Drs. Prolla and Diehl's INTERESTING CASE OF THE MONTH October 2001
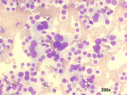
FNA of thyroid nodule 37-year old female

200x M-G-G staining

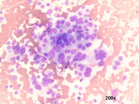
200x M-G-G staining

200x M-G-G staining



FNA of thyroid nodule 37-year old female

See also Case B

Case of the month A answer Santa Casa de Misericordia de Porto Alegre - Listen to H.Bunji rendering of Mozart's Sonata in G K283




Best seen on 1024x768x16M resolution - After complete downloading of the pictures, and while you think listen to H.Bunji playing Mozart's Sonata in G K283, by clicking on the picture of the Santa Casa de Misericordia de Porto Alegre.


Hosted by www.Geocities.ws

1