|




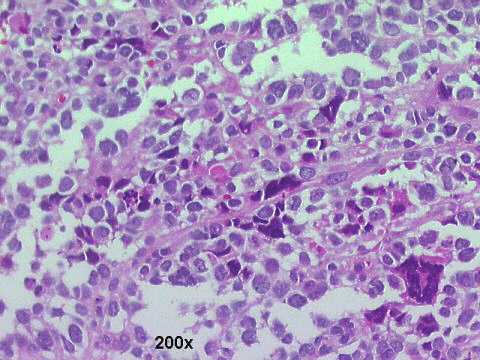
An embryonal rhabdomyosarcoma, with pleomorphic areas, was found, immunohistochemistry studies were positive for HHf35 actin, desmin, and vimentin, and were negative for epithelial markers and S100.
Rhabdomyosarcoma commonly occurs in the orbit and paranasal sinuses, and about 35 percent of all cases of this childhood tumor occur in these locations. Orbital rhabdomyosarcoma often has a favorable outcome, partly because patients almost always present with painless proptosis and occasionally present with ophthalmoplegia, which are early signs and thus allow the establishment of the correct diagnosis before distant metastases develop. Click here for immunohistochemical images
|