. Carlos Vivas | Dr. Pablo Ottolino |

El Paciente

  • Se trata de paciente masculino de 63 años, proveniente de Caracas, quien refiere inicio de su enfermedad hace 4 meses, cuando presenta disfonia, antecedentes de infarto cardiaco hace 10 años y de tos con expectoración crónica, "relacionados a su anterior hábito tabaquico arraigado".
  • Evaluado y tratado de la disfonia por especialistas durante tres meses sin obtener mejoría, hasta que realizan radiología del tórax y estudios tomograficos por el hallazgo de imagen de aspecto tumoral en el campo superior del pulmón izquierdo. A su decisión se traslada a este hospital para tratamiento.
  • A su ingreso también observamos la osteoartopatia distrofica distal (dedos en palillo de tambor y uñas en vidrio de reloj) , caracteristica presente en un alto porcentaje de neoplasia pulmonares.

  •  
    dedos en palillo de tambor
    dedos en palillo de tambor

    Radiología

    Radiología del tórax:
  • Observamos lesión opaca, densidad homogénea, ubicada en el lobulo superior izquierdo pulmonar, de bordes no bien definidos, redondeada, de unos 3 cm. evidentemente de aspecto neoplasico.
  • No se observan lesiones osteolíticas costales. Tampoco adenopatias mediastinales.
  • Aplanamiento de los diafragmas, transparencia pulmonar bilateral, y silueta cardiaca de aspecto normal.
  • Rx torax: tumor del pulmon

    Tomografia

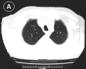
    Corte Tomográfico "A"
    en tercio superior del tórax:
  • Corte por encima de la lesión: Parenquima pulmonar de aspecto normal traquea normal, sin evidencia de adenopatias paratraqueales.
  • Corte Tomográfico
    Corte Tomográfico
    Corte Tomográfico "B"
    en tercio superior del tórax:
  • Corte a nivel de la lesión: Lesión pulmonar, redondeada, sólida y de bordes irregulares, espiculados, de tamaño aproximado 3 x 4 cm. adosada aparentemente a la pared torácica posterior.
  • Corte Tomográfico "C"
    a nivel supracarinal:
  • Flecha Blanca/negra: Tercio inferior de la lesión tumoral, sólida mal definida en sus bordes y se define en su ubicación segmentaria.
  • Corte Tomográfico
    Corte Tomográfico
    Corte Tomográfico "D"
    nivel tercio medio del tórax.
    hilear pulmonar
  • Flecha Negra: Hileo pulmonar sin adenopatias. ventana aorto pulmonar de aspecto normal.
  • Borde pleural normal, sin colecciones o derrame pleural.

  • Otros Estudios

    • Gammagrama óseo con captación normal.
    Ganmagrama oseo - craneo - cuello - torax - abdomen- pelvis
    Ganmagrama oseo - miembros
    • Endoscopia respiratoria cuerda vocal izquierda con deficit en su movilizacion y apecto normal, traquea y bronquios: hiperemia e hiper-secresión bronquial, claras, no se observaron lesiones endobronquiales de aspecto neoplasico, carina del lóbulo superior izquierdo normal, arquitectura bronquial en general normal. Citologias del lavado y cepillado: inflamatorio
       
      Laringoscopia
      Broncoscopia
      Laringoscopia: parexia cuerda vocal izquierda. Broncoscopia: carina del lobulo superior izquierdo
    • TAC abdomino pélvico: hígado, suprarrenales y región retroperitoneal y pélvica sin lesiones de aspecto neoplasico.
    • Función pulmonar con capacidad vital normal.
    • Gasometria arterial normal.
    • Estudios complementarios de laboratorio preoperatorio en limites normales.

    Intervención

    • Al abordaje quirúrgico por toracotomía posterolateral izquierda en 4to. espacio intercostal, se aprecia cavidad pleural libre, sin adherencias pleurales, sin aparente infiltración tumoral ni ganglionar del mediastino y de la pared costal. La lesión se palpa sólida intra-parenquimatosa pulmonar, en el lóbulo superior izquierdo, de unos 3 cm de diámetro aproximadamente, su superficie pleural retraida y umbilicada. 
    • Resto del tejido pulmonar sin lesiones neoplasicas palpables.
    • Cumpliendo los criterios de resecabilidad, se procede a practicar lobectomía pulmonar superior izquierda, con manguito bronquial libre de tumor.
    • Corte congelado de la lesion lobar reporta positivo para malignidad

    Bronquio del lobulo superior en referencias
     (Cabeza del paciente flecha en circulo)
    - Resecado el lóbulo superior 
       Ventana aorto pulmonar
     - El Bronquio del lobulo superior seccionado en referencias.
       Momentos antes del cierre bronquial.

    Cierre del muñón bronquial
    Cierre del muñón bronquial lobectomia pulmonar. 
  • Pinza derecha en rama de la arteria pulmonar: Muñón bronquial del lóbulo superior cerrado con puntos separados dexon 3-0.

  • Sección del ligamento triangular inferior.

  •    Con el objeto de obtener mayor movilidad del pulmón residual, (el lóbulo inferior), se secciona su ligamento triangular inferior, lo que permite su ascenso y ocupa facilmente en su expansion la cavidad pleural izquierda.
       La flecha oscura: la vena pulmonar inferior izquierda.
    Sección del ligamento triangular

  • El cierre de la pared toracica.

  •    La sintesis con puntos separados sub-periosticos costales, la manera optima de afrontamiento de la pared costal, sin tension ni aprisionamiento de nervios intercostales. disminuye el dolor pos operatorio y favorece la fisioterapia respiratoria.
    cierre de la pared toracica

  • Fotografia de la pieza resecada

  •    El lobulo superior, visto por su cara externa toracica.
        En circulo azul, la lesión sólida con la superficie umbilicada y retraida.
        Las zonas de color oscuro estan hipoventiladas (atelectasia).
     
    Fotografia de la pieza resecada

    Tratamiento adicional

    • Se tratará con radioterapia completa mediastinal, costal y torácica superior derecha.
    • quimioterapia por el servicio de oncología médica.
    • Rehabilitación física y respiratoria enérgica.
    • Control trimestral, radiológico seriado y tomografico anual, en los 5 años siguientes.

     Comentarios

    • La disfonia con mas de 15 dias de evolución es criterio de sospecha de lesion maligna, bien sea en las cuerdas vocales, laringe, glándula tiroides, neoplasis pulmonares y mediastinales.
    • Cuando la disfonia esta presente en neoplasias pulmonares generalmente se debe a compresion del asa del recurrente, o bien infiltración tumoral o por adenopatias infiltradas, en la ventana aortopulmonar en el lado izquierdo y a nivel de la cava superior en el derecho.
    • En los pacientes bronquiticos crónicos, los cambios en el aspecto de la expectoración ameritan particular atención, una evaluación neumonológica constante y a la presencia de expectoración hemoptoica debemos primero pensar que es debido a una neoplasia y posteriormente a las bronquiectasias que suelen acompañar al bronquitico crónico. en particular si persisten los hábitos tabaquicos.
    • El dolor en el hombro o de un miembro superior, es una síntoma común en el tumor pulmonar del vértice del tórax, inicialmente causado por compresión del plexo braquial. y posteriormente por infiltración de las raíces de los nervios del miembro superior, por este síntoma suele ocurrir que el paciente acuda a numerosos médicos, incluyendo traumatologos, reumatólogos y neurocirujanos quienes aplican numerosos y variados tratamientos para aliviar su dolor y transcurre un periodo prolongado e importante de tiempo, antes de realizar un estudio radiológico del tórax y descubrir que se trata de una lesión neoplasica del pulmón.
    • La bronco-fibroscopia, además de ser un procedimiento plenamente justificado en la evaluación y el tratamiento de pacientes bronquitico crónicos, es indispensable para la evaluación quirúrgica de la invasión endo-bronquial neoplasica, además de aportar el diagnóstico presuntivo o definitivo el 70 % de los casos aproximadamente.
    • Los procedimientos de biopsia por aspiración con aguja fina o gruesa para el diagnóstico histologico son de utilidad en aquellos pacientes en que no se tiene un diagnostico y están excluidos de resección quirúrgica, bien, por lo avanzado de su enfermedad neoplasica o por otro motivo que no justifique su intervención. Su realización en los pacientes que van ha ser sometidos a cirugía no esta planteada por la posibilidad de siembra de células tumorales en los tejidos en la trayectoria de la punción.
    • La mediastinoscopia biopsia esta indicada en aquellos pacientes que por procedimientos previos no hemos obtenido un diagnóstico y que por tomografia torácica exista evidencia o sospecha de nódulos ganglionares mediastinicos neoplasicos, casos en particular en los que la cirugía de resección no esta justificada.
    • La biopsia con aguja gruesa o utilizando un trucut, las dejo para aquellos casos avanzados donde la infiltración de vértebras, costillas, y deformación de la pared costal o la presencia de metastasis es evidente y las condiciones del paciente sean muy deplorables.
    • Cuando exista derrame pleural, es importante verificar por citologico del liquido o histologia de la biopsia pleural, la extensión neoplasica es criterio de irresecabilidad.
    • Como una referencia acerca del cancer del pulmón me atrevo a sugerirles una visita fuera de mi webSite, y en español, a la pagina de la "American Cancer SocietyAmerican Cancer Society - Cancer del Pulmon , y no se olviden de regresar ..., hay más.

    Paciente | Radiología | Tomografia | Estudios | Lesiones encontradas | Tratamiento | Comentarios

    Con el eterno Agradecimiento a todo el personal del hospital, en especial,.. los del área quirúrgica..., los héroes anónimos, que con su diario y arduo trabajo permiten el alivio de nuestros pacientes..
    Al Servicio de Anestesiología
    Los Residentes de Cirugía General III
  • Dr. Adolfredo Sembergman
  • Dra. Milena Changir
  • Dr. Lincoln Garces
  • Jefe del Area Quirúrgica
    Dr. Luis Martinez

    Rubén Henríquez Homepage
    | Página Principal | Imágenes familiares | Actividades Médicas | Pósters | Casos Interesantes |
    | Imágenes Médicas | Trabajos de Investigación | Conexiones | Informaciones |

    Creado po Dr. Ruben Henriquez
    1