|
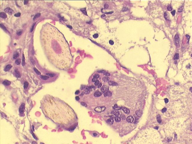
FNA 3.5cm in diameter left ovarian mass, 11-year old female: mature teratoma (ovarian dermoid cyst).
![]() The radiologist informed that a hair came out from the needle while preparing the smears... This and the benign squamous cells, both anucleated and nucleated, point to the confirmed diagnosis of mature teratoma, or ovarian dermoid cyst. The other ovary showed also a benign teratoma, but with some less mature areas. |

| Case October 2007 | References | List of cases | Atlas |