Reconstruccion osea en Pectus Excavatum


Hospital
Dr. " Domingo Luciani "

Se presenta un caso de Pectus Excavatum, radiología, tomografia y reconstrucción ósea, clínica, gráficas de la técnica de corrección quirúrgica, resultado final, Enero 28 de 2001.

Dr. Rubén Henríquez | Dr. Jose Manuel Escobar | Dra. Nelly Carrero | Dr. Cesar A. Madrid

Paciente | Fotografía Tórax | Tomografía | Reconstrucción ósea Tórax | Intervención | Comentarios

El Paciente

Escolar masculino de 7 años de edad, venezolano, con anormalidad de la pared torácica anterior caracterizada por hundimiento, aunque pequeña al nacimiento, ha progresado con los años, incapaz de realizar esfuerzos físicos sostenidos en intensidad y tiempo similares a niños de su edad por la dificultad respiratoria que presenta. Una postura viciosa difícil de corregir y su gran insatisfacción por su aspecto físico.

Fotografía del Tórax

La disminución del diámetro antero posterior del tórax y el hundimiento del tercio medio e inferior de la región esternal, son hallazgos clínicos característicos de esta deformidad.

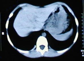
Tomografía de tórax

 
  • Corte tomografico a nivel del tercio superior del torax, supracarinal.
 
  • Corte tomografico a nivel carinal, comienza a insinuarse la depresión esternal.
 
  • A medida que descienden los cortes, se observa la mayor depresión esternal.
 
  • A nivel del tercio inferior se observa el punto de máxima depresion esternal.
 
  • Corte a nivel del apéndice sifoides, observe la acentuada depresión por efectos de los cartilagos costales comunes.
 
  • A nivel de la base del tórax los extremos de los arcos costales se observan protruyentes, debido al cambio de dirección de los cartílagos, ellos generalmente ceden, al resecar los cartílagos costales comunes.

Reconstrucción Osea Tomográfica

  • El esternón frente y lateral:

  • observe la convexidad del cuerpo esternal y la concavidad que ocasiona el desplazamiento anterior del pronunciado apéndice sifoides.
  • Las estructuras mediastinales se alojan en un tórax que ha disminuido su diámetro antero-posterior por la depresión esternal y la marcada concavidad de la columna dorsal.
  • La reconstrucción ósea torácica tomográfica demuestra que las alteraciones presentes en el tórax están limitadas básicamente al defecto esternal.

  • Los arcos cartilaginosos costales, causantes de los defectos del tórax están ausentes, en el proceso de reconstrucción tomográfica. 

    Intervención quirúrgica

  • Ténica Ravicht modificada:
  • Incisión sub-mamaria transversa.
  • Disección muscular de ambos pectorales, permite la exposición de la pared costal costal anterior, desde el manubrio hasta el sifoides.
    • Desperiostización y resección de III arco al X arcos cartilaginosos bilaterales.
    • No fue necesario condroplastia del los segundos arcos costales.
  • Dos osteotomias transversas fueron necesarias para corregir la deformidad esternal, se fijan mediante sutura alambre No.5 puntos X.
  • La resección del sifoides se realiza a continuación.
  • Se fijan los pectorales y se reinserta el recto anterior del abdomen.
  • El resultado luego de tres dias en terapia intensiva, ya estubado, y sin soporte ventilatorio.

  • Radiología Pos – Operatoria

    • La radiografía pos-operatoria inmediata muestra un corazón en posición lateral izquierda, pero evidentemente centrado, dos tubos torácicos para drenaje mediastinico pleural bilateral fueron necesarios por abertura de ambas pleuras con exteriorización en el epigastrio, ademas, un drenaje aspirativo sub-pectoral.

    Comentarios

    La Reconstrucción Osea Tomográfica

  •  Procedimiento de estudio computarizado, mediante el cual las imágenes tomográficas son superpuestas con ayuda de un software especial y permite una proyección tridimensional de los elementos óseos, dando una imagen aspecto 3D, de volumen y distribución con alto contenido docente y demostrativo. el aporte de esta tecnica en esta patologia es unicamente con fines conceptuales demostrativos docentes. 
  • El Pectus excavatum

  • Deformidad de la pared torácica anterior ampliamente descrita en Pectus Excavatum , diagnostico, radiología, procedimiento quirúrgico reparador, etc.



  • Para ampliar sus conocimientos sobre el presente tema, me atrevo a sugerirles aquí, leer un libro de texto llamado "Congenital Deformities of the chest wall and their operative correction" cuyo autor es el Dr. Mark M. Ravitch.

    Paciente | Fotografía Tórax | Tomografía | Reconstrucción ósea Tórax | Intervención | Comentarios

    Con el acostumbrado agradecimiento a todo el personal del Hospital "Dr. Domingo Luciani", por su generosa y desinteresada dedicación, colaboración, atención y ... en especial a:
    -
    Terapia Intensiva Pediatrica
    Servicio de Anestesiología
    Servicio Pediatría
    Dra. Monica Negretti
    Jefe del Servicio
    Dra. Blanca Nieves Rodriguez
    Dra. Rosiris Hernández
    Dr. Pedro Marín
    Dra. Ileana Rojas
    Dra. Gloria Rodríguez
    Dr. José Manuel Escobar
    Dra. Maria Eugenia Socorro
    Dr. Sergio Hernández
    Dra. Olga Correa
    Dra. Maria Eugenia Seijas
    Dr. Vladimir Jimenez O.
    Dr. Pedro Guerrero
    Jefe del Servicio
    Médicos Adjuntos Pediatras
    Médicos Residentes
    Dra. Jelitza César
    Dra. Maria Celicia Pinto
    Rubén Henríquez Homepage
    | Página Principal | Imágenes familiares | Actividades Médicas | Pósters | Casos Interesantes |
    | Imágenes Médicas | Trabajos de Investigación | Conexiones | Informaciones |

    1