PRÓTESIS FIJA Y REMOVIBLE
El equipo del departamento denominado
Precisión se ocupa de elaborar las prótesis fijas que los
odontoestomatólogos prescriben.
Podríamos distinguir este tipo de prótesis en dos grandes grupos:
Este tipo de prótesis se caracteriza por que normalmente tan solo es
extraíble por el dentista y ha de elaborarse con un altísimo grado
de precisión para que encaje cada pieza como si hubiera sido diseñada
y fabricada por la naturaleza.
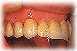
Antes y después del tratamiento.


![]()
Las piezas van adheridas al resto
de la dentadura mediante un cemento odontológico.
Tan solo pueden ir cementadas las piezas en su boca tras un
estudio exhaustivo de su dentista y un trabajo altamente
preciso como el que se desarrolla en el departamento "PRECISIÓN"
en el laboratorio dental Avila Mañas.
Hay todo un abanico de posibilidades a la hora de elegir
materiales para la elaboración de su prótesis de precisión.
El material para la elaboración de la prótesis depende de
muchos factores. Es su dentista quien conoce las condiciones
de su boca e incluso de su personalidad, el sin duda ha de
elegir, con su conocimiento de los materiales, cual es el más
indicado para Ud.
Antes y después del tratamiento.

En este caso el paciente
puede retirar la prótesis, no va cementada en boca, sino sujeta por
mecanismos adecuados en base al estudio que su dentista realize de las
condiciones de su cavidad bucal, hábitos del paciente, habilidad
manual, etc. Su dentista decide, nadie mejor que él.
La forma de retener este tipo de prótesis a la boca puede ser de
diferentes tipos:
Aprovechando los dientes restantes
|
|
|
Aprovechando una o más raíces
|
CON BOLAS DE RETENCIÓN |
CON BARRA DE UNIÓN |
Su Odontoestomatólogo es
el mejor conocedor de las condiciones de su boca, indicándole la prótesis
más fiable, funcional y duradera para su caso.
Hay todo un abanico de posibilidades a la hora de elegir materiales
para la elaboración de su prótesis de precisión, y el conoce las más
indicadas para Ud.
PRÓTESIS PARCIAL ESQUELÉTICA
TODO UN CLÁSICO


El departamento de Precision efectua el diseño de la estructura metálica y de los demás elementos constituyentes de la prótesis, seleccionandolos en función del papel específico que cada uno desempara en el equilibrio de la prótesis. La elección en cada caso específico esta directamente dictada por la morfología de las estructuras bucales estudiadas en la exploración clínica. No obstante, es preciso contar con una orientación de tratamiento para cada caso.
LA ALECION UNIVERSAL SEGURA Y
PATENTADA
La aleación de cromo-cobalto WIRONIUM plus
demuestra que aún lo bueno se puede mejorar.
Es el resultado de nuestras actividades de investigacón y desarrollo
en colaboración con Thyssen Stahl Ag. Esta aleación universal se ha
desarrollado sobre la base de WIRONIUM de probada
calidad, y es igualmente apta para trabajos combinados y prótesis con
ganchos.
CE OO 44 Producto
Médico- Clase II según directiva 93742/MCE
Los laboratorios afiliados al I.W.C. (International WIRONIUM
circle- Círculo Internacional de WIRONIUM) trabajan con WIRONIUM
plus.

PROPIEDADES MEJORADAS
Se han conseguido unas propiedades excelentes gracias a una técnica
de aleación especial en el proceso de colado continuo y a la adición
del tántalo. Se ha elevado el límite elástico y la resistencia a la
tracción prácticamente sin modificar la gran dilatación de rotura.
En las prótesis fabricadas con WIRONIUM plus la
activación de los ganchos no plantea problemas y tiene una gran
resistencia a la deformación. Las exigencias de las normas DIN
13912, ISO 6871 y de la norma europea EM 26871
para aleaciones de colado sobre modelos se superan con creces en todos
los aspectos.
WIRONIUM plus es biocompatible y no tiene potencial tóxico para las células. Lo ha confirmado un instituto independiente y si nos lo solicita gustosamente le enviaremos el certificado
.
Caracteristicas:

PRÓTESIS SOBRE IMPLANTES
El hombre, en su
avance tecnológico ha tendido a igualar a la naturaleza en su
perfección, con el Implante casi lo ha conseguido. Cuando en
la mandíbula o el maxilar ya no quedan raíces que aprovechar
para el anclaje de la prótesis o estas no están en
condiciones, entra la solución más sofisticada y perfecta:
el Implante.
El Implante actúa simulando la función de una raíz, se
oseointegra en su hueso y es un pilar perfecto para muy
distintos tipos de prótesis.
![]()

Realizar una prótesis sobre implantes no es tarea fácil, ya que supone un estudio muy profundo y complicado de su estructura óseo-bucal, de su oclusión y de su salud en general entre otros muchos factores. Tan solo su dentista puede determinar la oportunidad de este tipo de tratamientos que, entre otras cosas requieren una alta preparación del Cirujano, Odontoestomatólogo y del Técnico dental.

A continuación podrá ver algún tipo de prótesis sobre
implantes:
Antes y después del
tratamiento.


![]() |
![]() |
![]() |
![]() |
















REMOVIBLE
Nuestro departamento Nature está especializado en la prótesis removible, que es aquella que el paciente puede retirarse sin ayuda de su dentista.

Este tipo de prótesis
tiene unas indicaciones muy concretas que únicamente su Odontoestomatólogo
puede aclarar.
Este tipo de prótesis está destinada a cubrir dos tipos de falta de
piezas dentales:







En cuyo caso el Clínico habrá de optar dentro de dos posibilidades:





![]()




![]()
Recuerde: solo su Odontoestomatólogo tiene suficientes
conocimientos como para diagnosticar lo mejor para su boca.


Basado en los principios del monolaser (aplicación de luz en una
sola vía).

El control de la unión y su aplicación se realiza mediante un estereomicroscopio con lentes oculares ajustables por 15 aumentos (standard y cruz de centrado, ventana guía laser por observación en director al área de trabajo, iluminación del área de trabajo con intensidad ajustable.
La unión laser permite soldar estructuras metálicas sin soldadura, al ser una unión puntual entre dos metales en una atmósfera bajo gas Argón no permitiendo la ploriferación de oxidación, por lo que será biocompatible.
Permitira realizar trabajos de alta precisión como:
Unión entre Implantes con ajuste pasivo óptimo.
Conexión de ataches de precisión.
Agregar metal en márgenes que no ajustan.
Conexionar puntos de contacto.
Unión laser post-porcelana.

CARACTERÍSTICAS
DEL LASER
Siendo los datos que a
continuación se indican de elaboración, consideramos oportuno
describirlo para que pueda apreciar la alta tecnología utlizada en sus
prótesis.
Cristal Nd-YAG
Longitud de onda 1,06 um
Energía de pulsación 0,3 u 60- Y
Máx potencia 20 W
Máx. potencia de impulso 4 Kw

Longitud de impulso 0,5 a 20 ms.
(Disparo único).
Para lograr resultados adecuados reunimos estas indicaciones.
Cuanto más voltaje, mayor profundidad de unión.
Cuanto más tiempo de impulso mayor diámetro de unión.
Se requiere equilibrar los puntos de unión antes de la unión final.
GENERACION
DEL IMPULSO LASER
Y EFECTO EN LA PIEZA A TRABAJAR
El núcleo de la generación del impuso laser es un cristal cilíndrico
con los extremos pulidos (de material Nd-YAG = neodimio-granante de
itrio y alumínio). Cuando se aplica una luz intensa al cristal desde
una lámpara de flash por un reflector de onda y laser = 1.06 um. para
Nd-YAG. Adaptado fuera del cristal hay un semipermeable y un espejo
completamente reflectante desde el resonador laser.

Solamente aquellos componentes de la
luz Laser que chocan contra esos espejos y que son reflectados de
nuevo al cristal Laser pueden ser amplificados durante la pulsación
de la lámpara de flash cuando pasan a través del cristal. La luz
amplificada Laser posee las mismas propiedades que la luz Laser
original, o sea, tiene la misma dirección, la misma longitud de
onda, la misma fase y la misma polarización.
Las características de propagación
altamente direccionales de la luz Laser son determinadas por los espejos
y el cristal. parte de la luz Laser pasa a través del espejo
semipermeable y puede ser utilizada. Esta es concentrada en una muy alta
densidad de energía -a veces más alta de lo que es posible con una luz
normal- en el punto de focalización de una lente. La energía creada en
el punto de focalización es relativamente poco tiempo (0,5 a 20 ms)
calienta la pieza de trabajo superando el punto de fusión.
En un espacio ilimitado de aproximadamente 0,8 mm de diámetro la luz
Laser suelda dos metales y así permite seguridad, durabilidad y no
deforma el punto o juntura. La zona de la cabeza de influencia está
limitada por la inmediata cercanía de un punto o junta soldada.