Casos Interesantes...

Tumor Mediastino Pediatrico


Hospital
Dr. "Domingo Luciani "

Se presenta un caso de Tumor del mediastino, con metastasis oseas en un niño de 9 años, la biosia reporta se trata de un linfoma no Hodgkin de celulas grandes, clinica, radiologia, tomografia, hallazgos operatorios, tratamiento y comentarios son realizados. Enero 31 del 2001.

Paciente | Radiologia | Tomografia | Estudios | Lesiones encontradas | Tratamiento | Comentarios
 
| Dr. Rubén Henríquez A. | Dra. Rayza Garcia | Dra. Maria C. Pinto |
| Dr.Miguel Sequera | Dra. Yeisma Zurita | Dr. Pedro Perlaza |

El Paciente

  • Se trata de escolar masculino de 9 años de edad, cuya madre refiere inicio de su síntomas en el mes de marzo del 2000, cuando preseta dolor de cadera y limitación funcional con aumento del volumen del miembro inferior derecho, por lo que es evaluado por médico en la ciudad de Barquisimeto, estudios radiológicos a nivel de isquión derecho y cabeza de fémur izquierdo donde evidenciaron lesiones osteolíticas, realizan biopsia en esa oportunidad que reporta histiocitoisis de células de Langerhans, en el mes de mayo es referido para el servicio de Hematología del Hospital Dr. Domingo Luciani y en conjunto con el Servicio de oncología del Hospital San Juan de Dios se toman nuevas muestras de biopsia de dichas lesiones para descartar histiocitosis vs. linfoma, no obteniéndose diagnóstico definitivo.  En vista de persistir la clínica y aumentar el dolor a nivel del tercio medio del muslo derecho, se decide hospitalizar para estudio..
  • Durante su hospitalización presenta fractura patologica del femur izquierdo y hallazgos a la radiología del torax de tumor del mediastino y lesiones osteoliticas costales, se realizó biopsia por punción aspirativa de la lesion mediastinal y biopsia con aguja gruesa de las lesiones costales con resultados no concluyentes, por lo que ameritó biopsia a cielo abierto por toracotomia con cortes congelados, con la conclusión diagnóstica de linfoma no hodking variedad de celulas grandes

  • Radiología

    Radiología del tórax a su ingreso:
  • Presencia de lesión radiopaca aspecto homogeneo, ubicada en el mediastino superior con crecimiento hacia la cavidad pleural derecha superficie convexa, irregular y bordes no bien definidos.
  • Lesiones osteoliticas del 2do al 5to. arcos costales posteriores derechos.
  • Radiopacidad difusa del vértice pulmonar derecho.
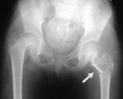
  • Radiología pelvis
     
  • Lesión osteolítica del femur izquierdo, con fractura patológica subcapital, en relación con metástasis oseas.

  • Tomografia

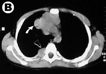
    Corte tomográfico
    en tercio superior del torax:
  • Flecha Blanca: Lesión mediastinal, lobulada, sólida e irregular con micro - calcificaciones.
  • Flecha Negra: Lesion tumoral con destrucción ósea del 3er. arco costal posterior
  • Corte tomografico se aprecia la lesion mediastinal y osea costal porterior
    Corte tomografico: tumor mediastino y lesion costal posterior
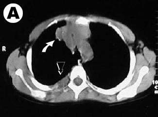
    Corte Tomográfico
    nivel supra carinal
  • Flecha Blanca: la Infiltración mediastinal del tumor sólido con calcificaciones.
  • Flecha Negra: Tumor en 4to arco posterior derecho con osteolisis costal.

  • Otros Estudios

    • Gammagrama óseo hipercaptación a nivel de la parrillla costal, cabeza de fémur izquierdo e isquión.
    • Informe inmuno histoquímico de fémur izquierdo: infiltración por células atípicas y células macrofágicas.
    • Aspirado y biopsia de médula ósea de espina ilíaca antero-superior derecha: normocelulares sin evidencia de neoplasia.
    • Biopsia de cuello femoral inferior izquierdo se interpreta como inflamación crónica osteomielítica.
    • Biopsia de cuello femoral izquierdo: médula ósea normocelular en coágulo hemático.
    • Coágulo de cresta ilíaca posterior: médula ósea normal en coágulo hemático.
    • Biopsia del periostio ileopúbico de pelvis derecha: gruesa fibrosis periostica.
    • Láminas de aspirado de médula ósea de cresta ilíaca derecha e izquierda: pocos fragmentos de médula ósea sin atipias.
    • TAC abdomino pélvico: lesión de aspecto tumoral osteolítica a nivel de pelvis, lesiones de aspecto MT en parrilla costal y mediastino.
    • TAC de tórax: se evidencia lesión mediastinal antero superior y costal.
    • Biopsia por punción de la tumoración mediastinal: se evidencian células atípicas
    • Hemocultivos negativos.
    • Acido Vanilmandélico: Volumen de 900cc 6,5 mg en 24 horas (Normal).
    • Se realiza biopsia por mediastinoscopia (extrahospitalario) con resultados inmuno histoquímica: CD68 positiva en células histiocíticas y ENE CD99, S-100 cromogranina negativas en células inflamatorias o del parénquima pulmonar. Diagnostico histologico: escaso material, insuficiente para interpretación.
    • Biopsia por toracotomía: LINFOMA NO HODGKIN DIFUSO DE CELULAS GRANDES.

    Intervención biopsia

    • Al abordaje quirúrgico por toracotomía lateral derecha en 4to. espacio intercostal, se observa la masa mediastinal mamelonada pleomórfica de 7 cm. de diámetro aproximadamente, que infiltra al pulmón, al pericardio y a la vena cava superior, mal limitada, derrame pericardico de 150 cc hemorragico y otra lesión tumoral de iguales caracteristicas de 3 cm. de diámetro sobre los arcos costales 3, 4 y 5 derechos, otra en la region cartilaginosa del 3er. arco costal anterior derecho, se tomó muestra escisional de las lesiones y se realizó ventana pericardica, se colocó un drenaje torácico que se retiró al 3do dia del post-operatorio.

    Tumor mediastinal infiltrando parenquima pulmonar, vena cava superior y pericardio.
    - Tumor  mediastino.
        sólido y mamelonado
     - Pulmón derecho.
        lóbulo superior invadido
     - Vena Cava superior.
        cubierta e invadida
     - Pericardio.
        invadido por la lesión

    Tumor infiltrando el 3er y 4to. arcos costales posterior
  • Tumor en arcos costales 
  • Se puede apreciar el tumor de caracteristicas morfológicas parecidas al tumor mediastinal sobre los arcos costales 3ero y 4to, en relación con los hallazgos radiológicos y tomográficos.

    Tratamiento

    • La fractura ósea se inmovilizó mediante espica de yeso durante 3 meses.
    • En tratamiento y control por el servicio de hematología oncológica pediátrica
    • Se Inició un protocolo L.M.B. - 89 ; Derivado de la experiencia de la Sociedad Francesa.89 de Oncología Pediátrica [S.F.O.P.], Quedando clasificado en el Grupo B - se inició un esquema  COP - para reducción tumoral, Luego un período de inducción COPADM y actualmente en fase de consolidación CYVE con buena respuesta terapéutica, hay involución de las lesiones tumorales, deambulando y en rehabilitacion física.

     Comentarios

    • Cuando estamos frente a un paciente con lesión sólida de mediastino anterosuperior, siempre debemos pensar que estamos ante una neoplasia maligna.
    • Debemos practicar estudios tomográficos o de resonancia magnética del tórax para evaluar sus caracteristicas, sus limitaciones o sus infiltraciones, realizar estudios de diagnóstico de extensión a otros órganos como el gammagrama óseo, tac o ecosonografia hepática, suprarrenales, testiculares y hematológicos especiales.
    • Pensamos en lesión benigna o maligna resecable por los hallazgos de no infiltración de estructuras vecinas, que se observe limitado por una capsula o tejido de aspecto fibrotico y sin lesiones a distancia, entonces deberiamos abordar mediante una esternotomía con la finalidad de resecar en bloque y biopsiar en el mismo acto quirúrgico.
    • Si la evaluación tomográfica o la resonancia revela infiltración o invasión a estructuras vecinas, o existen hallazgos de lesiones a distancia, el diagnóstico debe dirigirse siempre directamente a la lesión para su correcto diagnóstico y en órden ascendete en invasibilidad.
    • Los procedimientos de biopsia por aspiración con aguja fina suelen dar diagnósticos no concluyentes, generalmente se refieren a atipias o malignidad y son insuficientes en cantidad para establecer un diagnóstico definitivo, mas su negatividad no excluye la malignidad.
    • La mediastinoscopia biopsia por mediastinostomia anterior es el procedimiento indicado, acompañado de corte congelado e impronta por aposición para estar seguros que hemos tomado material adecuado para diagnóstico. de ser asi esperamos los resultados definitivos de anatomía patológica.
    • En este paciente preferí, un abordaje directo por toracotomía por la negatividad de los procedimientos previos y sobre todo por el prolongado tiempo transcurrido desde su ingreso, la evolución progresiva, el deterioro del paciente y la ausencia diagnóstica.
    • Cuando una lesión mediastinal tiene compromiso o invasión de la vena cava superior, la mediastinoscopia o mediastinotomía se convierte en una emergencia quirúrgica oncológica para tomar suficiente tejido para diagnóstico y luego se trata con radioterapia descompresiva y esteroides. si la radioterapia descompresiva a sido realizada prefiero un abordaje por toracotomía o esternotomía, por el riesgo de complicaciones hemorragicas intraoperatorias tratando de tomar un tejido adecuado, sin fibrosis o necrosis de la lesión.
    • La biopsia con aguja gruesa o utilizando un  trucut las dejo para aquellos casos avanzados donde la infiltracion y deformación de la pared costal es evidente y las condiciones del paciente son muy deplorables.
    • Cuando existe infiltración del pericardio casi siempre se acompaña de derrame pericardico, la realización de una ventana pericardica o pericardiectomia parcial evita el posible taponamiento cardiaco.

    Paciente | Radiologia | Tomografia | Estudios | Lesiones encontradas | Tratamiento | Comentarios

    Un merecido Agradecimiento a todo el personal del hospital, en especial,.. los del área quirúrgica de emergencia,.. de radiología, que con su diario trabajo permiten el alivio de nuestros pacientes..
    y a los médicos que "energicamente" actuaron y se dedican en este y tantos otros casos,..
    y a los que me perdonen, olvidé mencionar..
    Al Servicio de Anestesiología
    Al Servicio de Terapia Intensiva Pediatrica
    A los Residentes de Cirugía Pediátrica
    Dra. Milena Changir
    Dra. Aljulie Blanco
    Todo su personal médico y paramédico de la Unidad
    Dr. Miguel Sequera
    Dr. Pedro Perlaza
    Dra. Yeisma Zurita
    Al Servivio de Pediatría "A"
    Al Servicio de Hematología
    A la Residente de Pediatría
    Adjuntos y residentes
    Del Módulo A
    Dra. Rayza García
    Dra. Maria Cecilia Pinto

    Rubén Henríquez Homepage
    | Página Principal | Imágenes familiares | Actividades Médicas | Pósters | Casos Interesantes |
    | Imágenes Médicas | Trabajos de Investigación | Conexiones | Informaciones |