Drs. Prolla and Diehl's INTERESTING CASE OF THE MONTH October 2003 case B
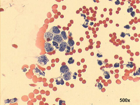
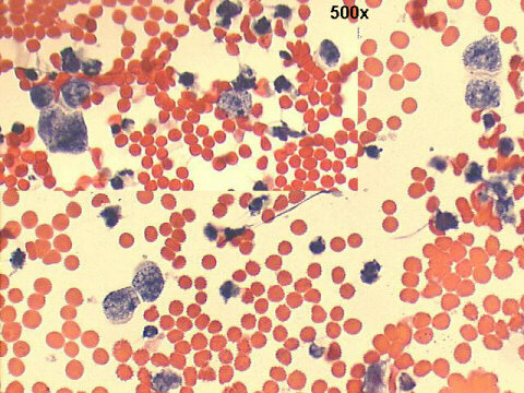
Aquous fluid aspiration, Cytospin preparation, 03-year old boy with leukocoria

 

200x M-G-G staining

500x M-G-G staining

500x M-G-G staining

500x M-G-G

500x Papanicolaou staining

500x Papanicolaou staining





Case of the month answer

Click here for case Aor case C

Santa Casa de Misericordia de Porto Alegre -




Best seen on 1024x768x16M resolution -


Hosted by www.Geocities.ws

1