Drs. Prolla and Diehl's INTERESTING CASE OF THE MONTH November 2001 case B
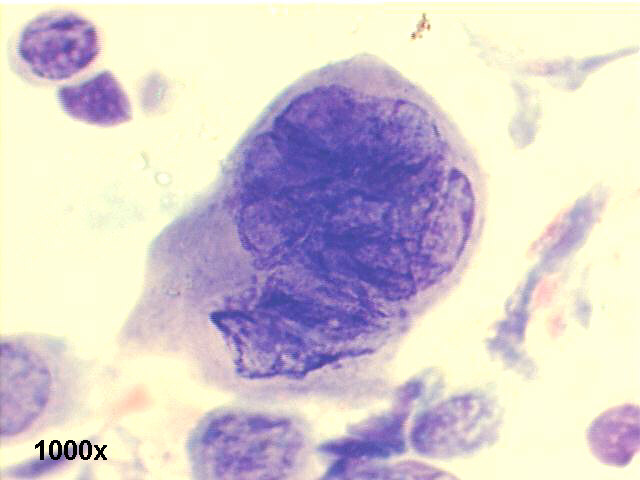
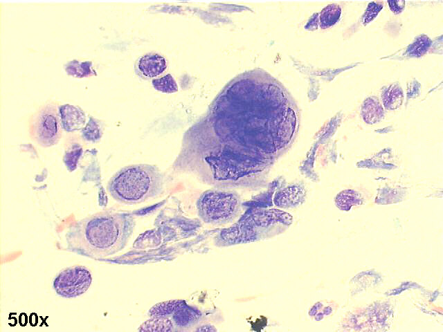
Scrapings of painful perineal ulcers, 31-year old male

500x Papanicolaou staining

500x Papanicolaou staining

500x M-G-G staining

1000x M-G-G staining, high power view of above image

1000x M-G-G staining



Scrapings of painful perineal ulcers, 31-year old male

See also Case A

Case of the month B answer Santa Casa de Misericordia de Porto Alegre - Listen to H.Bunji rendering of Mozart's Sonata in G K283




Best seen on 1024x768x16M resolution - After complete downloading of the pictures, and while you think listen to H.Bunji playing Mozart's Sonata in G K283, by clicking on the picture of the Santa Casa de Misericordia de Porto Alegre.


Hosted by www.Geocities.ws

1