Casos Interesantes...

Tumor de Pancoast


Hospital
Dr. "Domingo Luciani "

Se presenta un caso de Tumor del surcus superior del tórax, en un paciente de 56 años, la biopsia definitiva reporta se trata de un adenocarcinoma pulmonar, clínica, radiología, tomografía, hallazgos operatorios, tratamiento y comentarios son realizados. Marzo, 06 de 2001.

Paciente | Radiología | Tomografia | Estudios | Lesiones encontradas | Tratamiento | Comentarios
 
| Dr. Rubén Henríquez A. | Dr. Luis Vivas | Dra. Nelly Carrero | Dr. Antonio Gutierrez |

El Paciente

  • Se trata de paciente masculino de 56 años, proveniente de Puerto la Cruz, quien refiere inicio de su enfermedad hace 4 meses, cuando presenta dolor en el hombro derecho, con impotencia funcional del mismo por dolor, expectoración hemoptoica en varias oportunidades y antecedentes de tos y expectoración crónica con de características variables, "relacionados a su hábito tabaquico arraigado".
  • Consultó a centro medico de la localidad donde realizaron radiología del tórax, y estudios tomograficos por el hallazgo de imagen de aspecto tumoral en el vértice superior del pulmón. A decisión de núcleo familiar se traslada a este hospital para tratamiento.

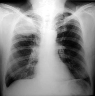
  • Radiología

    Radiología del tórax a su ingreso:
  • Observamos lesión opaca, densidad homogénea, ubicada en el estrecho superior del tórax, pulmonar, de bordes bien definidos, redondeada, evidentemente de aspecto neoplasico.
  • No se aprecian lesiones osteolíticas costales.
  • Aplanamiento de los diafragmas, transparencia pulmonar bilateral, y silueta cardiaca de aspecto normal.

  • Tomografia

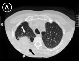
    Corte Tomográfico
    en tercio superior del tórax:
  • Flecha Blanca: Lesión tumoral de bordes irregulares, redondeada, sólida, intraparenquimatosa.
  • Flecha Negra: Lesión tumoral mal definida en su parte posterior, engrosamiento pleural, pequeña bula enfisematosa, no se aprecia la estructura ósea del 3er. arco costal posterior.
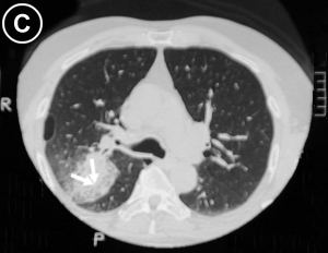
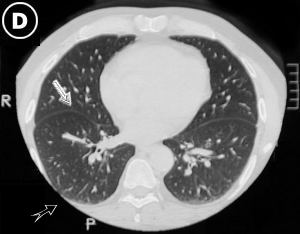
  • Corte Tomográfico
    en tercio superior del tórax:
  • Flechas Blancas: Lesión pulmonar, redondeada, sólida y de bordes irregulares, adosada aparentemente a la pared torácica posterior.
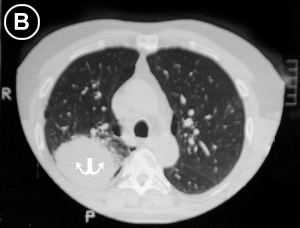
  • Corte Tomográfico
    a nivel supracarinal:
  • Flechas Blancas: Tercio inferior de la lesión tumoral, sólida y se define su borde posterior. Ubicación segmentaria.
  • Corte Tomográfico
    nivel tercio medio del tórax.
    hilear pulmonar
  • Flecha Blanca: Cisura interlobar. Hileo pulmonar sin adenopatias.
  • Flecha Negra: Borde pleural normal, sin colecciones o derrame pleural.

  • Otros Estudios

    • Gammagrama óseo con captación normal.
    • Endoscopia respiratoria con hiperemia e hiper-secresión bronquial, claras, no se observaron lesiones endobronquiales de aspecto neoplasico, carina del lóbulo superior derecho aspecto normal, arquitectura bronquial en general de aspecto normal.
    • TAC abdomino pélvico: hígado, suprarrenales y región retroperitoneal y pélvica sin lesiones de aspecto neoplasico .
    • TAC de tórax: se evidencia lesión pulmonar redondeada, superior y adherido a la pared costal, aparente no infiltración de la pared costal, mediastino libre y sin adenopatias, espacio pleural sin colecciones.
    • Función pulmonar con capacidad vital normal.
    • Gasometria arterial normal.
    • Estudios complementarios de laboratorio preoperatorio en limites normales.
    • Biopsia por toracotomía: Adenocarcinoma Pulmonar poco diferenciado. Ganglio interlobar antracotico. bordes de resección bronquial y costales libres de neoplasia.

    Intervención

    • Al abordaje quirúrgico por toracotomía posterolateral derecha en 5to. espacio intercostal, se observa ausencia de la cisura pulmonar transversa, el lóbulo pulmonar medio formando parte de la estructura lobar superior, adherencias pleurales laxas a excepción de adherencia firme del lóbulo superior pulmonar a la pared costal posterior por aparente infiltración tumoral del tercer, cuarto y quinto arcos posterior costales. Mediastino libre de adenopatias, vena cava superior libre, y se palpa tumoracion sólida intra-parenquimatosa pulmonar del lóbulo superior, de unos 6 cm de diámetro aproximadamente.
    • En vista de cumplir criterios de resecabilidad, se procede a practicar bi-lobectomía pulmonar superior y media derecha con resección parcial en bloque de los arcos costales posteriores 3 4, 5 y 6to, con amplio margen libre.

    - Resecado el lóbulo superior y medio derechos.
       Compresas alrededor del ileo pulmonar
     - Bronquio lobulo superior seccionado en referencia.
       Momentos antes del cierre bronquial.

    Bilobectomia pulmonar. 
  • Flecha Blanca: Muñón bronquial del lóbulo superior cerrado con puntos separados de dexon 30. Hileo pulmonar sin adenopatias.
  • Flecha Amarilla: Elementos vasculares segmentarios lobares superiores y medios ligados, "seda negra" emergian independientes, de la arteria pulmonar derecha.
  • Flecha Negra: Vena pulmonar derecha superior, muñón ligado seda negra.

  • Aspecto del borde de resección de pared costal.

  •    Tres segmentos de arcos costales, 3° 4° y 5°, con su respectivos musculos y vasos intercostales fueron resecados en una sola pieza con los lobulos extraidos. "Resección en bloque".
        La escapula de mayor tamaño cubrirá el defecto de la pared costal, por lo que no se utilizó material protesico.

  • Fotografia de la pieza resecada

  •   Los segmentos lobares superiores y medios unidos por ausencia de cisura transversa, vistos por su cara externa toracica.
        En circulo, la lesión sólida con el segmento de pared toracica, resecados en una sola pieza. "Resección en bloque".
     

    Tratamiento adicional

    • Se tratará con radioterapia completa mediastinal, costal y torácica superior derecha.
    • quimioterapia por el servicio de oncología médica.
    • Rehabilitación física y respiratoria enérgica.
    • Control trimestral, radiológico seriado y tomografico anual, en los 5 años siguientes.

     Comentarios

    • En los pacientes bronquiticos crónicos, los cambios en el aspecto de la expectoración ameritan particular atención, una evaluación neumonológica constante y a la presencia de expectoración hemoptoica debemos primero pensar que es debido a una neoplasia y posteriormente a las bronquiectasias que suelen acompañar al bronquitico crónico. en particular si persisten los hábitos tabaquicos.
    • El dolor en el hombro o de un miembro superior, es una síntoma común en el tumor pulmonar del vértice del tórax, inicialmente causado por compresión del plexo braquial. y posteriormente por infiltración de las raíces de los nervios del miembro superior, por este síntoma suele ocurrir que el paciente acuda a numerosos médicos, incluyendo traumatologos, reumatólogos y neurocirujanos quienes aplican numerosos y variados tratamientos para aliviar su dolor y transcurre un periodo prolongado e importante de tiempo, antes de realizar un estudio radiológico del tórax y descubrir que se trata de una lesión neoplasica del pulmón.
    • La denominación de tumor de Pancoast, se refiere al tumor del vértice pulmonar, que por lo menos produce un hombro doloroso, y suele acompañarse de otros síntomas y signos como: el síndrome Claude Bernard Horner: una triada compuesta por ptosis palpebral, anhidrosis e hiperemia facial. Dolores articulares de los miembros inferiores. artropatia distrofica falangica distal de manos y pies. Síndrome de vena cava superior etc.
    • La bronco-fibroscopia, además de ser un procedimiento plenamente justificado en la evaluación y el tratamiento de pacientes bronquitico crónicos, es indispensable para la evaluación quirúrgica de la invasión endo-bronquial neoplasica, además de aportar el diagnóstico presuntivo o definitivo el % de los casos.
    • Los procedimientos de biopsia por aspiración con aguja fina o gruesa para el diagnóstico histologico son de utilidad en aquellos pacientes en que no se tiene un diagnostico y están excluidos de resección quirúrgica, bien, por lo avanzado de su enfermedad neoplasica o por otro motivo que no justifique su intervención. Su realización en los pacientes que van ha ser sometidos a cirugía no esta planteada por la posibilidad de siembra de células tumorales en los tejidos en la trayectoria de la punción.
    • La mediastinoscopia biopsia esta indicada en aquellos pacientes que por los procedimientos previos no se ha obtenido un diagnóstico y que por la tomografia torácica existe evidencia de nódulos ganglionares mediastinicos neoplasicos, casos en particular en los que la cirugía de resección no esta justificada.
    • Cuando exista compromiso o invasión de la vena cava superior, (criterios de irresecabilidad), la mediastinoscopia o mediastinotomía se convierte en una emergencia quirúrgica oncológica para tomar suficiente tejido para diagnóstico y luego se trata con radioterapia des compresiva y esteroides. siempre y cuando no se pueda realizar el diagnóstico histologico de la lesión por broncoscopia, biopsia pleural, citología del derrame pleural, biopsia por aspiración con aguja fina o gruesa.
    • La biopsia con aguja gruesa o utilizando un  trucut las dejo para aquellos casos avanzados donde la infiltración de vértebras, costillas, y deformación de la pared costal es evidente y las condiciones del paciente son muy deplorables.
    • Cuando exista derrame pleural, es importante descartar por estudio citologico del liquido y biopsia pleural, la extensión neoplasica, criterios de irresecabilidad.
    • Cuando existe infiltración del pericardio casi siempre se acompaña de derrame pericardio, la realización de una ventana pericardica o pericardiectomia parcial sub-sifoidea o video-toracoscopia, evita el posible taponamiento cardiaco y mejora la calidad de sobre vida.

    Paciente | Radiología | Tomografia | Estudios | Lesiones encontradas | Tratamiento | Comentarios

    Con el eterno Agradecimiento a todo el personal del hospital, en especial,.. los del área quirúrgica..., los héroes anónimos, que con su diario y arduo trabajo permiten el alivio de nuestros pacientes..
    Al Servicio de Anestesiología
    Los Residentes de Cirugía General
     
    La Unidad de Poli-Traumatizados

    Rubén Henríquez Homepage
    | Página Principal | Imágenes familiares | Actividades Médicas | Pósters | Casos Interesantes |
    | Imágenes Médicas | Trabajos de Investigación | Conexiones | Informaciones |

    1