Drs. Prolla and Diehl's Case of the month ~ November 2006 case A

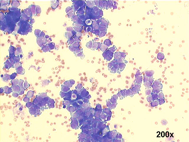
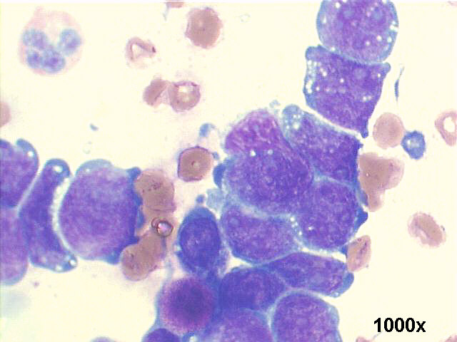
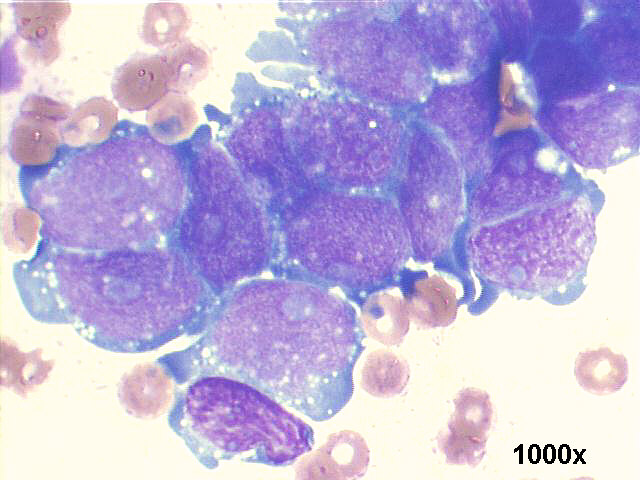
Pleural fluid, 66-year old male, with large mediastinal mass


200x M-G-G staining

500x M-G-G staining

1000x M-G-G staining

500x M-G-G staining

1000x M-G-G staining

1000x M-G-G staining

1000x Papanicolaou staining

1000x Papanicolaou staining

1000x and 500x Papanicolaou staining

500x and 1000x Papanicolaou staining





Case of the month answer

November case B


Santa Casa de Misericordia de Porto Alegre





Best seen on 1024x768x16M resolution -


Hosted by www.Geocities.ws

1