Drs. Prolla and Diehl's
Case of the month ~ October 2007
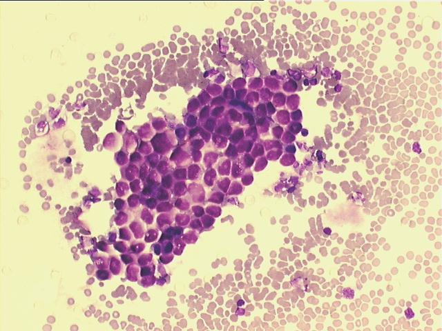
FNA of 3,5cm in diameter left ovarian mass, 14 cm mass in right ovary not aspirated, 11-year old female.





The radiologist informed that a hair came out from the needle while preparing the smears...
|