Casos Interesantes...

Herida Cardíaca punzo penetrante


Hospital
Dr. "Domingo Luciani "

Se presenta un caso de herida cardíaca pos traumática ( arma blanca punzo penetrante ) con 14 días de evolución. Los estudios radiológicos del tórax y los hallazgos de la intervención quirúrgica son relacionados, la técnica reparadora empleada es observada.

Paciente | Radiología Tórax previa | Rx Tórax actual | Abordaje mediastínico
 Drenaje pericárdico | Lesiones encontradas | Técnica reparadora
 
Dr. Luis Vivas | Dr. Rubén Henríquez A. | Dra. Ninoska Estanga | Dr. Carlos Vivas | Dr. Fernando Rodríguez M.

El Paciente

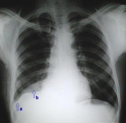
  • Paciente masculino de 28 años de edad, venezolano, quien sufrió, hace doce días, herida punzo penetrante en 6to. espacio intercostal derecho, línea para esternal, le fueron practicados estudios radiológicos del tórax que demostró una imagen de derrame pleural derecho, un tubo para drenaje torácico fue colocado drenando unos 300 cc. de liquido hemorrágico, el cual fue retirado a los dos días y el paciente egresó del hospital en aparentes buenas condiciones.

  • La radiografía del tórax PA:
    A su primer ingreso muestra.
    - (a) - Un aumento de densidad que borra tenuemente la linea diafragmática derecha en el seno costofrénico externo , y superiormente (b), se encuentra bien delimitada.
    característico de: 
    derrame pleural sub pulmonar.
    En este caso en particular debido a su antecedente:
    Hemotórax sub pulmonar
    Rx. Tórax PA. en el momento agudo del trauma ,14 dias antes

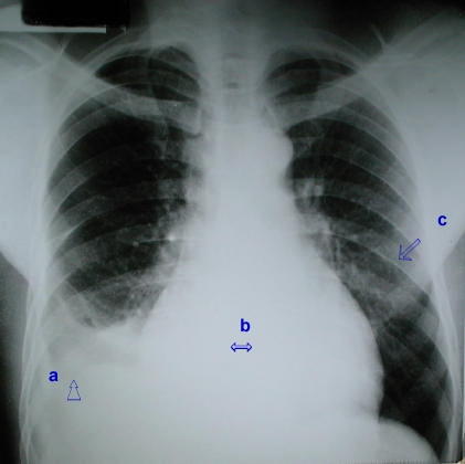
  • Posteriormente comienzan los síntomas de dificultad respiratoria progresiva y mareos, motivo por el cual consulta de nuevo a los 12 días de su egreso, presentando signos de derrame pericárdico e ingurgitacion yugular, un estudio radiológico del tórax y otros exámenes paraclínicos son efectuados, el diagnóstico de taponamiento cardíaco por herida de arma blanca en tórax es establecido.

  • Rx Tórax PA, Diagnóstico de taponamiento cardíaco
    Rx Tórax PA. 12 días mas tarde.
    - (a) - Derrame pleural derecho.
    Radiopacidad basal derecha homogénea de concavidad superior, que borra el hemidiafragma, el seno costofrénico derecho, anterior y el cardiofrénico.
    - (b) - Derrame pericárdico.
    Aumento del diametro trasverso de la silueta cardíaca con aspecto de bota.
    - (c) - Hipertensión arterial pulmonar.
    Radiopacidad parahilear bilateral, de aspecto trabecular de origen vascular 

    Intervención:

    Una esternotomía media es realizada encontrando los siguientes hallazgos:
    • Figura (1) :
    Abordaje por esternotomía, pericardio vinoso distendido
    Un pericardio distendido, tenso, que deja ver un contenido azulado oscuro (flechas).

    La pleura derecha es abierta durante la disección pericárdica en sentido lateral, puede observarse el pulmón derecho expuesto.


    •  Figura (2) :
    El pericardio tomado entre pinzas y suspendido es escindido longitudinalmente emergiendo contenido hemático incoagulable y oscuro, 600 cc fueron drenados.
    Pericardio escindido longitudinalmente drena el hemopericardio

    • Figura (3) :
    El pericardio una vez escindido longitudinalmente deja ver desde su cara interior la pequeña herida pericárdica (flecha amarilla) demostrando la penetración del arma punzo penetrante a la cavidad pericárdica.

    • Figura (4) :
    Fotográfica demostrando: (flechas blancas) La superior: el pequeño agujero en la cara externa pericárdica y de situación pleural derecha, aún permeable y responsable del hemotórax derecho.
    La flecha blanca inferior: muestra el coágulo negruzco en la pared miocárdica ventricular derecha, motivo del  hemopericardio de lenta evolución por ser un sistema de baja presión y contenido por la bolsa pericárdica.
    En Circulo blanco inferior derecho:
    Un detalle en aumento de las lesiones encontradas.

     Procedimiento reparador

         La síntesis miocárdica con un punto en X de sutura, sellando el agujero miocárdico, el pericardio se deja abierto ampliamente, las pleuras abiertas ampliamente, colocando tubos torácicos pleurales o mediastinico pleurales, una buena hemostasia de los tejidos y del pericárdio con la síntesis esternal con sutura de acero 4 o 5, bien firmes es el tratamiento definitivo para la solución del trauma es estos casos.
    La sutura en la pared ventricular derecha

    Paciente | Radiología Tórax previa | Rx Tórax actual | Abordaje mediastínico
    Drenaje pericárdico | Lesiones encontradas | Técnica reparadora

    Rubén Henríquez Homepage
    | Página Principal | Imágenes familiares | Actividades Médicas | Pósters | Casos Interesantes |
    | Imágenes Médicas | Trabajos de Investigación | Conexiones | Informaciones |

    1