Drs. Prolla and Diehl's Case of the month ~ September 2007

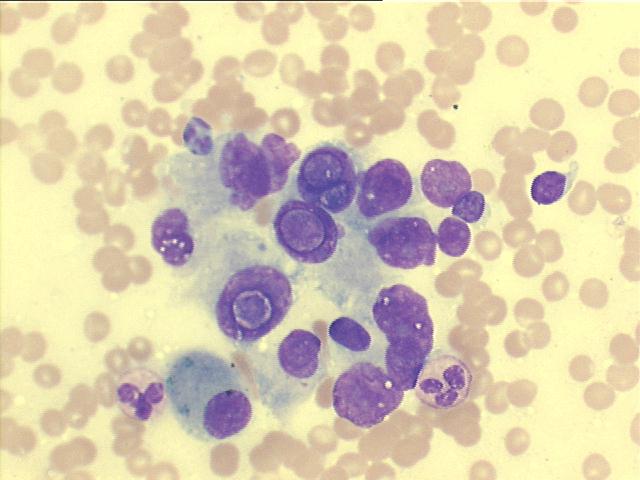
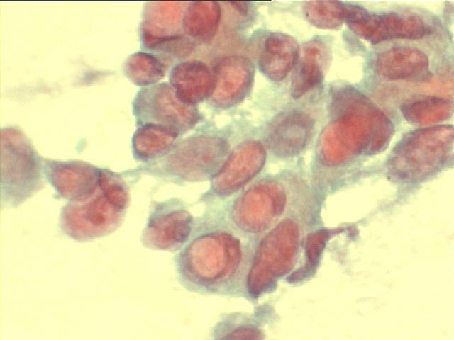
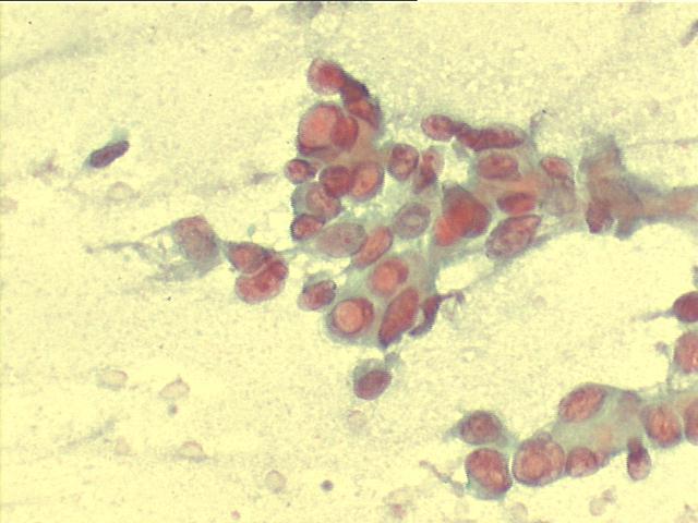
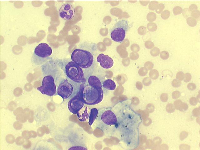
FNA thoracic nodule, 60-year old female, with walking difficulty (neuro-sensory polyneuropathy, probably paraneoplastic)


500x M-G-G staining

500x M-G-G staining

500x M-G-G staining

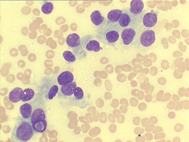
500x Pap staining

500x Pap staining

500x Pap staining

500x Pap staining

500x Pap staining

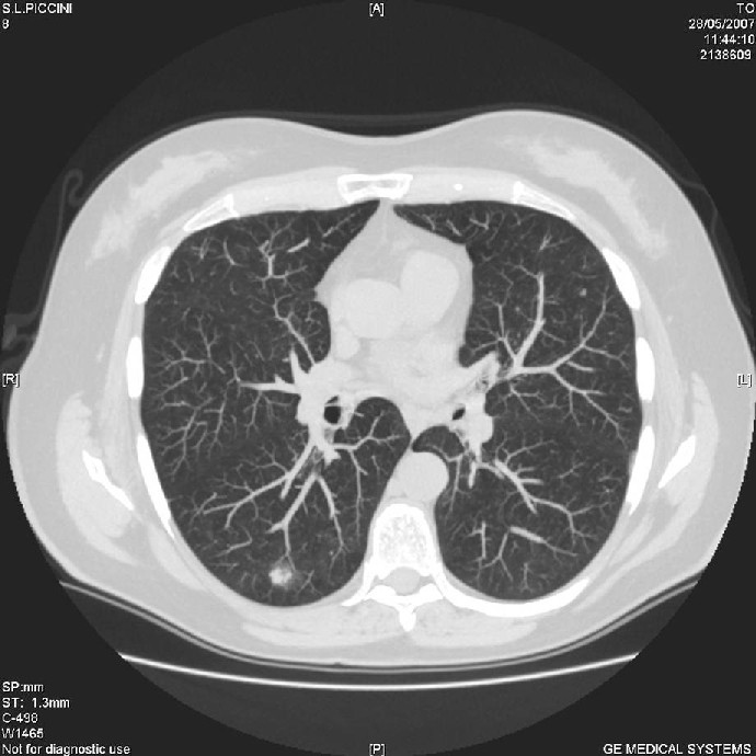
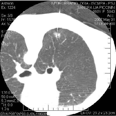
CT thorax partially solid nodule 8mm diameter

CT thorax

CT thorax, volume rendering 562 mm3

CT thorax, Fine needle insertion



Case of the month answer




Best seen on 1024x768x16M resolution -


Hosted by www.Geocities.ws

1