Drs. Prolla and Diehl's Case of the month ~ September 2009

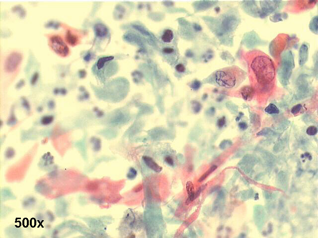
Voided urine, 82-year old female, with bilateral hydronephrosis

200x Papanicolaou staining

500x Papanicolaou staining

500x Papanicolaou staining

500x Papanicolaou staining

500x Papanicolaou staining



Case A September answer





Best seen on 1024x768x16M resolution -


Hosted by www.Geocities.ws

1