Drs. Prolla and Diehl's INTERESTING CASE OF THE MONTH December 2003 case A
FNA right and left breast nodules, 65-year old female.

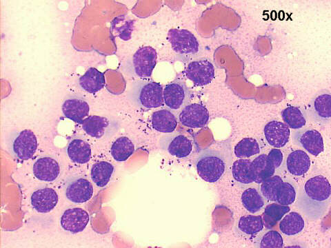
Left breast nodule
500x M-G-G staining

500x M-G-G staining

500x M-G-G

Right breast nodule
500x M-G-G staining

500x M-G-G staining

500x M-G-G





Case of the month answer

Click here for case A

Santa Casa de Misericordia de Porto Alegre -




Best seen on 1024x768x16M resolution -


Hosted by www.Geocities.ws

1