Casos Interesantes...

Artrodesis anterolateral T12-L2

por toracotomía derecha


Hospital
Dr. "Domingo Luciani "

Se presenta un caso de artrodesis dorsolumbar anterolateral T12 - L1 - L2, por el Servicio de Neurocirugía, con abordaje anterolateral derecho por toracotomía, en un paciente con fractura - aplastamiento, traumática del cuerpo vertebral lumbar 1, Los estudios radiológicos y resonancia magnética, hallazgos a la intervención quirúrgica, técnica reconstructiva y comentarios sobre el tema. Abril, 10 del 2001.

Dr. Julio Rey(1) - Dr. Franz Duran(2) - Dra. Sandra Avendaño(3) - Dr. Rubén Henríquez A.

Paciente | Radiología | Resonancia Magnética | Intervención | Comentarios
 

El Paciente

  • Paciente masculino, venezolano, 54 años de edad, natural de Mérida y procedente de la ciudad de el Tigre,  antecedentes de caida de altura, (mata de mangos), se recupera de la perdida temporal de conciencia con paraplejia de miembros inferiores y falta de control de esfínteres, por lo que es referido a este centro hospitalario para su atención, diagnóstico y tratamiento.
  • Antecedentes de enfermedad pulmonar obstructiva crónica diagnosticada por su prueba de funcionalismo pulmonar.
  • Ingresa al Servicio de Neurocirugía, donde concluyen se trata de fractura aplastamiento del cuerpo vertebral L1, recibe tratamiento medico y de rehabilitación y se decide su fijación por una artrodesis dorsolumbar T12 - L1 - L2 por abordaje anterolateral transtoracico.


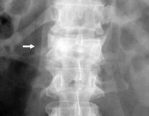
  • Radiología columna dorso - lumbar

    Rx. Columna dorso lumbar frente y lateral. muestra disminución del espacio vertebral L1, caracterizado por disminución de su altura, con fragmentación del cuerpo vertebral y escaso desplazamiento posterior.

    Resonancia Magnética

    Corte sagital
    Flecha: Observe la fractura del cuerpo vertebral L1, con escaso compromiso del canal medular.

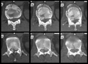
    Corte Transversal
    Dirfentes cortes trasversales de L1 demostrando la fragmentacion del cuerpo vertebral, con escaso compromiso del canal medular

    Toracotomía derecha y artrodesis T12 - L1 - L2

    Fotografía A:
    Ubicación e identificación de la lesión vertebral por fluoroscopia per operatoria. paciente en decúbito supino. (imagen de control)
    Fotografía B
    Toracotomía derecha 10mo. espacio Intercostal, requiere desinserción posterior del diafragma (D), sección del ligamento triangular del pulmón y esposicíon de cuerpos vertebrales T12 a L2

    Fotografía C
    Identificación espacio vertebral mediante aguja gruesa con comprobación fluoroscópica. ligadura y sección de arterias vertebrales superior e inferior, exposicion cuerpos vertebrales.
    Fotografía D
    Se realizó disectomía superior e inferior (T12-L1) y (L1- L2), corpectomia parcial de L1, con inclusión y fijación de cesta de titaneo, rellena de fragmentos oseos de la corpectomía.
    Fijación de la placa superior mediantes tornillos cortico-corticales en cuerpo vertebral T12.

    Fotografía E
    Procedimiento de fijación de la placa distal con tornillos cortico corticales en cuerpo vertebral L2.
    Fotografía F
    Placas proximal y distal fijadas y alineadas, en sus planos longitudinal y lateral

    Fotografía G
    Colocación de las barras de titaneo adecuadas en longitud y prefijadas, en su asiento de placa proximal
    Fotografía H
    Fijación de las barras en la placa distal.
    Aspecto final de la artrodesis T12 a L2.
    [Sistema 2A G.M Rais©]

    Fotografía I
    Visualización del material de artrodesis bajo pantalla amplificadora de imagen, conforme y cumplido el objetivo, se procede al cierre de la toracotomía.
    Fotografía J
    Una vez reinsertado el diafragma, el cierre de la toracotomia es de la manera usual, dejando un tubo de drenaje a sello de agua para expansíon y drenaje pleural.

    Radiologías del Pos - operatorio

    Radiología Pos - operatorio mediato:
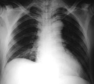
    Torax PA:
    A las 48 horas pos-operatorio, cumplió las condiciones para retirar el tubo torácico de expansión pulmonar y drenaje plaural.
    Egresa al 5to. día pos operatorio, deambulando con control por neurocirugía, cirugía del tórax y medicina física y rehabilitación.

    Aspecto radiológico final de la artrodesis de columna T12 - L1 - L2

     Comentarios:

  • Muchos son los procedimientos quirúrgicos que requieren la actuación de diferentes especialidades para lograr en combinación el éxito de nuestras actividades.
  • En el presente caso, como en otros, se requirió de la actuación de un cirujano torácico, para lograr la exposición adecuada, para la aplicación de un procedimiento de por si complejo y laborioso, como el aquí expuesto, determinado por la ubicación de la zona afectada, asi también existe la posibilidad de que procedimientos propios del cirujano del tórax requieran de la actuación del neurocirujano como en los casos de tumores de origen neurogénico del mediastino posterior y el tumor de pancoast.
  • La exposición del procedimiento completo, queda de por si, plenamente justificado.


  • (1) Especialista Neurocirujano, (2) Residente 5° año del Pos Grado Neurocirugia, (3) Residente del 4° año del Pos Grado Neurocirugia. Servicio Neurocirugía. Hospital Dr. Domingo Luciani.

    Paciente | Radiología | Resonancia Magnética | Intervención | Comentarios

    Rubén Henríquez Homepage
    | Página Principal | Imágenes familiares | Actividades Médicas | Pósters | Casos Interesantes |
    | Imágenes Médicas | Trabajos de Investigación | Conexiones | Informaciones |

    1