Casos Interesantes..

Miastenia Gravis y Timoma

Hospital
Dr. "Domingo Luciani "

  • Se presenta un caso de Miastenia Gravis con timoma en paciente femenino de 40 años, estudios de Diagnostico, radiología, tomografía, electromiografía, expirometria, hallazgos quirúrgicos, comentarios sobre la enfermedad, la timectomía, anestesia en Miastenia Gravis y cuidados post-operatorios.

  • Diciembre 18, 2000.

 | Dr. Rubén Henríquez A. | Dr. Luis Martínez | Dr. Luis Trevison | Dr. Carlos Vivas | Dra. Garciela Medina |

| Paciente | Radiología | Tomografía | Intervención | Timo resecado | Comentarios |

El Paciente

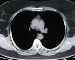
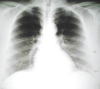
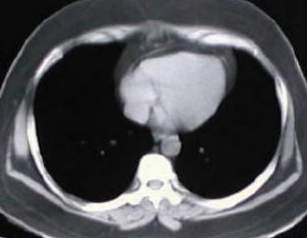
  • Paciente femenino 41 años, en mayo de 1999 presenta sintomas de diplopia, visión borrosa, disminución de la fuerza muscular en los miembros inferiores y superiores comuntemente vespertinos, infrecuentes, que ultimamente se han exacerbado en frecuencia e intensidad, también presentó episodios de dificultad ventilatoria en numerosas oportunidades interpretado como "asma bronquial", en febrero del 2000 presenta síntomas digestivos de acidez y ardor epigastrico, evaluado por gastroenterologos concluyen como gastritis y encuentran un tumor de mediastino anterosuperior (como hallazgo en la radiologia del tórax), por tal hallazgo es referida a este centro para evaluación, estudio y tratamiento.
  • Estudios de tomografía del tórax, electromiografía, expirometría y prueba terapeutica con edrofonio, son realizados, concluyendo el diagnóstico de miastenia gravis con Timoma, (16 meses despues de iniciados los síntomas).
  • Luego de 8 semanas de tratamiento médico con mestinón®, se decide su intervención quirúrgica para la resección del timoma y como parte de su tratamiento por el diagnostico de Miastenia Gravis.

Radiografía del tórax


Tomografía torácica


Intervención

Incision submamaria
Incisión submamaria transversa torácica y esternotomía media longitudinal

Disección del colgajo cutáneo con el tejido subcutáneo y glandular mamario, supra aponeurotico pectoral, apertura de la aponeurosis cervical media y liberación del xifoides, entonces se procede a la disección retroesternal digital y escisión longitudinal cefalocaudal del hueso esternal.
Se rechazan ambas pleuras mediastínicas y se coloca separador esternal de finochietto.
diseccion colgajo cutaneo

Diseccion del timo
Una vez colocado el separador se procede a la disección cortante del timo desde su lóbulo inferior derecho
Se abrio la cavidad pleural derecha por encontrar un lóbulo derecho timico sumamente mediastinal.
Tambien una prolongación de tejido tímico se encontraba cerca de la ventana aortopulmonar obligo a realizar apertura de la cavidad pleural izquierda.

disecada la prolongación cervical de la gládula timica, de sus lóbulos mediastinicos y de sus prolongaciones observamos que dos venas tímicas gruesas drenaban en el tronco venoso imnominado, se ligan y se seccionan por separado.
Ligadura y seccion venas timicas

Reseccion grasa mediastinica
Abundante grasa mediastinica y para cardiacas es resecada con parte de las pleuras mediastinicas, entre ellas un foco de tejido timico aberrante en pleura mediastinica izquierda.

La sintesis de la esternotomía con alambre No. 5, la fijacion del plano glandular y subcutáneo dejando drenes mediastino pleurales bilateral a sello de agua y otro aspirativo en el plano prepectoral.
La sintesis de piel con sutura intradermica proporciona buenos resultados esteticos.
Sintesis de los planos y drenajes pleurales

El timo resecado
Un timo con lobulos, de 17 cms de longitud, de unos 3 y 5 cms de ancho y, de 2 y 3 cms en su espesor respectivamente, mas una prolongación hacia la ventana aortapulmonar desde el itsmo del lóbulo izquierdo fueron resecados en bloque.
Una resección de tejido adiposo abundante peritimico tambien fue realizada, con el objeto de no dejar tejido timico aberrante funcional.
todo el material resecado es enviado para análisis anatomopatológico.
El Timo resecado

Comentarios

      Sobre la Miastenia Gravis
  • Enfermedad autoinmune de etiología desconocida caracterizada por una alteración en la placa motriz neuromuscular, a este nivel los receptores colinergicos se encuentran alterados por anticuerpos que compiten, bloquean o inactivan la acetilcolina entorpeciendo la transmisión neuromuscular.
  • Los anticuerpos responsables de esta enfermedad son producidos por los linfocitos T, producidos a nivel del tejido timico.
  • Esta glándula normalmente presente durante la infancia, involuciona y solo restos fibróticos son el vestigio de su existencia en los seres adultos, y se ha demostrado su presencia y responsabilidad en los pacientes con Miastenia Gravis.
  • Dos tipos de miastenia gravis son descrita: 
    • La Miastenia Ocular
    • La Miastenia generalizada.
  • Sintomas de diplopia, vision borrosa, ptosis palpebral, disminución de la fuerza muscular a predomonio de la cintura pelvica y escapular son comunes en los pacientes, las complicaciones pulmonares son frecuentes, caracterizadas por atelectasia, infección respiratoria y neumonias consecuencia de la hipoventilación pulmonar y cuando existen requieren de hospitalización, asistencia ventilatoria y cuidados especiales a fin de tratar las complicaciones y ajustar el dosis del tratamiento para controlar la enfermedad.
  • La timectomía trans-esternal es el abordaje por excelencia para resecar la glandula y focos de tejido tímico hiperplasicos aberrantes o peritimicos que puedan estar presentes en la grasa mediastinal y sus vecindades,
  • El momento ideal para efectuar la timectomía es cuando el paciente se encuentre estable, sin complicaciones y los mejores resultados de la timectomía en el tratamiento de la enfermedad se observa cuando es realizada precozmente al inicio de los sintomas entre los primeros tres años.
  • Alteraciones irreversibles a nivel de la placa motriz es observada con el tiempo de sufrir la enfermedad y generalmente son los responsables de la persistencia de los sintomas en pacientes tratados exitosamente con la timectomía transesternal "radical" en pacientes con mas de tres años de sufrir la enfermedad y puede ser demostrado mediante estudio anatopatologico de tejido muscular estriado.

      Sobre la técnica Operatoria
  • Anteriormente se utilizaba la cervicitomia para resecar la glandula tímica pero la remision de la enfermedad ocurria en un bajo porcetaje de los pacientes, entonces se atribuyó a una resección incompleta de la glandula.
  • La cervicotomía con sección del manubrio esternal tambien fue utilizada para extraer la glandula timica con iguales reultados a la tecnica anterior.
  • Estudios anatomopatológicos demostraron la presencia de focos de tejido timico hiperplasico aberrantes que no podían ser bien evaluados y resecados mediante los abordajes cervicales y eran los responsables de la persistencia o recidiva de esta enfermedad en pacientes timectomizados por miastenia gravis.
  • Se optó por la esternotomia media longitudinal esternal, como la mejor via a utilizar para resecar la glándula y toda la grasa peritímica sospechosa de presentar focos aberrantes segun los resultados anatomopatologicos anteriores y mediante esta tecnica se logra mayor porcentaje de remision de la enfermedad.
  • La incisión habitual de esternotomia deja una cicatriz expuesta y con tendencia a formar queloides, entonces algunos cirujanos realizan un abordaje externo submamario transverso con resultados mas esteticos sobre todo en pacientes femeninos.
  • Logicamente la incision longitudinal expone mas convenientemente la zona timica y los probables nucleos timicos aberrantes responsables desde el cuello hasta la base del diafragma y permite explorar las pleuras mediastinales mas convenientemente, dejando en segundo plano el resultado estetico, opcionalmente en pacientes femeninos, con un torax corto puede utilizarse este abordaje con una incisión amplia, que en manos experimentadas logra los mismos objetivos con un resultado estetico mucho mas aceptable.
  • El dren aspirativo prepectoral evita colecciones serohemáticas por la disección extensa prepectoral y el drenaje mediastinico puede ser unico o doble como en este caso, si las pleuras son abiertas, su extremo puede ser insinuado dentro de las cavidad pleural, para asegurar la expansión pulmonar y drenar el contenido sero-hematico pleural.

Con el agradecimiento a todo el personal del Hospital "Dr. Domingo Luciani", por su generosa y desinteresada dedicación, colaboración, atención y ... en especial a:

Servicio de Anestesiología
Servicio de Terapia Intensiva
Dra. Maria Teresa Maduro
Dr. Luis Martinez
Dr. Luis Trevison
Dr. Alexis Díaz
Jefe del Servicio
Adjuntos
German Torres
Edgar Salas
Waldo Días
Moises Narvaez
Cesar Matamoros
Residentes
Sanvicent Lathulerie
Graciela Medina
Edgar Farias
Hector Melendez

Rubén Henríquez Homepage

| Página Principal | Imágenes familiares | Actividades Médicas | Pósters | Casos Interesantes |
| Imágenes Médicas | Trabajos de Investigación | Conexiones | Informaciones |

1