Drs. Prolla and Diehl's INTERESTING CASE OF THE MONTH November 2007
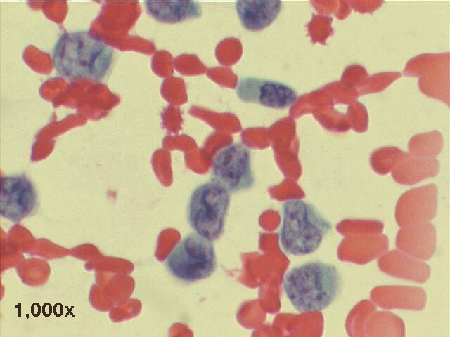
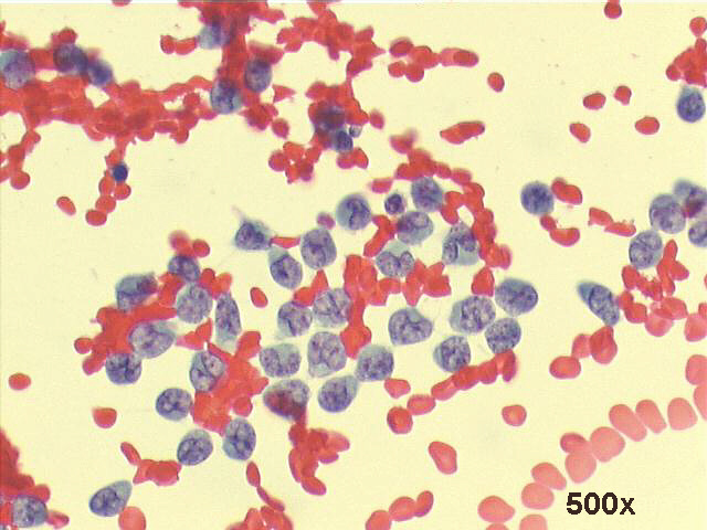
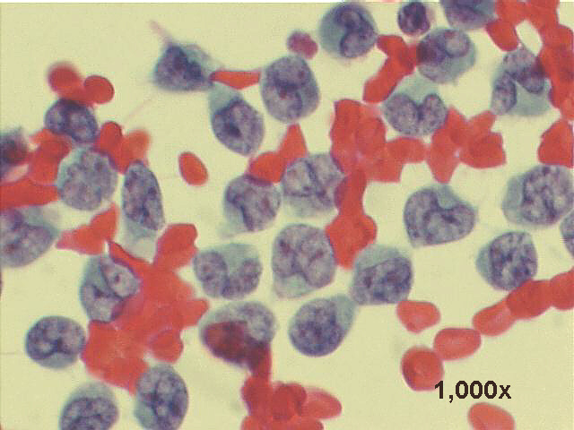
CNS fluid of 52-year old female with meningeal irritation signs

Papanicolaou staining, 500x

Papanicolaou staining, 1,000x

Papanicolaou staining, 500x

Papanicolaou staining, 1,000x





Case of the month answer




Best seen on 1024x768x16M resolution - A


Hosted by www.Geocities.ws

1