Drs. Prolla and Diehl's INTERESTING CASE OF THE MONTH November 2008 case A
Endoscopic esophageal brushings, 78-year old female with past history of Barrett“s esophagus.

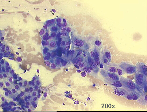
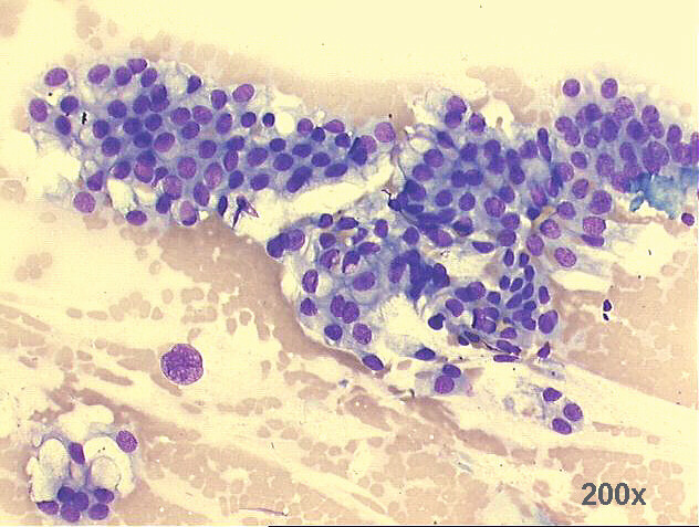
200x M-G-G staining

200x M-G-G staining

200x M-G-G staining

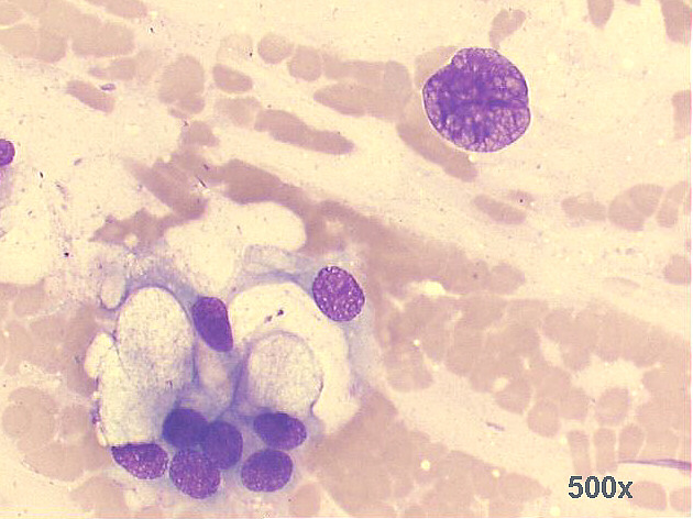
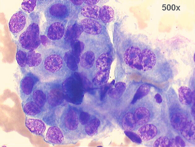
500x M-G-G staining, high power view of previous image

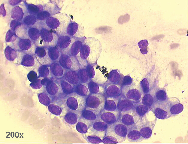
200x M-G-G staining

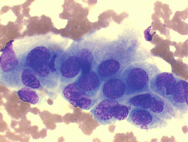
500x M-G-G staining, high power view of previous image

500x M-G-G staining

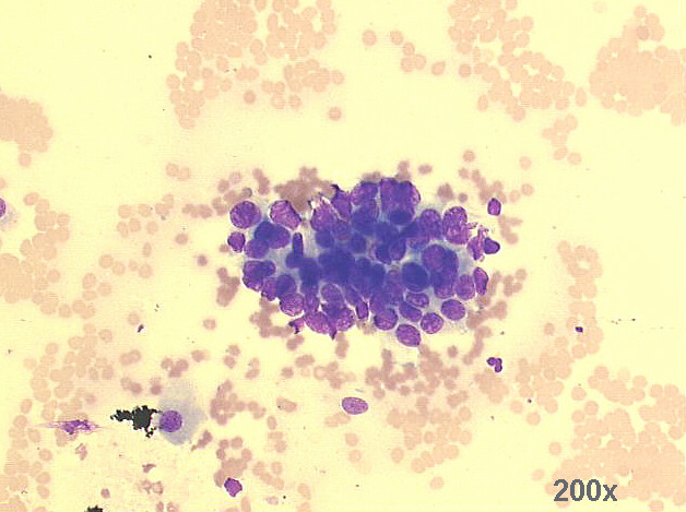
200x M-G-G staining

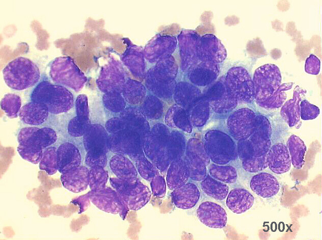
500x M-G-G staining, high power view of previous image

500x M-G-G staining, another high power view of same previous image





Case of the month answer

Santa Casa de Misericordia de Porto Alegre



Best seen on 1024x768x16M resolution -


Hosted by www.Geocities.ws

1