Casos Interesantes...

Empiema y Decorticación Pleural


Hospital
Dr. "Domingo Luciani "

Se presenta un caso de decorticación pleural derecha por fibrotórax pos - empiema, complicación de neumotórax accidental de cateterización de vena subclavia derecha para cánula de hemodiálisis, con toracentesis repetida y mal manejo del drenaje pleural, en un paciente masculino, nefrópata, de 28 años de edad. Los estudios radiológicos, hallazgos a la intervención quirúrgica, técnica reconstructiva, comentarios sobre el tema . Abril, 08 de 2001.

| Dr. Rubén Henríquez A. | Dr. Carlos Vivas |

Paciente | Radiología Tórax | Intervención | Rx pos operatoria | Discusión
 

El Paciente

  • Paciente masculino, venezolano, 28 años de edad, procedente de Guatire, Edo. Miranda,  antecedentes de Insuficiencia renal por nefropatia crónica, durante un procedimiento de canulación de vena subclavia derecha para colocación de catéter de hemodiálisis, se produjo un neumotórax derecho accidental con derrame pleural hemorrágico.
  • Realizaron toracentesis repetida y colocación de drenaje pleural con tubo de tórax, que retiraron posteriormente por no drenar contenido y no lograr mejoría de su cuadro clínico.
  • Mas luego presenta cuadro de dificultad respiratoria, fiebre alta precedida de escalofríos y dolor torácico.
  • Quince días después, es referido a este hospital para diagnóstico y tratamiento.
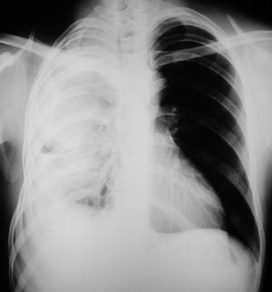
  • Radiología del Tórax

    Rx. Tórax PA. al momento de su Ingreso. radiopacidad difusa del hemitórax derecho, engrosamiento pleural severo con colapso parcial pulmonar, retracción mediastinal hacia la derecha, disminución de los espacios intercostales, borramiento de los senos costo-frénicos derechos.
    Aumento compensatorio del volumen pulmonar y del hemitórax izquierdo.


     

    Toracotomía derecha

    Fotografía A:
    Disección de pleura parietal, Intensa fibrosis pleural, la apertura por toracotomía postero lateral derecha en 5To. espacio Intercostal es laboriosa.
    Fotografía B:
    Resección parcial de la fibrosis pleural, se aprecia contenido fibroso hemato purulento con abundantes coágulos negros.

    Fotografía C:
    La cavidad pleural. Lograda, la resección de la fibrosis pleural parietal y visceral, numerosas zonas de parénquima pulmonar lucen despleurizadas, neumorrafias y pequeñas resecciones de parénquima pulmonar no viable pueden ocurrir.
    Fotografía D:
    Colocación de dos tubos torácicos anterior y posterior, conectados a sistema de succión, y durante varios días, son necesarios para la correcta expansión pulmonar y asegurar el drenaje hemático pos - operatorio.


     

    Radiología Pos - operatoria

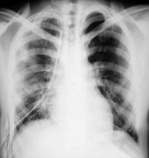
    Radiología Pos - operatorio mediato: 
    Pulmón dercho expandido, ventilado.
    Persiste uno de los tubos torácicos a sello de agua, al 8° día por drenaje serohemático en el sistema.
    La radiopacidad del hemitórax, requiere de varios meses para desaparecer.


     Comentarios:

  • Aunque la Toracotomía para decorticación pleural es un procedimiento quirúrgico común, y frecuente en la cirugía del tórax, este caso como cualquier otro, no deja de ser importante, aún mas, cuando se trata de las comunes y repetidas complicaciones de los procedimientos que a diario realizamos y todas ellas en un mismo paciente, tan complejo como lo es un paciente anemizado, con una insuficiencia renal por una nefropatia crónica.
  • La fibrosis impide la expansión del pulmón al ocupar su espacio en la cavidad pleural, además de crear tabiques y compartimientos de material inflamatorio o necrótico ínter y para lobares, posteriormente, de continuar allí, viene un proceso de retracción del fibrotórax, con la consecuente disminución de la cavidad pleural afectada, con disminución del espacio intercostal, fijación inmovilidad y atrofia del músculo diafragma y atrofia de los músculos intercostales, pectorales y accesorios respiratorios, retracción mediastinal con la consecuente repercusión el la calidad de vida por la disminución de la función pulmonar. Infecciones respiratorias frecuentes, acumulo de secreciones por deformidad de la arquitectura bronquial, atelectasias y bronquiectasias hasta la calcificación de los procesos fibróticos ya observados en numerosos pacientes.
  • Lógicamente, la sabia naturaleza también actúa, las demandas de incremento de la actividad pulmonar seran suplidas difícilmente con aumento de la serie roja, del hematocrito y de la viscosidad sanguínea, aumento de la frecuencia respiratoria, aumento compensatorio del volumen de la cavidad pleural contra lateral, aumento del volumen pulmonar contra lateral, con el consecuente resultado de la deformidad del tórax, aparición de bulas enfisematosas, infecciones respiratorias frecuentes, insuficiencia cardiaca, e insuficiencia respiratoria de esfuerzo hasta existir en los estados de reposo en los casos mas avanzados.
  • La decorticación pulmonar consiste en la resección quirúrgica de toda esa capa fibrótica que se produce en los procesos inflamatorios sobre toda la superficie pleural, tanto parietal como visceral, el objetivo de la misma es favorecer la expansión pulmonar, retornar la movilidad del diafragma y la flexibilidad de la caja torácica, para recuperar la capacidad y la función pulmonar.
  • Por todos estos motivos, la toracotomía y decorticación pleural, sigue y seguirá siendo, un procedimiento común y frecuente en la cirugía del tórax.

  • Paciente | Radiología Tórax | Intervención | Rx pos operatoria | Discusión

    Rubén Henríquez Homepage
    | Página Principal | Imágenes familiares | Actividades Médicas | Pósters | Casos Interesantes |
    | Imágenes Médicas | Trabajos de Investigación | Conexiones | Informaciones |

    1